Skip to main content

CD1d Antibody (1E3) - BSA Free

Novus Biologicals, part of Bio-Techne | Catalog # NBP3-42939

Novus Biologicals, part of Bio-Techne
Catalog #
Availability
Size / Price
Qty
Loading...
NBP3-42939

Key Product Details

Species Reactivity

Human

Applications

ELISA, Immunohistochemistry, Western Blot

Label

Unconjugated

Antibody Source

Monoclonal Mouse IgG1 Clone # 1E3

Format

BSA Free

Concentration

Please see the vial label for concentration. If unlisted please contact technical services.

Product Specifications

Immunogen

CD1d molecule - (Uniprot# P15813)

Clonality

Monoclonal

Host

Mouse

Isotype

IgG1

Description

Novus Biologicals Mouse CD1d Antibody (1E3) - BSA Free (NBP3-42939) is a monoclonal antibody validated for use in IHC, WB and ELISA. All Novus Biologicals antibodies are covered by our 100% guarantee.

Scientific Data Images for CD1d Antibody (1E3) - BSA Free

CD1d Antibody (1E3)

Western Blot: CD1d Antibody (1E3) [NBP3-42939] -

Western Blot: CD1d Antibody (1E3) [NBP3-42939] - human testis tissue were subjected to SDS PAGE followed by western blot with (CD1d Antibody) at dilution of 1:1000
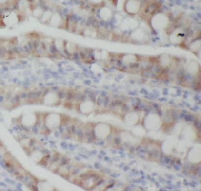
CD1d Antibody (1E3)

Immunohistochemistry: CD1d Antibody (1E3) [NBP3-42939] -

Immunohistochemistry: CD1d Antibody (1E3) [NBP3-42939] - Immunohistochemistry of paraffin-embedded human small intestine tissue slide using (CD1d Antibody) at dilution of 1:200

Applications for CD1d Antibody (1E3) - BSA Free

Application
Recommended Usage

Immunohistochemistry

1:20 - 1:200

Western Blot

1:500 - 1:2000

Formulation, Preparation, and Storage

Purification

Protein A or G purified

Formulation

PBS (pH 7.3), 50% glycerol

Format

BSA Free

Preservative

0.02% Sodium Azide

Concentration

Please see the vial label for concentration. If unlisted please contact technical services.

Shipping

The product is shipped with polar packs. Upon receipt, store it immediately at the temperature recommended below.

Stability & Storage

Store at -20C. Avoid freeze-thaw cycles.

Background: CD1d

CD1d is a 335 amino acid member of the CD1 family of glycoproteins. CD1d is an antigen-presenting protein that binds self and non-self glycolipids and presents them to T-cell receptors on natural killer T-cells. CD1 transmembrane glycoproteins are structurally related to major histocombatibility complex (MHC) proteins and they form dimers with beta-2-microglobulin. They are considered non-classical MHC proteins and CD1d is the only member of group 2 CD1 molecules. Diseases related to CD1d include susceptibility to infections such as tuberculosis and malaria, hypersensitivity reaction type II disease, multiple sclerosis, myocarditis, diabetes mellitus, rheumatoid arthritis, asthma and atherosclerosis.

Alternate Names

CD1d, R3, R3G1

Gene Symbol

CD1D

Additional CD1d Products

Product Documents for CD1d Antibody (1E3) - BSA Free

Certificate of Analysis

To download a Certificate of Analysis, please enter a lot number in the search box below.

Product Specific Notices for CD1d Antibody (1E3) - BSA Free

This product is for research use only and is not approved for use in humans or in clinical diagnosis. Primary Antibodies are guaranteed for 1 year from date of receipt.

Loading...
Loading...
Loading...
Loading...
Loading...