Skip to main content

CD46 Antibody (6D2A4)

Novus Biologicals, part of Bio-Techne | Catalog # NBP3-15618

Recombinant Monoclonal Antibody
Novus Biologicals, part of Bio-Techne
Catalog #
Availability
Size / Price
Qty
Loading...
NBP3-15618-100ul
NBP3-15618-20ul

Key Product Details

Species Reactivity

Human

Applications

Immunohistochemistry, Immunohistochemistry-Paraffin, Western Blot

Label

Unconjugated

Antibody Source

Recombinant Monoclonal Rabbit IgG Clone # 6D2A4 expressed in HEK293

Concentration

Please see the vial label for concentration. If unlisted please contact technical services.

Product Specifications

Immunogen

A synthetic peptide corresponding to a sequence within amino acids 1-100 of human CD46 (P15529). MEPPGRRECPFPSWRFPGLLLAAMVLLLYSFSDACEEPPTFEAMELIGKPKPYYEIGERVDYKCKKGYFYIPPLATHTICDRNHTWLPVSDDACYRETCP

Clonality

Monoclonal

Host

Rabbit

Isotype

IgG

Description

Novus Biologicals Rabbit CD46 Antibody (6D2A4) (NBP3-15618) is a recombinant monoclonal antibody validated for use in IHC and WB. All Novus Biologicals antibodies are covered by our 100% guarantee.

Scientific Data Images for CD46 Antibody (6D2A4)

Western Blot: CD46 Antibody (6D2A4) [NBP3-15618]

Western Blot: CD46 Antibody (6D2A4) [NBP3-15618]

Western Blot: CD46 Antibody (6D2A4) [NBP3-15618] - Analysis of extracts of various cell lines, using CD46 antibody (NBP3-15618) at 1:1000 dilution. Secondary antibody: HRP Goat Anti-Rabbit IgG (H+L) at 1:10000 dilution. Lysates/proteins: 25ug per lane. Blocking buffer: 3% nonfat dry milk in TBST. Detection: ECL Basic Kit. Exposure time: 3min.
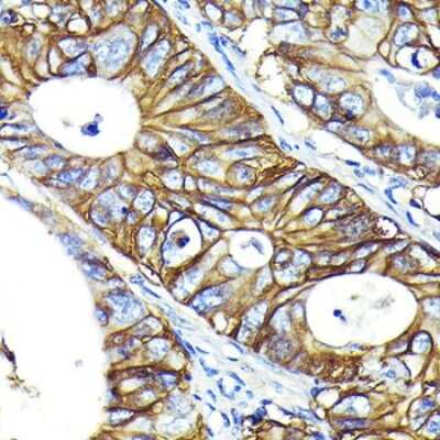
Immunohistochemistry-Paraffin: CD46 Antibody (6D2A4) [NBP3-15618]

Immunohistochemistry-Paraffin: CD46 Antibody (6D2A4) [NBP3-15618]

Immunohistochemistry-Paraffin: CD46 Antibody (6D2A4) [NBP3-15618] - Human colon carcinoma using CD46 Rabbit mAb (NBP3-15618) at dilution of 1:100 (40x lens).Perform microwave antigen retrieval with 10 mM PBS buffer pH 7.2 before commencing with IHC staining protocol.

Applications for CD46 Antibody (6D2A4)

Application
Recommended Usage

Immunohistochemistry

1:50 - 1:200

Western Blot

1:500 - 1:1000

Formulation, Preparation, and Storage

Purification

Affinity purified

Formulation

PBS (pH 7.3), 50% glycerol, 0.05% BSA

Preservative

0.02% Sodium Azide

Concentration

Please see the vial label for concentration. If unlisted please contact technical services.

Shipping

The product is shipped with polar packs. Upon receipt, store it immediately at the temperature recommended below.

Stability & Storage

Store at -20C. Avoid freeze-thaw cycles.

Background: CD46

CD46 is one of the membrane complement regulatory proteins. CD46 possesses C3b-binding and factor I cofactor activities which play important roles in regulation of complement activation pathway. CD46 is widely distributed on blood cells, endothelial cells, epithelial cells and tumor cell lines. CD46 exists as many isoforms in a variety of tissues. The antigen has a broad distribution and is present on leukocytes, platelets, endothelial cells, epithelial cells and fibroblasts. It is strongly expressed on salivary gland ducts and kidney ducts, moderately on lymphocytes and endothelium, and weakly on interstitial tissues and muscle cells, but not on erythrocytes. It is expressed on thymocytes, B cells, monocytes, granulocytes, NK cells, platelets, epithelial and endothelial cells.

Alternate Names

CD46, MCP

Gene Symbol

CD46

Additional CD46 Products

Product Documents for CD46 Antibody (6D2A4)

Certificate of Analysis

To download a Certificate of Analysis, please enter a lot number in the search box below.

Product Specific Notices for CD46 Antibody (6D2A4)

This product is for research use only and is not approved for use in humans or in clinical diagnosis. Primary Antibodies are guaranteed for 1 year from date of receipt.

Loading...
Loading...
Loading...
Loading...