Skip to main content

CD53 Antibody (JE60-38)

Novus Biologicals, part of Bio-Techne | Catalog # NBP3-32159

Recombinant Monoclonal Antibody
Novus Biologicals, part of Bio-Techne
Catalog #
Availability
Size / Price
Qty
Loading...
NBP3-32159

Key Product Details

Species Reactivity

Human

Applications

Immunohistochemistry, Immunohistochemistry-Paraffin, Western Blot, Immunocytochemistry/ Immunofluorescence

Label

Unconjugated

Antibody Source

Recombinant Monoclonal Rabbit IgG Clone # JE60-38 expressed in HEK293

Concentration

1 mg/ml

Product Specifications

Immunogen

Synthetic peptide within Human CD53 aa 170-219 / 219. (Uniprot: P19397)

Localization

Cell membrane, Cell junction, Membrane.

Clonality

Monoclonal

Host

Rabbit

Isotype

IgG

Theoretical MW

24 kDa.
Disclaimer note: The observed molecular weight of the protein may vary from the listed predicted molecular weight due to post translational modifications, post translation cleavages, relative charges, and other experimental factors.

Description

Novus Biologicals Rabbit CD53 Antibody (JE60-38) (NBP3-32159) is a recombinant monoclonal antibody validated for use in IHC, WB and ICC/IF. All Novus Biologicals antibodies are covered by our 100% guarantee.

Scientific Data Images for CD53 Antibody (JE60-38)

CD53 Antibody (JE60-38)

Western Blot: CD53 Antibody (JE60-38) [NBP3-32159]

Western Blot: CD53 Antibody (JE60-38) [NBP3-32159] - Western blot analysis of CD53 on different lysates with Rabbit anti-CD53 antibody (NBP3-32159) at 1/1,000 dilution.

Lane 1: Jurkat cell lysate
Lane 2: Raji cell lysate
Lane 3: Ramos cell lysate

Lysates/proteins at 20 ug/Lane.

Predicted band size: 24 kDa
Observed band size: 35-42 kDa

Exposure time: 1 minute 14 seconds;

4-20% SDS-PAGE gel.

Proteins were transferred to a PVDF membrane and blocked with 5% NFDM/TBST for 1 hour at room temperature. The primary antibody (NBP3-32159) at 1/1,000 dilution was used in 5% NFDM/TBST at 4C overnight. Goat Anti-Rabbit IgG - HRP Secondary Antibody at 1/50,000 dilution was used for 1 hour at room temperature.
CD53 Antibody (JE60-38)

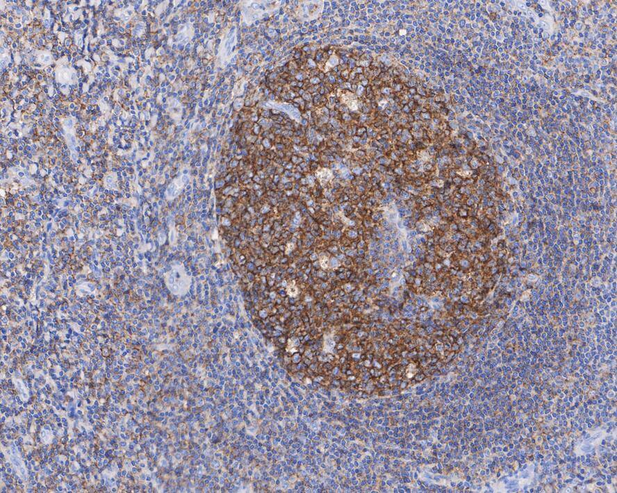
Immunohistochemistry: CD53 Antibody (JE60-38) [NBP3-32159]

Immunohistochemistry: CD53 Antibody (JE60-38) [NBP3-32159] - Immunohistochemical analysis of paraffin-embedded human tonsil tissue with Rabbit anti-CD53 antibody (NBP3-32159) at 1/2,000 dilution.

The section was pre-treated using heat mediated antigen retrieval with Tris-EDTA buffer (pH 9.0) for 20 minutes. The tissues were blocked in 1% BSA for 20 minutes at room temperature, washed with ddH2O and PBS, and then probed with the primary antibody (NBP3-32159) at 1/2,000 dilution for 1 hour at room temperature. The detection was performed using an HRP conjugated compact polymer system. DAB was used as the chromogen. Tissues were counterstained with hematoxylin and mounted with DPX.
CD53 Antibody (JE60-38)

Immunocytochemistry/ Immunofluorescence: CD53 Antibody (JE60-38) [NBP3-32159]

Immunocytochemistry/ Immunofluorescence: CD53 Antibody (JE60-38) [NBP3-32159] - Immunocytochemistry analysis of Jurkat cells labeling CD53 with Rabbit anti-CD53 antibody (NBP3-32159) at 1/100 dilution.

Cells were fixed in 80% precooled methanol for 5 minutes at room temperature, then blocked with 1% BSA in 10% negative goat serum for 1 hour at room temperature. Cells were then incubated with Rabbit anti-CD53 antibody (NBP3-32159) at 1/100 dilution in 1% BSA in PBST overnight at 4 ℃. Goat Anti-Rabbit IgG H&L (iFluor™ 488) was used as the secondary antibody at 1/1,000 dilution. PBS instead of the primary antibody was used as the secondary antibody only control. Nuclear DNA was labelled in blue with DAPI.

Beta tubulin (red) was stained at 1/100 dilution overnight at +4℃. Goat Anti-Mouse IgG H&L (iFluor™ 594) was used as the secondary antibody at 1/1,000 dilution.

Applications for CD53 Antibody (JE60-38)

Application
Recommended Usage

Immunocytochemistry/ Immunofluorescence

1:100

Immunohistochemistry-Paraffin

1:2000

Western Blot

1:1000

Formulation, Preparation, and Storage

Purification

Protein A purified

Formulation

1*TBS (pH7.4), 0.05% BSA and 40% Glycerol

Preservative

0.05% Sodium Azide

Concentration

1 mg/ml

Shipping

The product is shipped with polar packs. Upon receipt, store it immediately at the temperature recommended below.

Stability & Storage

Store at 4C short term. Aliquot and store at -20C long term. Avoid freeze-thaw cycles.

Background: CD53

The antibody reacts with CD53 antigen, a glycoprotein of 32-40 kDa belonging to the tetraspans family (TM4SF). CD53 antigen is exclusivelly expressed on leucocytes (not present on platelets, red blood cells and non-hematopoietic cells). CD53 is important for signal transduction. CD53 cross-linking promotes activation of human B cells and rat macrophages.

Alternate Names

CD53, MOX44, TSPAN25

Gene Symbol

CD53

Additional CD53 Products

Product Documents for CD53 Antibody (JE60-38)

Certificate of Analysis

To download a Certificate of Analysis, please enter a lot number in the search box below.

Product Specific Notices for CD53 Antibody (JE60-38)

This product is for research use only and is not approved for use in humans or in clinical diagnosis. Primary Antibodies are guaranteed for 1 year from date of receipt.

Loading...
Loading...
Loading...
Loading...