Skip to main content

CD23/Fc epsilon RII Antibody (CL12435) - Azide and BSA Free

Novus Biologicals, part of Bio-Techne | Catalog # NBP3-44363

Novus Biologicals, part of Bio-Techne

Key Product Details

Validated by

Orthogonal Validation

Species Reactivity

Human

Applications

Immunohistochemistry-Paraffin

Label

Unconjugated

Antibody Source

Monoclonal Mouse IgG1 Clone # CL12435

Format

Azide and BSA Free

Concentration

LYOPH mg/ml

Product Specifications

Immunogen

This antibody was generated using a synthetic peptide of P06734, with the exact immunogen sequence remaining proprietary.

Clonality

Monoclonal

Host

Mouse

Isotype

IgG1

Description

Novus Biologicals Mouse CD23/Fc epsilon RII Antibody (CL12435) - Azide and BSA Free (NBP3-15134) is a monoclonal antibody validated for use in IHC. All Novus Biologicals antibodies are covered by our 100% guarantee.

Scientific Data Images for CD23/Fc epsilon RII Antibody (CL12435) - Azide and BSA Free

CD23/Fc epsilon RII Antibody (CL12435) - Azide and BSA Free Immunohistochemistry-Paraffin: CD23/Fc epsilon RII Antibody [NBP3-44363]

Immunohistochemistry-Paraffin: CD23/Fc epsilon RII Antibody [NBP3-44363]

Analysis in human lymph node and skeletal muscle tissues using NBP3-44363 antibody. Corresponding CD23/Fc epsilon RII RNA-seq data are presented for the same tissues.
CD23/Fc epsilon RII Antibody (CL12435) - Azide and BSA Free Immunohistochemistry-Paraffin: CD23/Fc epsilon RII Antibody [NBP3-44363]

Immunohistochemistry-Paraffin: CD23/Fc epsilon RII Antibody [NBP3-44363]

Staining of human chronic lymphocytic leukemia shows strong membranous positivity in germinal center cells.
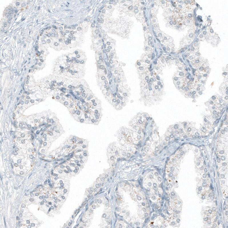
CD23/Fc epsilon RII Antibody (CL12435) - Azide and BSA Free Immunohistochemistry-Paraffin: CD23/Fc epsilon RII Antibody [NBP3-44363]

Immunohistochemistry-Paraffin: CD23/Fc epsilon RII Antibody [NBP3-44363]

Staining of human prostate shows no positivity in glandular cells as expected.

Applications for CD23/Fc epsilon RII Antibody (CL12435) - Azide and BSA Free

Application
Recommended Usage

Immunohistochemistry-Paraffin

1:1000-1:2500
Application Notes
For IHC-Paraffin, HIER pH 6 retrieval is recommended.

Formulation, Preparation, and Storage

Purification

Protein A purified

Reconstitution

Centrifuge the vial of lyophilized antibody at 12,000 x g for 20 seconds. Reconstitute by adding sterile, distilled water to achieve a final antibody concentration of 1mg/ml.

Formulation

Lyophilized from a 0.2 um filtered solution in PBS with Trehalose

Format

Azide and BSA Free

Preservative

No Preservative

Concentration

LYOPH mg/ml

Shipping

The product is shipped at ambient temperature. Upon receipt, store it immediately at the temperature recommended below.

Stability & Storage

Store at 4C short term. Aliquot and store at -20C long term. Avoid freeze-thaw cycles.

Background: CD23/Fc epsilon RII

The CD23 antigen is the low affinity IgE Fc receptor, which is a 49 kDa protein with 38 and 28 kDa fragments. It is expressed on most mature, conventional B cells (but not on peritoneal CD5+ B cells), and can also be found on the surface of T cells, macrophages, platelets and EBV transformed B lymphoblasts. Expression of CD23 has been detected in neoplastic cells from cases of B cell chronic Lymphocytic leukemia. CD23 is expressed by B cells in the follicular mantle but not by proliferating germinal centre cells. CD23 is also expressed by eosinophils. CD23 is distinct from the high affinity IgE receptors found on basophils and mast cells, which mediate allergic reactions. The low affinity receptors are thought to play a role in isotype specific immunoregulation. The regulation of CD23 surface expression appears to be integral with the complex IgE system, which involves interactions of cells, cytokines, antibodies and regulatory factors. CD23 has been described as a

Long Name

Fc epsilon Receptor II

Alternate Names

CD23, CLEC4J, Fc epsilon RII, FCER2, Fcer2a, FceRII, IGEBF, Ly-42

Gene Symbol

FCER2

Additional CD23/Fc epsilon RII Products

Product Documents for CD23/Fc epsilon RII Antibody (CL12435) - Azide and BSA Free

Certificate of Analysis

To download a Certificate of Analysis, please enter a lot number in the search box below.

Product Specific Notices for CD23/Fc epsilon RII Antibody (CL12435) - Azide and BSA Free

This product is for research use only and is not approved for use in humans or in clinical diagnosis. Primary Antibodies are guaranteed for 1 year from date of receipt.

Loading...
Loading...
Loading...
Loading...
Loading...