Skip to main content

CCT5 Antibody - BSA Free

Novus Biologicals, part of Bio-Techne | Catalog # NBP1-83043

Novus Biologicals, part of Bio-Techne
Catalog #
Availability
Size / Price
Qty
Loading...
NBP1-83043

Key Product Details

Validated by

Orthogonal Validation, Independent Antibodies

Species Reactivity

Validated:

Human

Predicted:

Mouse (94%), Rat (95%). Backed by our 100% Guarantee.

Applications

Immunohistochemistry, Immunohistochemistry-Paraffin, Western Blot

Label

Unconjugated

Antibody Source

Polyclonal Rabbit IgG

Format

BSA Free

Concentration

Concentrations vary lot to lot. See vial label for concentration. If unlisted please contact technical services.

Product Specifications

Immunogen

This antibody was developed against Recombinant Protein corresponding to amino acids: LDRGIHPIRIADGYEQAARVAIEHLDKISDSVLVDIKDTEPLIQTAKTTLGSKVVNSCHRQMAEIAVNAVLTVADMERRDVDFELIKVEGKVGGRLEDTKLIKGVIVDKDFSHPQM

Clonality

Polyclonal

Host

Rabbit

Isotype

IgG

Description

Novus Biologicals Rabbit CCT5 Antibody - BSA Free (NBP1-83043) is a polyclonal antibody validated for use in IHC and WB. All Novus Biologicals antibodies are covered by our 100% guarantee.

Scientific Data Images for CCT5 Antibody - BSA Free

Western Blot: CCT5 Antibody [NBP1-83043]

Western Blot: CCT5 Antibody [NBP1-83043]

Western Blot: CCT5 Antibody [NBP1-83043] - Analysis using Anti-CCT5 antibody NBP1-83043 (A) shows similar pattern to independent antibody NBP1-83042 (B).
Immunohistochemistry-Paraffin: CCT5 Antibody [NBP1-83043]

Immunohistochemistry-Paraffin: CCT5 Antibody [NBP1-83043]

Immunohistochemistry-Paraffin: CCT5 Antibody [NBP1-83043] - Staining of human cerebral cortex.
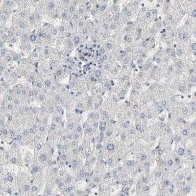
Immunohistochemistry-Paraffin: CCT5 Antibody [NBP1-83043]

Immunohistochemistry-Paraffin: CCT5 Antibody [NBP1-83043]

Immunohistochemistry-Paraffin: CCT5 Antibody [NBP1-83043] - Staining of human liver shows low expression as expected.

Applications for CCT5 Antibody - BSA Free

Application
Recommended Usage

Immunohistochemistry

1:20 - 1:50

Immunohistochemistry-Paraffin

1:20 - 1:50

Western Blot

0.04-0.4 ug/ml
Application Notes
For IHC-Paraffin, HIER pH 6 retrieval is recommended.

Formulation, Preparation, and Storage

Purification

Immunogen affinity purified

Formulation

PBS (pH 7.2) and 40% Glycerol

Format

BSA Free

Preservative

0.02% Sodium Azide

Concentration

Concentrations vary lot to lot. See vial label for concentration. If unlisted please contact technical services.

Shipping

The product is shipped with polar packs. Upon receipt, store it immediately at the temperature recommended below.

Stability & Storage

Store at 4C short term. Aliquot and store at -20C long term. Avoid freeze-thaw cycles.

Background: CCT5

CCT5 encodes a molecular chaperone that is member of the chaperonin containing TCP1 complex (CCT), also known as the TCP1 ring complex (TRiC). This complex consists of two identical stacked rings, each containing eight different proteins. Unfolded polypeptides enter the central cavity of the complex and are folded in an ATP-dependent manner. The complex folds various proteins, including actin and tubulin. Alternate transcriptional splice variants of this gene have been observed but have not been thoroughly characterized.

Alternate Names

chaperonin containing TCP1, subunit 5 (epsilon), epsilon subunit

Gene Symbol

CCT5

Additional CCT5 Products

Product Documents for CCT5 Antibody - BSA Free

Certificate of Analysis

To download a Certificate of Analysis, please enter a lot number in the search box below.

Product Specific Notices for CCT5 Antibody - BSA Free

This product is for research use only and is not approved for use in humans or in clinical diagnosis. Primary Antibodies are guaranteed for 1 year from date of receipt.

Loading...
Loading...
Loading...
Loading...