Skip to main content

CD63 Antibody (SY21-02)

Novus Biologicals, part of Bio-Techne | Catalog # NBP2-67425

Recombinant Monoclonal Antibody.
Novus Biologicals, part of Bio-Techne
Catalog #
Availability
Size / Price
Qty
Loading...
NBP2-67425

Key Product Details

Validated by

Biological Validation

Species Reactivity

Validated:

Human, Mouse

Cited:

Human, Mouse

Applications

Validated:

Immunohistochemistry, Immunohistochemistry-Paraffin, Western Blot, Simple Western

Cited:

Western Blot, Simple Western

Label

Unconjugated

Antibody Source

Recombinant Monoclonal Rabbit IgG Clone # SY21-02 expressed in HEK293

Concentration

1 mg/ml

Product Specifications

Immunogen

Recombinant protein within Human CD63 aa 88-216 / 238. (SwissProt: P08962 Human)

Localization

Lysosome membrane, Cell membrane, extracellular exosome, Late endosome membrane, multivesicular body, Melanosome, Cell surface.

Clonality

Monoclonal

Host

Rabbit

Isotype

IgG

Description

Novus Biologicals Rabbit CD63 Antibody (SY21-02) (NBP2-67425) is a recombinant monoclonal antibody validated for use in IHC, WB and Simple Western. Anti-CD63 Antibody: Cited in 5 publications. All Novus Biologicals antibodies are covered by our 100% guarantee.

Scientific Data Images for CD63 Antibody (SY21-02)

Western Blot: CD63 Antibody (SY21-02) [NBP2-67425]

Western Blot: CD63 Antibody (SY21-02) [NBP2-67425]

Western Blot: CD63 Antibody (SY21-02) [NBP2-67425] - Analysis of CD63 on different lysates using anti-CD63 antibody at 1/1,000 dilution. Positive control: Lane 1: HL60 Lane 2: THP-1 Lane 3: NIH/3T3
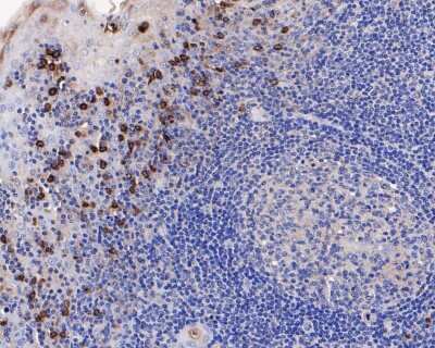
Immunohistochemistry-Paraffin: CD63 Antibody (SY21-02) [NBP2-67425]

Immunohistochemistry-Paraffin: CD63 Antibody (SY21-02) [NBP2-67425]

Immunohistochemistry-Paraffin: CD63 Antibody (SY21-02) [NBP2-67425] - Immunohistochemical analysis of paraffin-embedded human tonsil tissue using anti-CD63 antibody. The section was pre-treated using heat mediated antigen retrieval with Tris-EDTA buffer (pH 8.0-8.4) for 20 minutes. The tissues were blocked in 5% BSA for 30 minutes at room temperature, washed with ddH2O and PBS, and then probed with the primary antibody (ET1607-2, 1/200) for 30 minutes at room temperature. The detection was performed using an HRP conjugated compact polymer system. DAB was used as the chromogen. Tissues were counterstained with hematoxylin and mounted with DPX.
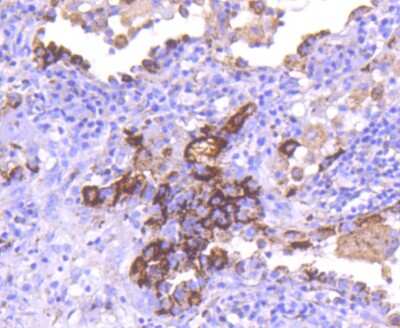
Immunohistochemistry-Paraffin: CD63 Antibody (SY21-02) [NBP2-67425]

Immunohistochemistry-Paraffin: CD63 Antibody (SY21-02) [NBP2-67425]

Immunohistochemistry-Paraffin: CD63 Antibody (SY21-02) [NBP2-67425] - Analysis of paraffin-embedded human lung cancer tissue using anti-CD63 antibody. Counter stained with hematoxylin.

Applications for CD63 Antibody (SY21-02)

Application
Recommended Usage

Immunohistochemistry-Paraffin

1:100-1:500

Western Blot

1:500-1:1000
Application Notes
Use in SW reported in scientific publication( PMID: 32443895).
See Simple Western Antibody Database for Simple Western validation: separated by Size

Formulation, Preparation, and Storage

Purification

Protein A purified

Formulation

TBS (pH7.4), 0.05% BSA, 40% Glycerol

Preservative

0.05% Sodium Azide

Concentration

1 mg/ml

Shipping

The product is shipped with polar packs. Upon receipt, store it immediately at the temperature recommended below.

