Skip to main content

CDC37L1 Antibody - BSA Free

Novus Biologicals, part of Bio-Techne | Catalog # NBP2-15831

Catalog #
Availability
Size / Price
Qty
Loading...
NBP2-15831

Key Product Details

Species Reactivity

Validated:

Human

Predicted:

Rhesus Macaque (97%). Backed by our 100% Guarantee.

Applications

Immunohistochemistry, Immunohistochemistry-Paraffin, Western Blot

Label

Unconjugated

Antibody Source

Polyclonal Rabbit IgG

Format

BSA Free

Concentration

Concentrations vary lot to lot. See vial label for concentration. If unlisted please contact technical services.

Product Specifications

Immunogen

Recombinant protein encompassing a sequence within the center region of human CDC37L1. The exact sequence is proprietary.

Reactivity Notes

Mouse (88%), Rat (85%), Bovine (84%).

Clonality

Polyclonal

Host

Rabbit

Isotype

IgG

Theoretical MW

39 kDa.
Disclaimer note: The observed molecular weight of the protein may vary from the listed predicted molecular weight due to post translational modifications, post translation cleavages, relative charges, and other experimental factors.

Scientific Data Images for CDC37L1 Antibody - BSA Free

Western Blot: CDC37L1 Antibody [NBP2-15831]

Western Blot: CDC37L1 Antibody [NBP2-15831]

Western Blot: CDC37L1 Antibody [NBP2-15831] - Sample (30 ug of whole cell lysate) A: HCT116 10% SDS PAGE gel, diluted at 1:1000.
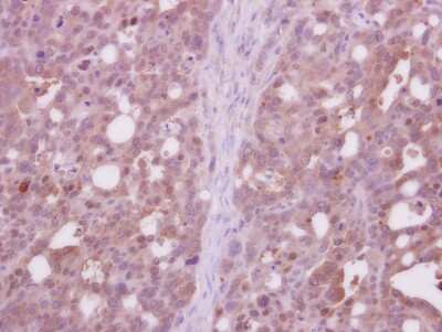
Immunohistochemistry-Paraffin: CDC37L1 Antibody [NBP2-15831]

Immunohistochemistry-Paraffin: CDC37L1 Antibody [NBP2-15831]

Immunohistochemistry-Paraffin: CDC37L1 Antibody [NBP2-15831] - Immunohistochemical analysis of paraffin-embedded NCI-N87 xenograft, using antibody at 1:100 dilution.

Applications for CDC37L1 Antibody - BSA Free

Application
Recommended Usage

Immunohistochemistry

1:100-1:1000

Immunohistochemistry-Paraffin

1:100-1:1000

Western Blot

1:500-1:3000

Formulation, Preparation, and Storage

Purification

Antigen Affinity-purified

Formulation

0.1M Tris, 0.1M Glycine, 20% Glycerol

Format

BSA Free

Preservative

0.01% Thimerosal

Concentration

Concentrations vary lot to lot. See vial label for concentration. If unlisted please contact technical services.

Shipping

The product is shipped with polar packs. Upon receipt, store it immediately at the temperature recommended below.

Stability & Storage

Aliquot and store at -20C or -80C. Avoid freeze-thaw cycles.

Background: CDC37L1

CDC37L1 is a cytoplasmic phosphoprotein that exists in complex with HSP90 (HSPCA; MIM 140571) as well as several other proteins involved in HSP90-mediated protein folding (Scholz et al., 2001 [PubMed 11413142]).[supplied by OMIM]

Alternate Names

CDC37 cell division cycle 37 homolog (S. cerevisiae)-like 1, CDC37BHARCCDC37 cell division cycle 37 homolog-like 1, cell division cycle 37 homolog (S. cerevisiae)-like 1, FLJ20639, hsp90 co-chaperone Cdc37-like 1, Hsp90-associating relative of Cdc37

Gene Symbol

CDC37L1

UniProt

Additional CDC37L1 Products

Product Documents for CDC37L1 Antibody - BSA Free

Certificate of Analysis

To download a Certificate of Analysis, please enter a lot number in the search box below.

Product Specific Notices for CDC37L1 Antibody - BSA Free

This product is for research use only and is not approved for use in humans or in clinical diagnosis. Primary Antibodies are guaranteed for 1 year from date of receipt.

Loading...
Loading...
Loading...
Loading...

⚠ WARNING: This product can expose you to chemicals including mercury, which is known to the State of California to cause reproductive toxicity with developmental effects.  For more information go to www.P65Warnings.ca.gov.