Skip to main content

CD2 Antibody (3D1E3) - BSA Free

Novus Biologicals, part of Bio-Techne | Catalog # NBP2-61727

Novus Biologicals, part of Bio-Techne
Catalog #
Availability
Size / Price
Qty
Loading...
NBP2-61727
NBP2-61727-0.025ml

Key Product Details

Species Reactivity

Human, Mouse

Applications

ELISA, Flow Cytometry, Immunohistochemistry, Immunohistochemistry-Paraffin, Microarray, Western Blot

Label

Unconjugated

Antibody Source

Monoclonal Mouse IgG1 Clone # 3D1E3

Format

BSA Free

Concentration

1 mg/ml

Product Specifications

Immunogen

Purified recombinant fragment of human CD2 (AA: 25-140) expressed in E. Coli.

Clonality

Monoclonal

Host

Mouse

Isotype

IgG1

Theoretical MW

39.4 kDa.
Disclaimer note: The observed molecular weight of the protein may vary from the listed predicted molecular weight due to post translational modifications, post translation cleavages, relative charges, and other experimental factors.

Description

Novus Biologicals Mouse CD2 Antibody (3D1E3) - BSA Free (NBP2-61727) is a monoclonal antibody validated for use in IHC, WB, ELISA and Flow. All Novus Biologicals antibodies are covered by our 100% guarantee.

Scientific Data Images for CD2 Antibody (3D1E3) - BSA Free

Western Blot: CD2 Antibody (3D1E3)BSA Free [NBP2-61727]

Western Blot: CD2 Antibody (3D1E3)BSA Free [NBP2-61727]

Western Blot: CD2 Antibody (3D1E3) [NBP2-61727] - Analysis using CD2 mAb against HEK293 (1) and CD2 (AA: 25-140)-hIgGFc transfected HEK293 (2) cell lysate.
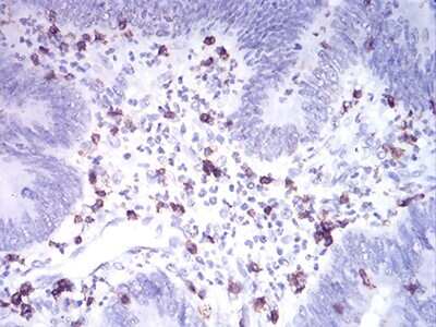
Immunohistochemistry-Paraffin: CD2 Antibody (3D1E3) - BSA Free [NBP2-61727]

Immunohistochemistry-Paraffin: CD2 Antibody (3D1E3) - BSA Free [NBP2-61727]

Immunohistochemistry-Paraffin: CD2 Antibody (3D1E3) [NBP2-61727] - Analysis of endometrial cancer tissues using CD2 mouse mAb with DAB staining.
Flow Cytometry: CD2 Antibody (3D1E3) - BSA Free [NBP2-61727]

Flow Cytometry: CD2 Antibody (3D1E3) - BSA Free [NBP2-61727]

Flow Cytometry: CD2 Antibody (3D1E3) [NBP2-61727] - Analysis of HepG2 cells using CD2 mouse mAb (green) and negative control (red).

Applications for CD2 Antibody (3D1E3) - BSA Free

Application
Recommended Usage

ELISA

1:100 - 1:2000

Flow Cytometry

1:10 - 1:1000

Immunohistochemistry

1:10 - 1:500

Western Blot

1:100 - 1:2000
Application Notes
This CD2 Antibody (3D1E3) is validated for microarray from a verified customer review.

Reviewed Applications

Read 1 review rated 3 using NBP2-61727 in the following applications:

Formulation, Preparation, and Storage

Purification

Protein G purified

Formulation

PBS

Format

BSA Free

Preservative

0.05% Sodium Azide

Concentration

1 mg/ml

Shipping

The product is shipped with polar packs. Upon receipt, store it immediately at the temperature recommended below.

Stability & Storage

Store at 4C short term. Aliquot and store at -20C long term. Avoid freeze-thaw cycles.