Stability & Storage

Store at 4C short term. Aliquot and store at -20C long term. Avoid freeze-thaw cycles.

Background: CD63

CD63 (cluster of differentiation 63), also known as lysosome associated membrane protein 3 (LAMP-3), is a membrane spanning glycoprotein with a molecular mass ranging from 30-60 kDa that was the first characterized member of the tetraspanin superfamily (1,2). CD63 is ubiquitously expressed and largely present on the cell surface in the endosomal system (1-3). More specifically, it is generally present in multivesicular bodies (MVBs), also called late endosomes, and lysosomes (1). The CD63 molecule is a total of 238 amino acids (aa), has four hydrophobic membrane-spanning regions and three N-glycosylation sites, and the encoded protein has a theoretical molecular weight of 25 kDa (2,3). CD63 both directly and indirectly interacts with other proteins including integrins, cell surface receptors, other tetraspanins, kinases, and adapter proteins, to name a few (1). CD63 is involved in many cell processes including cell survival and activation, cell adhesion, invasion, and migration (1). Additionally, CD63 has been shown to interact with tissue inhibitor of metalloproteinase 1 (TIMP-1), which originally thought to be an inhibitor of cancer progression has recently been shown to have cancer promoting properties as well (1,4). The CD63-TIMP-1 interaction has been shown to activate the PI3K/AKT pathway in lung adenocarcinoma cells and also promote survival and invasion of acute myeloid leukemia cells (1).CD63 is a useful flow cytometry marker for basophil granulocytes and can be used for the basophil activation test (BAT) to assess IgE-mediated allergy response (5). As CD63 was initially discovered on activated blood platelets and is a lysosomal-associated protein it makes sense it would be involved in platelet or lysosomal-related disorders (1,2). More precisely, CD63 is associated with Hermansky-Pudlak syndrome, a disease characterized by albinism and platelet storage pool deficiency (6).

References

1. Pols, M. S., & Klumperman, J. (2009). Trafficking and function of the tetraspanin CD63. Experimental cell research. https://doi.org/10.1016/j.yexcr.2008.09.020

2. Metzelaar, M. J., Wijngaard, P. L., Peters, P. J., Sixma, J. J., Nieuwenhuis, H. K., & Clevers, H. C. (1991). CD63 antigen. A novel lysosomal membrane glycoprotein, cloned by a screening procedure for intracellular antigens in eukaryotic cells. The Journal of biological chemistry.

3. Horejsi, V., & Vlcek, C. (1991). Novel structurally distinct family of leucocyte surface glycoproteins including CD9, CD37, CD53 and CD63. FEBS letters. https://doi.org/10.1016/0014-5793(91)80988-f

4. Eckfeld, C., HauBler, D., Schoeps, B., Hermann, C. D., & Kruger, A. (2019). Functional disparities within the TIMP family in cancer: hints from molecular divergence. Cancer metastasis reviews. https://doi.org/10.1007/s10555-019-09812-6

5. Hoffmann, H. J., Santos, A. F., Mayorga, C., Nopp, A., Eberlein, B., Ferrer, M., Rouzaire, P., Ebo, D. G., Sabato, V., Sanz, M. L., Pecaric-Petkovic, T., Patil, S. U., Hausmann, O. V., Shreffler, W. G., Korosec, P., & Knol, E. F. (2015). The clinical utility of basophil activation testing in diagnosis and monitoring of allergic disease. Allergy. https://doi.org/10.1111/all.12698

6. Dell'Angelica, E. C., Shotelersuk, V., Aguilar, R. C., Gahl, W. A., & Bonifacino, J. S. (1999). Altered trafficking of lysosomal proteins in Hermansky-Pudlak syndrome due to mutations in the beta 3A subunit of the AP-3 adaptor. Molecular cell. https://doi.org/10.1016/s1097-2765(00)80170-7

Alternate Names

CD63, Granulophysin, Lamp-3, ME491, OMA81H, Tspan30

Gene Symbol

CD63

Additional CD63 Products

Product Documents for CD63 Antibody (SY21-02)

Certificate of Analysis

To download a Certificate of Analysis, please enter a lot number in the search box below.

Product Specific Notices for CD63 Antibody (SY21-02)

This product is for research use only and is not approved for use in humans or in clinical diagnosis. Primary Antibodies are guaranteed for 1 year from date of receipt.

Loading...
Loading...
Loading...
Loading...