Skip to main content

CCT5 Antibody - BSA Free

Novus Biologicals, part of Bio-Techne | Catalog # NBP1-31337

Novus Biologicals, part of Bio-Techne
Catalog #
Availability
Size / Price
Qty
Loading...
NBP1-31337

Key Product Details

Validated by

Knockout/Knockdown

Species Reactivity

Validated:

Human, Mouse, Zebrafish

Predicted:

Monkey (100%). Backed by our 100% Guarantee.

Applications

Immunohistochemistry, Immunohistochemistry-Paraffin, Western Blot, Immunocytochemistry/ Immunofluorescence

Label

Unconjugated

Antibody Source

Polyclonal Rabbit IgG

Format

BSA Free

Concentration

Concentrations vary lot to lot. See vial label for concentration. If unlisted please contact technical services.

Product Specifications

Immunogen

Recombinant protein encompassing a sequence within the center region of human CCT5. The exact sequence is proprietary.

Reactivity Notes

Immunogen displays the following percentage of sequence identity for non-tested species: Rhesus Monkey (100%).

Localization

Cytoplasm

Clonality

Polyclonal

Host

Rabbit

Isotype

IgG

Description

Novus Biologicals Rabbit CCT5 Antibody - BSA Free (NBP1-31337) is a polyclonal antibody validated for use in IHC, WB and ICC/IF. All Novus Biologicals antibodies are covered by our 100% guarantee.

Scientific Data Images for CCT5 Antibody - BSA Free

Western Blot: CCT5 Antibody [NBP1-31337]

Western Blot: CCT5 Antibody [NBP1-31337]

Western Blot: CCT5 Antibody [NBP1-31337] - Non-transfected (-) and transfected (+) 293T whole cell extracts (30 ug) were separated by 7.5% SDS-PAGE, and the membrane was blotted with TCP1 epsilon antibody [N1N3].
Immunocytochemistry/ Immunofluorescence: CCT5 Antibody [NBP1-31337]

Immunocytochemistry/ Immunofluorescence: CCT5 Antibody [NBP1-31337]

Immunocytochemistry/Immunofluorescence: CCT5 Antibody [NBP1-31337] - Analysis of HeLa, using NBP1-31337 at 1:200 dilution.
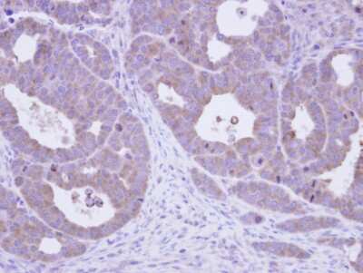
Immunohistochemistry-Paraffin: CCT5 Antibody [NBP1-31337]

Immunohistochemistry-Paraffin: CCT5 Antibody [NBP1-31337]

Immunohistochemistry-Paraffin: CCT5 Antibody [NBP1-31337] - Paraffin-embedded NCIN87 xenograft, using antibody at 1:500 dilution.

Applications for CCT5 Antibody - BSA Free

Application
Recommended Usage

Immunocytochemistry/ Immunofluorescence

1:100-1:1000

Immunohistochemistry

10 - 1:500

Immunohistochemistry-Paraffin

1:100-1:1000

Western Blot

1:500-1:10000

Formulation, Preparation, and Storage

Purification

Antigen Affinity-purified

Formulation

0.1M Tris, 0.1M Glycine, 10% Glycerol

Format

BSA Free

Preservative

0.01% Thimerosal

Concentration

Concentrations vary lot to lot. See vial label for concentration. If unlisted please contact technical services.

Shipping

The product is shipped with polar packs. Upon receipt, store it immediately at the temperature recommended below.

Stability & Storage

Aliquot and store at -20C or -80C. Avoid freeze-thaw cycles.

Background: CCT5

This gene encodes a molecular chaperone that is member of the chaperonin containing TCP1 complex (CCT), also known as the TCP1 ring complex (TRiC). This complex consists of two identical stacked rings, each containing eight different proteins. Unfolded polypeptides enter the central cavity of the complex and are folded in an ATP-dependent manner. The complex folds various proteins, including actin and tubulin. Alternate transcriptional splice variants of this gene have been observed but have not been thoroughly characterized.

Alternate Names

chaperonin containing TCP1, subunit 5 (epsilon), epsilon subunit

Gene Symbol

CCT5

Additional CCT5 Products

Product Documents for CCT5 Antibody - BSA Free

Certificate of Analysis

To download a Certificate of Analysis, please enter a lot number in the search box below.

Product Specific Notices for CCT5 Antibody - BSA Free

This product is for research use only and is not approved for use in humans or in clinical diagnosis. Primary Antibodies are guaranteed for 1 year from date of receipt.

Loading...
Loading...
Loading...
Loading...

⚠ WARNING: This product can expose you to chemicals including mercury, which is known to the State of California to cause reproductive toxicity with developmental effects.  For more information go to www.P65Warnings.ca.gov.