Skip to main content

CDC2/CDK1 [p Thr161] Antibody (PSH03-42)

Novus Biologicals, part of Bio-Techne | Catalog # NBP3-32753

Recombinant Monoclonal Antibody
Novus Biologicals, part of Bio-Techne
Catalog #
Availability
Size / Price
Qty
Loading...
NBP3-32753

Key Product Details

Species Reactivity

Human, Mouse, Rat

Applications

Immunohistochemistry, Immunohistochemistry-Paraffin, Western Blot, Flow Cytometry, Immunocytochemistry/ Immunofluorescence

Label

Unconjugated

Antibody Source

Recombinant Monoclonal Rabbit IgG Clone # PSH03-42 expressed in HEK293

Concentration

1 mg/ml

Product Specifications

Immunogen

Synthetic phosphopeptide corresponding to residues surrounding Thr161 of CDC2/CDK1. (Uniprot: P06493)

Modification

p Thr 161

Localization

Nucleus, Mitochondrion, Cytoplasm, cytoskeleton, microtubule organizing center, spindle.

Clonality

Monoclonal

Host

Rabbit

Isotype

IgG

Theoretical MW

34 kDa.
Disclaimer note: The observed molecular weight of the protein may vary from the listed predicted molecular weight due to post translational modifications, post translation cleavages, relative charges, and other experimental factors.

Description

Novus Biologicals Rabbit CDC2/CDK1 [p Thr161] Antibody (PSH03-42) (NBP3-32753) is a recombinant monoclonal antibody validated for use in IHC, WB, Flow and ICC/IF. All Novus Biologicals antibodies are covered by our 100% guarantee.

Scientific Data Images for CDC2/CDK1 [p Thr161] Antibody (PSH03-42)

CDC2/CDK1 [p Thr161] Antibody (PSH03-42)

Western Blot: CDC2/CDK1 [p Thr161] Antibody (PSH03-42) [NBP3-32753]

Western Blot: CDC2/CDK1 [p Thr161] Antibody (PSH03-42) [NBP3-32753] - Western blot analysis of CDC2/CDK1 on different lysates with Rabbit anti-CDC2/CDK1 antibody (NBP3-32753) at 1/2,000 dilution.

Lane 1: HeLa cell lysate
Lane 2: HeLa treated with 100nM Calyculin A for 30 minutes cell lysate
Lane 3: Jurkat cell lysate
Lane 4: Jurkat treated with 100nM Calyculin A for 30 minutes cell lysate
Lane 5: NIH/3T3 cell lysate
Lane 6: NIH/3T3 treated with 100nM Calyculin A for 30 minutes cell lysate
Lane 7: PC-12 cell lysate
Lane 8: PC-12 treated with UV for 1 hour cell lysate

Lysates/proteins at 30 ug/Lane.

Predicted band size: 34 kDa
Observed band size: 34 kDa

Exposure time: 5 minutes;

4-20% SDS-PAGE gel.

Proteins were transferred to a PVDF membrane and blocked with 5% NFDM/TBST for 1 hour at room temperature. The primary antibody (NBP3-32753) at 1/2,000 dilution was used in 5% NFDM/TBST at 4C overnight. Goat Anti-Rabbit IgG - HRP Secondary Antibody at 1/50,000 dilution was used for 1 hour at room temperature.
CDC2/CDK1 [p Thr161] Antibody (PSH03-42)

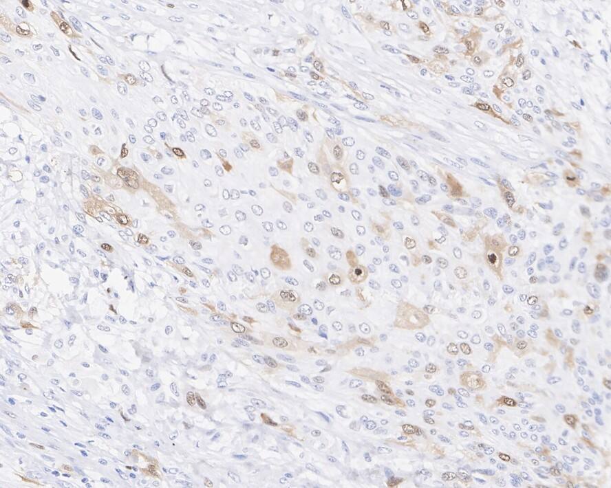
Immunohistochemistry: CDC2/CDK1 [p Thr161] Antibody (PSH03-42) [NBP3-32753]

Immunohistochemistry: CDC2/CDK1 [p Thr161] Antibody (PSH03-42) [NBP3-32753] - Immunohistochemical analysis of paraffin-embedded human cervix cancer tissue with Rabbit anti-CDC2/CDK1 antibody (NBP3-32753) at 1/200 dilution.

