CDC5L Antibody (PCRP-CDC5L-2C6)
Novus Biologicals, part of Bio-Techne | Catalog # NBP3-23930
Conjugate
Catalog #
Forumulation
Catalog #
Key Product Details
Species Reactivity
Human
Applications
Flow Cytometry, Immunohistochemistry-Paraffin
Label
Unconjugated
Antibody Source
Monoclonal Mouse IgG2a Kappa Clone # PCRP-CDC5L-2C6
Concentration
0.2 mg/ml
Product Specifications
Immunogen
Recombinant fragment (around aa 1-148) of human CDC5L protein (exact sequence is proprietary)
Localization
Nucleus. Cytoplasm.
Clonality
Monoclonal
Host
Mouse
Isotype
IgG2a Kappa
Description
Store at 2 to 8C. Non-hazardous. No MSDS required.
Scientific Data Images for CDC5L Antibody (PCRP-CDC5L-2C6)
Flow Cytometry: CDC5L Antibody (PCRP-CDC5L-2C6) [NBP3-23930] -
Flow Cytometric Analysis of HeLa cells using CDC5L antibody (PCRP-CDC5L-2C6) followed by goat anti-mouse IgG-CF488 (blue); isotype control (red).Protein Array: CDC5L Antibody (PCRP-CDC5L-2C6) [NBP3-23930] -
Analysis of Protein Array containing more than 19,000 full-length human proteins using CDC5L antibody (PCRP-CDC5L-2C6).Immunohistochemistry-Paraffin: CDC5L Antibody (PCRP-CDC5L-2C6) [NBP3-23930] -
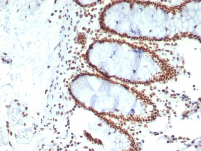
Formalin-fixed, paraffin-embedded human colon carcinoma stained with CDC5L antibody (PCRP-CDC5L-2C6). HIER: Tris/EDTA, pH9.0, 45min. Secondary: HRP-polymer, 30min. DAB, 5min.Applications for CDC5L Antibody (PCRP-CDC5L-2C6)
Application
Recommended Usage
Flow Cytometry
1-2ug/million cells
Immunohistochemistry-Paraffin
1-2ug/ml
Application Notes
Immunohistochemistry-Paraffin: 1-2ug/ml for 30 minutes at RT. Staining of formalin-fixed tissues requires heating tissue sections in 10mM Tris with 1mM EDTA, pH 9.0, for 45 min at 95C followed by cooling at RT for 20 minutes. Optimal dilution for a specific application should be determined.
Formulation, Preparation, and Storage
Purification
Protein A or G purified
Formulation
10mM PBS with 0.05% BSA
Preservative
0.05% Sodium Azide
Concentration
0.2 mg/ml
Shipping
The product is shipped with polar packs. Upon receipt, store it immediately at the temperature recommended below.
Stability & Storage
Store at 4C.
Background: CDC5L
Alternate Names
CDC5, CDC5 (cell division cycle 5, S. pombe, homolog)-like, CDC5 cell division cycle 5-like (S. pombe), Cdc5-like protein, Cdc5-related protein, CEF1, cell division cycle 5-like protein, dJ319D22.1, dJ319D22.1 (CDC5-like protein), hCDC5, KIAA0432, PCDC5RPCDC5-LIKE, Pombe cdc5-related protein
Gene Symbol
CDC5L
Additional CDC5L Products
Product Documents for CDC5L Antibody (PCRP-CDC5L-2C6)
Product Specific Notices for CDC5L Antibody (PCRP-CDC5L-2C6)
This product is for research use only and is not approved for use in humans or in clinical diagnosis. Primary Antibodies are guaranteed for 1 year from date of receipt.
Loading...
Loading...
Loading...
Loading...
Loading...