Skip to main content

CD1c/BDCA-1 Antibody (2A7C11) - BSA Free

Novus Biologicals, part of Bio-Techne | Catalog # NBP2-61726

Novus Biologicals, part of Bio-Techne
Catalog #
Availability
Size / Price
Qty
Loading...
NBP2-61726
NBP2-61726-0.025ml

Key Product Details

Species Reactivity

Human

Applications

Immunohistochemistry, Immunohistochemistry-Paraffin, Western Blot, ELISA, Flow Cytometry

Label

Unconjugated

Antibody Source

Monoclonal Mouse IgG2B Clone # 2A7C11

Format

BSA Free

Concentration

1 mg/ml

Product Specifications

Immunogen

Purified recombinant fragment of human CD1c/BDCA-1 (AA: extra 18-302) expressed in E. Coli.

Clonality

Monoclonal

Host

Mouse

Isotype

IgG2B

Theoretical MW

37.7 kDa.
Disclaimer note: The observed molecular weight of the protein may vary from the listed predicted molecular weight due to post translational modifications, post translation cleavages, relative charges, and other experimental factors.

Description

Novus Biologicals Mouse CD1c/BDCA-1 Antibody (2A7C11) - BSA Free (NBP2-61726) is a monoclonal antibody validated for use in IHC, WB, ELISA and Flow. All Novus Biologicals antibodies are covered by our 100% guarantee.

Scientific Data Images for CD1c/BDCA-1 Antibody (2A7C11) - BSA Free

Western Blot: CD1c/BDCA-1 Antibody (2A7C11)BSA Free [NBP2-61726]

Western Blot: CD1c/BDCA-1 Antibody (2A7C11)BSA Free [NBP2-61726]

Western Blot: CD1c/BDCA-1 Antibody (2A7C11) [NBP2-61726] - Analysis using CD1C mAb against human CD1C (AA: extra 18-302) recombinant protein. (Expected MW is 58.1 kDa)
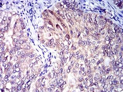
Immunohistochemistry-Paraffin: CD1c/BDCA-1 Antibody (2A7C11) - BSA Free [NBP2-61726]

Immunohistochemistry-Paraffin: CD1c/BDCA-1 Antibody (2A7C11) - BSA Free [NBP2-61726]

Immunohistochemistry-Paraffin: CD1c/BDCA-1 Antibody (2A7C11) [NBP2-61726] - Analysis of cervical cancer tissues using CD1C mouse mAb with DAB staining.
Flow Cytometry: CD1c/BDCA-1 Antibody (2A7C11) - BSA Free [NBP2-61726]

Flow Cytometry: CD1c/BDCA-1 Antibody (2A7C11) - BSA Free [NBP2-61726]

Flow Cytometry: CD1c/BDCA-1 Antibody (2A7C11) [NBP2-61726] - Analysis of Ramos cells using CD1C mouse mAb (green) and negative control (red).

Applications for CD1c/BDCA-1 Antibody (2A7C11) - BSA Free

Application
Recommended Usage

ELISA

1:100-1:2000

Flow Cytometry

1:10-1:1000

Immunohistochemistry

1:10-1:1000

Immunohistochemistry-Paraffin

1:200 - 1:1000

Western Blot

1:100-1:2000

Formulation, Preparation, and Storage

Purification

Protein G purified

Formulation

PBS

Format

BSA Free

Preservative

0.05% Sodium Azide

Concentration

1 mg/ml

Shipping

The product is shipped with polar packs. Upon receipt, store it immediately at the temperature recommended below.

Stability & Storage

Store at 4C short term. Aliquot and store at -20C long term. Avoid freeze-thaw cycles.

Background: CD1c/BDCA-1

This gene encodes a member of the CD1 family of transmembrane glycoproteins, which are structurally related to the major histocompatibility complex (MHC) proteins and form heterodimers with beta-2-microglobulin. The CD1 proteins mediate the presentation of primarily lipid and glycolipid antigens of self or microbial origin to T cells. The human genome contains five CD1 family genes organized in a cluster on chromosome 1. The CD1 family members are thought to differ in their cellular localization and specificity for particular lipid ligands. The protein encoded by this gene is broadly distributed throughout the endocytic system via a tyrosine-based motif in the cytoplasmic tail. Alternatively spliced transcript variants of this gene have been observed, but their full-length nature is not known.

Alternate Names

BDCA-1, BDCA1, CD1c, R7

Gene Symbol

CD1C

Additional CD1c/BDCA-1 Products

Product Documents for CD1c/BDCA-1 Antibody (2A7C11) - BSA Free

Certificate of Analysis

To download a Certificate of Analysis, please enter a lot number in the search box below.

Product Specific Notices for CD1c/BDCA-1 Antibody (2A7C11) - BSA Free

This product is for research use only and is not approved for use in humans or in clinical diagnosis. Primary Antibodies are guaranteed for 1 year from date of receipt.

Loading...
Loading...
Loading...
Loading...
Loading...