Skip to main content

Cdk3 Antibody - Azide and BSA Free

Novus Biologicals, part of Bio-Techne | Catalog # NBP2-98989

Novus Biologicals, part of Bio-Techne

Key Product Details

Species Reactivity

Human

Applications

Immunohistochemistry, Immunohistochemistry-Paraffin, Immunocytochemistry/ Immunofluorescence

Label

Unconjugated

Antibody Source

Polyclonal Rabbit IgG

Format

Azide and BSA Free

Concentration

Please see the vial label for concentration. If unlisted please contact technical services.

Product Specifications

Immunogen

Produced in rabbits immunized with a synthetic peptide corresponding to the C-terminus of the Human Cdk3.

Clonality

Polyclonal

Host

Rabbit

Isotype

IgG

Description

This antibody can be stored at 2C to 8C for one month without detectable loss of activity. Antibody products are stable for twelve months from date of receipt when stored at -20C to -80C. Avoid repeated freeze-thaw cycles.

Scientific Data Images for Cdk3 Antibody - Azide and BSA Free

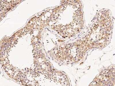
Immunohistochemistry-Paraffin: Cdk3 Antibody [NBP2-98989]

Immunohistochemistry-Paraffin: Cdk3 Antibody [NBP2-98989]

Immunohistochemistry-Paraffin: Cdk3 Antibody [NBP2-98989] - Immunochemical staining of human Cdk3 in human testis with rabbit polyclonal antibody (1:1000, formalin-fixed paraffin embedded sections).
Cdk3 Antibody - Azide and BSA Free

Immunocytochemistry/Immunofluorescence: Cdk3 Antibody [NBP2-98989] -

Immunocytochemistry/Immunofluorescence: Cdk3 Antibody [NBP2-98989] - Immunofluorescence staining of Cdk3 in U251MG cells. Cells were fixed with 4% PFA, permeabilzed with 0.3% Triton X-100 in PBS, blocked with 10% serum, and incubated with NBP2-98989 antibody (dilution ratio 1:1000) at 4C overnight. Then cells were stained with the Alexa Fluor$488-conjugated Goat Anti-rabbit IgG secondary antibody (green). Positive staining was localized to cytoplasm and nucleus.

Applications for Cdk3 Antibody - Azide and BSA Free

Application
Recommended Usage

Immunocytochemistry/ Immunofluorescence

1:300-1:10000

Immunohistochemistry-Paraffin

1:500-1:2000

Formulation, Preparation, and Storage

Purification

Antigen and protein A Affinity-purified

Formulation

0.2 um filtered solution in PBS

Format

Azide and BSA Free

Preservative

No Preservative

Concentration

Please see the vial label for concentration. If unlisted please contact technical services.

Shipping

The product is shipped with polar packs. Upon receipt, store it immediately at the temperature recommended below.

Stability & Storage

Store at 4C short term. Aliquot and store at -20C long term. Avoid freeze-thaw cycles.

Background: Cdk3

The Cdk3 gene encodes a member of the cyclin-dependent protein kinase family. The protein promotes entry into S phase, in part by activating members of the E2F family of transcription factors. The protein also associates with cyclin C and phosphorylates the r

Long Name

Cyclin-dependent kinase 3

Alternate Names

CDKN3

Gene Symbol

CDK3

Additional Cdk3 Products

Product Documents for Cdk3 Antibody - Azide and BSA Free

Certificate of Analysis

To download a Certificate of Analysis, please enter a lot number in the search box below.

Product Specific Notices for Cdk3 Antibody - Azide and BSA Free

This product is for research use only and is not approved for use in humans or in clinical diagnosis. Primary Antibodies are guaranteed for 1 year from date of receipt.

Loading...
Loading...
Loading...
Loading...