Skip to main content

CDC16 Antibody - BSA Free

Novus Biologicals, part of Bio-Techne | Catalog # NBP1-77155

Novus Biologicals, part of Bio-Techne

Key Product Details

Species Reactivity

Human, Mouse

Applications

Immunohistochemistry, Immunohistochemistry-Paraffin, Western Blot, ELISA, Immunocytochemistry/ Immunofluorescence

Label

Unconjugated

Antibody Source

Polyclonal Rabbit IgG

Format

BSA Free

Concentration

1 mg/ml

Product Specifications

Immunogen

Antibody was raised against an 18 amino acid synthetic peptide near the amino terminus of human APC6. The immunogen is located within the first 50 amino acids of APC6. Amino Acid Squence: DKVASLSREEPQDIYWLA

Clonality

Polyclonal

Host

Rabbit

Isotype

IgG

Description

Novus Biologicals Rabbit CDC16 Antibody - BSA Free (NBP1-77155) is a polyclonal antibody validated for use in IHC, WB, ELISA and ICC/IF. All Novus Biologicals antibodies are covered by our 100% guarantee.

Scientific Data Images for CDC16 Antibody - BSA Free

Western Blot: CDC16 AntibodyBSA Free [NBP1-77155]

Western Blot: CDC16 AntibodyBSA Free [NBP1-77155]

Western Blot: CDC16 Antibody [NBP1-77155] - Human liver tissue lysate with CDC16 antibody at (A) 1 and (B) 2 ug/mL.
CDC16 Antibody - BSA Free

Immunocytochemistry/ Immunofluorescence: CDC16 Antibody - BSA Free [NBP1-77155] -

Immunocytochemistry/ Immunofluorescence: CDC16 Antibody - BSA Free [NBP1-77155] - Immunofluorescence of CDC16 in human liver tissue with CDC16 antibody at 20 u/mL.
CDC16 Antibody - BSA Free

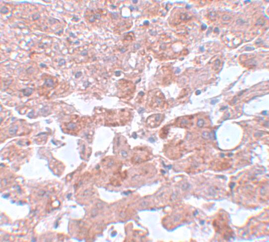
Immunohistochemistry: CDC16 Antibody - BSA Free [NBP1-77155] -

Immunohistochemistry: CDC16 Antibody - BSA Free [NBP1-77155] - Immunohistochemistry of CDC16 in human liver tissue with CDC16 antibody at 5 u/mL.

Applications for CDC16 Antibody - BSA Free

Application
Recommended Usage

ELISA

1:100-1:2000

Immunocytochemistry/ Immunofluorescence

20 ug/ml

Immunohistochemistry

5 ug/ml

Immunohistochemistry-Paraffin

5 ug/ml

Western Blot

1-2 ug/ml

Formulation, Preparation, and Storage

Purification

Peptide affinity purified

Formulation

PBS

Format

BSA Free

Preservative

0.02% Sodium Azide

Concentration

1 mg/ml

Shipping

The product is shipped with polar packs. Upon receipt, store it immediately at the temperature recommended below.

Stability & Storage

Store at 4C short term. Aliquot and store at -20C long term. Avoid freeze-thaw cycles.

Background: CDC16

Cell cycle regulated protein ubiquitination and degradation within subcellular domains is thought to be essential for the normal progression of mitosis. APC6 is a highly conserved component of the anaphase promoting complex/cyclosome (APC/C), a cell cycle-regulated E3 ubiquitin ligase that controls progression through mitosis and the G1 phase of the cell cycle. APC/C is responsible for degrading anaphase inhibitors, mitotic cyclins, and spindle-associated proteins ensuring that events of mitosis take place in proper sequence. The individual APC/C components mRNA and protein levels are expressed at approximately the same levels in most tissues and cell lines, suggesting that they perform their functions as part of a complex. While little is known of APC6, it has been shown to interact with and is stabilized by CDC26 through an intermolecular TPR mimic composed of one helix from each protein.

Alternate Names

ANAPC6subunit 6, CDC16 (cell division cycle 16, S. cerevisiae, homolog), CDC16 cell division cycle 16 homolog (S. cerevisiae), CDC16 homolog, CDC16Hs, cell division cycle 16 homolog (S. cerevisiae), cell division cycle protein 16 homolog, Cyclosome subunit 6

Gene Symbol

CDC16

Additional CDC16 Products

Product Documents for CDC16 Antibody - BSA Free

Certificate of Analysis

To download a Certificate of Analysis, please enter a lot number in the search box below.

Product Specific Notices for CDC16 Antibody - BSA Free

This product is for research use only and is not approved for use in humans or in clinical diagnosis. Primary Antibodies are guaranteed for 1 year from date of receipt.

Loading...
Loading...
Loading...
Loading...