Background: CD2

CD2, also known as sheep red blood cell receptor (SRBC-R), erythrocyte receptor, LFA-2, and T11, is a type I transmembrane glycoprotein that is expressed on the surface of T cells, natural killer (NK) cells, thymocytes, and dendritic cells (1,2). CD2 is a member of the immunoglobulin (Ig) superfamily and a costimulatory receptor that functions in formation of the immunological synapse and T cell activation and signaling (1). The human CD2 protein is 351 amino acids in length with a theoretical molecular weight of ~40 kDa, but a fully glycosylated protein can weight closer to 50 kDa (1,3). The CD2 protein contains a signal sequence, an extracellular domain (ECD) composed of an Ig-like V-type domain followed by an Ig-like C-type domain, a transmembrane helical domain, and a proline-rich cytoplasmic tail (1,3). CD2 binds with CD58, also called LFA-3, which is a surface glycoprotein expressed by antigen presenting cells (APCs) and other target cells (1,2). While CD58 is the primary ligand for CD2 in humans, it also interacts with CD59 and CD48, albeit with lower affinity (1,2). However, in mice and rats which lack CD58 the main ligand for CD2 is CD48 (4). Research has found that when there is no direct interaction, CD2 co-immunoprecipitates with the T cell receptor (TCR)/CD3 complex (1). CD2 is an adhesion molecule with a variety of functions including actin cytoskeleton rearrangement, immunological synapse formation through T cell-APC binding, thymocyte development and T cell activation, and NK cell activation (1,2). The immunological synapse forms upon T cell-APC engagement and creates a contact zone of supramolecule activation clusters (SMACs) where CD2-CD58 is part of the central SMAC (cSMAC) (2).

The CD2-CD58 interaction has been shown to play a role in anti-tumor immune response, where reduced CD58 signaling is associated with immune escape of tumor cells in various hematological and lymphoid malignancies, but restoration of the signal promotes an anti-tumor response (2,5). Additionally, following cytomegalovirus (CMV) infection, CD2's binding to upregulated CD58 on CMV-infected cells is crucial for the activation and function of adaptive NK cells in the anti-viral response (2). In contrast, in situations where there is an increase in T cell and NK cell activation, like various autoimmune disorders or following organ transplant, costimulatory blockade of CD2-CD58 may be a potential therapeutic treatment approach (1). Mouse and rat xenograft models have shown that blocking the CD2 using anti-CD2 monoclonal antibodies contributes to graft survival and protects against lymphocyte infiltration and inflammatory damage (2).

References

1. Binder C, Cvetkovski F, Sellberg F, et al. CD2 Immunobiology. Front Immunol. 2020;11:1090. https://doi.org/10.3389/fimmu.2020.01090

2. Zhang Y, Liu Q, Yang S, Liao Q. CD58 Immunobiology at a Glance. Front Immunol. 2021;12:705260. https://doi.org/10.3389/fimmu.2021.705260

3. Uniprot (P06729)

4. van der Merwe PA. A subtle role for CD2 in T cell antigen recognition. J Exp Med. 1999;190(10):1371-1374. https://doi.org/10.1084/jem.190.10.1371

5. Nishikori M, Kitawaki T, Tashima M, Shimazu Y, Mori M, et al. Diminished CD2 Expression in T cells Permits Tumor Immune Escape. J Clin Cell Immunol. 2016;7:406. https://doi.org/10.4172/2155-9899.1000406

Alternate Names

CD2, LFA-2, T11

Gene Symbol

CD2

Additional CD2 Products

Product Documents for CD2 Antibody (3D1E3) - BSA Free

Certificate of Analysis

To download a Certificate of Analysis, please enter a lot number in the search box below.

Product Specific Notices for CD2 Antibody (3D1E3) - BSA Free

This product is for research use only and is not approved for use in humans or in clinical diagnosis. Primary Antibodies are guaranteed for 1 year from date of receipt.

Loading...
Loading...
Loading...
Loading...
Loading...