Skip to main content

CD40 Ligand/TNFSF5 Antibody (JM11-34)

Novus Biologicals, part of Bio-Techne | Catalog # NBP2-66756

Recombinant Monoclonal Antibody
Novus Biologicals, part of Bio-Techne
Catalog #
Availability
Size / Price
Qty
Loading...
NBP2-66756

Key Product Details

Species Reactivity

Human, Mouse, Rat

Applications

Immunohistochemistry, Immunohistochemistry-Paraffin, Western Blot, Flow Cytometry, Immunocytochemistry/ Immunofluorescence

Label

Unconjugated

Antibody Source

Recombinant Monoclonal Rabbit IgG Clone # JM11-34 expressed in HEK293

Concentration

1 mg/ml

Product Specifications

Immunogen

Synthetic peptide within Human CD40 Ligand/TNFSF5 aa 103-150 / 261. (SwissProt: P29965 Human; SwissProt: P27548 Mouse; SwissProt: Q9Z2V2 Rat)

Localization

Cell membrane, Cell surface, Secreted.

Clonality

Monoclonal

Host

Rabbit

Isotype

IgG

Description

Novus Biologicals Rabbit CD40 Ligand/TNFSF5 Antibody (JM11-34) (NBP2-66756) is a recombinant monoclonal antibody validated for use in IHC, WB, Flow and ICC/IF. All Novus Biologicals antibodies are covered by our 100% guarantee.

Scientific Data Images for CD40 Ligand/TNFSF5 Antibody (JM11-34)

Western Blot: CD40 Ligand/TNFSF5 Antibody (JM11-34) [NBP2-66756]

Western Blot: CD40 Ligand/TNFSF5 Antibody (JM11-34) [NBP2-66756]

Western Blot: CD40 Ligand/TNFSF5 Antibody (JM11-34) [NBP2-66756] - Western blot analysis of CD40 Ligand/TNFSF5 on different lysates. Proteins were transferred to a PVDF membrane and blocked with 5% BSA in PBS for 1 hour at room temperature. The primary antibody (1/500) was used in 5% BSA at room temperature for 2 hours. Goat Anti-Rabbit IgG - HRP Secondary Antibody (HA1001) at 1:5,000 dilution was used for 1 hour at room temperature. Positive control: Lane 1: mouse liver tissue lysate Lane 2: rat liver tissue lysate Lane 2: mouse bone marrow tissue lysate
Immunocytochemistry/ Immunofluorescence: CD40 Ligand/TNFSF5 Antibody (JM11-34) [NBP2-66756]

Immunocytochemistry/ Immunofluorescence: CD40 Ligand/TNFSF5 Antibody (JM11-34) [NBP2-66756]

Immunocytochemistry/Immunofluorescence: CD40 Ligand/TNFSF5 Antibody (JM11-34) [NBP2-66756] - Staining CD40L in NIH-3T3 cells (green). The nuclear counter stain is DAPI (blue). Cells were fixed in paraformaldehyde, permeabilised with 0.25% Triton X100/PBS.
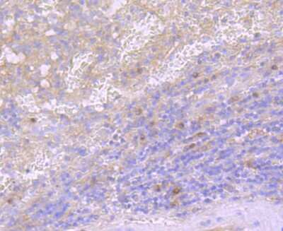
Immunohistochemistry-Paraffin: CD40 Ligand/TNFSF5 Antibody (JM11-34) [NBP2-66756]

Immunohistochemistry-Paraffin: CD40 Ligand/TNFSF5 Antibody (JM11-34) [NBP2-66756]

Immunohistochemistry-Paraffin: CD40 Ligand/TNFSF5 Antibody (JM11-34) [NBP2-66756] - Analysis of paraffin-embedded human spleen tissue using anti- CD40L antibody. Counter stained with hematoxylin.

Applications for CD40 Ligand/TNFSF5 Antibody (JM11-34)

Application
Recommended Usage

Flow Cytometry

1:50-1:100

Immunocytochemistry/ Immunofluorescence

1:50-1:200

Immunohistochemistry-Paraffin

1:50-1:200

Western Blot

1:500-1:2000

Formulation, Preparation, and Storage

Purification

Protein A purified

Formulation

TBS (pH7.4), 0.05% BSA, 40% Glycerol

Preservative

0.05% Sodium Azide

Concentration

1 mg/ml

Shipping

The product is shipped with polar packs. Upon receipt, store it immediately at the temperature recommended below.

Stability & Storage

Store at 4C short term. Aliquot and store at -20C long term. Avoid freeze-thaw cycles.

Background: CD40 Ligand/TNFSF5

CD40L is the ligand for CD40, a member of the tumor necrosis factor (TNF) receptor superfamily. CD40L is expressed mainly on activated CD4+ T-lymphocytes as a single-pass type II membrane protein. Proteolytic processing of the membrane form results in a soluble secreted form of CD40L.

Alternate Names

CD154, CD40L, CD40LG, gp39, TNFSF5, TRAP

Gene Symbol

CD40LG

Additional CD40 Ligand/TNFSF5 Products

Product Documents for CD40 Ligand/TNFSF5 Antibody (JM11-34)

Certificate of Analysis

To download a Certificate of Analysis, please enter a lot number in the search box below.

Product Specific Notices for CD40 Ligand/TNFSF5 Antibody (JM11-34)

This product is for research use only and is not approved for use in humans or in clinical diagnosis. Primary Antibodies are guaranteed for 1 year from date of receipt.

Loading...
Loading...
Loading...
Loading...
Loading...
Loading...