The section was pre-treated using heat mediated antigen retrieval with sodium citrate buffer (pH 6.0) for 2 minutes. The tissues were blocked in 1% BSA for 20 minutes at room temperature, washed with ddH2O and PBS, and then probed with the primary antibody (NBP3-32753) at 1/200 dilution for 1 hour at room temperature. The detection was performed using an HRP conjugated compact polymer system. DAB was used as the chromogen. Tissues were counterstained with hematoxylin and mounted with DPX.
CDC2/CDK1 [p Thr161] Antibody (PSH03-42)

Immunocytochemistry/ Immunofluorescence: CDC2/CDK1 [p Thr161] Antibody (PSH03-42) [NBP3-32753]

Immunocytochemistry/ Immunofluorescence: CDC2/CDK1 [p Thr161] Antibody (PSH03-42) [NBP3-32753] - Immunocytochemistry analysis of Jurkat cells treated with or without 100nM Calyculin A for 30 minutes labeling CDC2/CDK1 with Rabbit anti-CDC2/CDK1 antibody (NBP3-32753) at 1/2,500 dilution.

Cells were fixed in 100% precooled methanol for 5 minutes at room temperature, then blocked with 1% BSA in 10% negative goat serum for 1 hour at room temperature. Cells were then incubated with Rabbit anti-CDC2/CDK1 antibody (NBP3-32753) at 1/2,500 dilution in 1% BSA in PBST overnight at 4 ℃. Goat Anti-Rabbit IgG H&L (iFluor™ 488) was used as the secondary antibody at 1/1,000 dilution. PBS instead of the primary antibody was used as the secondary antibody only control. Nuclear DNA was labelled in blue with DAPI.

Beta tubulin (red) was stained at 1/100 dilution overnight at +4℃. Goat Anti-Mouse IgG H&L (iFluor™ 594) was used as the secondary antibody at 1/1,000 dilution.

Applications for CDC2/CDK1 [p Thr161] Antibody (PSH03-42)

Application
Recommended Usage

Flow Cytometry

1:100

Immunocytochemistry/ Immunofluorescence

1:2500

Immunohistochemistry-Paraffin

1:200

Western Blot

1:2000

Formulation, Preparation, and Storage

Purification

Protein A purified

Formulation

PBS (pH7.4), 0.1% BSA and 40% Glycerol

Preservative

0.05% Sodium Azide

Concentration

1 mg/ml

Shipping

The product is shipped with polar packs. Upon receipt, store it immediately at the temperature recommended below.

Stability & Storage

Store at 4C short term. Aliquot and store at -20C long term. Avoid freeze-thaw cycles.

Background: CDC2/CDK1

The cell division control protein cdc2, also known as cyclin-dependent kinase 1 (Cdk1) or p34/cdk1, plays a key role in the control of the eukaryotic cell cycle, where it is required for entry into S-phase and mitosis. Cdc2 exists as a complex with both cyclin A and cyclin B. The best characterized of these associations is the Cdc2 p34 cyclin B complex, which is required for the G2 to M phase transition. Activation of Cdc2 is controlled at several steps including cyclin binding and phosphorylation of threonine 161. However, the critical regulatory step in activating cdc2 during progression into mitosis appears to be dephosphorylation of Tyr15 and Tyr14. Phosphorylation at Tyr15 and inhibition of Cdc2 is carried out by WEE1 and MIK protein kinases while Tyr15 dephosphorylation and activation of Cdc2 is carried out by the cdc25 phosphatase. The isoform CDC2deltaT is found in breast cancer tissues. Furthermore, cdc2/Cdk1 is a key mediator of neuronal cell death in brain development and degeneration.

Long Name

Cell Division Cycle 2/Cyclin-dependent Kinase 1

Alternate Names

CDK1

Gene Symbol

CDK1

Additional CDC2/CDK1 Products

Product Documents for CDC2/CDK1 [p Thr161] Antibody (PSH03-42)

Certificate of Analysis

To download a Certificate of Analysis, please enter a lot number in the search box below.

Product Specific Notices for CDC2/CDK1 [p Thr161] Antibody (PSH03-42)

This product is for research use only and is not approved for use in humans or in clinical diagnosis. Primary Antibodies are guaranteed for 1 year from date of receipt.

Loading...
Loading...
Loading...
Loading...
Loading...