Skip to main content

CCNK Antibody - BSA Free

Novus Biologicals, part of Bio-Techne | Catalog # NBP1-06519

Novus Biologicals, part of Bio-Techne

Key Product Details

Validated by

Independent Antibodies

Species Reactivity

Validated:

Human, Mouse

Cited:

Human

Applications

Validated:

Immunohistochemistry, Immunohistochemistry-Paraffin, Western Blot, Immunoprecipitation

Cited:

Western Blot

Label

Unconjugated

Antibody Source

Polyclonal Rabbit IgG

Format

BSA Free

Concentration

1.0 mg/ml

Product Specifications

Immunogen

The immunogen recognized by this antibody maps to a region between residue 530 and 580 of human cyclin K using the numbering given in entry NP_001092872.1 (GeneID 8812).

Clonality

Polyclonal

Host

Rabbit

Isotype

IgG

Scientific Data Images for CCNK Antibody - BSA Free

Western Blot: CCNK Antibody [NBP1-06519]

Western Blot: CCNK Antibody [NBP1-06519]

Western Blot: CCNK Antibody [NBP1-06519] - Whole cell lysate (50 ug) from NIH 3T3, CH27, TCMK-1, BW5147.3, and CT26 cells prepared using NETN lysis buffer. Antibody: Affinity purified rabbit anti-Cyclin Kantibody used for WB at 0.04 ug/ml. Detection: Chemiluminescence with an exposure time of 30 seconds.
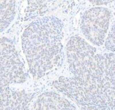
Immunohistochemistry-Paraffin: CCNK Antibody [NBP1-06519]

Immunohistochemistry-Paraffin: CCNK Antibody [NBP1-06519]

Immunohistochemistry-Paraffin: CCNK Antibody [NBP1-06519] - Affinity purified rabbit anti-Cyclin K used at a dilution of 1:5,000 (0.2 ug/ml). Detection: DAB
Western Blot: CCNK Antibody [NBP1-06519]

Western Blot: CCNK Antibody [NBP1-06519]

Western Blot: CCNK Antibody [NBP1-06519] - Whole cell lysate (50 ug) from HEK293T, MCF-7, Jurkat, HeLa, and Hep-G2 cells prepared using NETN lysis buffer. Antibody: Affinity purified rabbit anti-Cyclin K antibody used for WB at 0.04 ug/ml. Detection: Chemiluminescence with an exposure time of 75 seconds.

Applications for CCNK Antibody - BSA Free

Application
Recommended Usage

Immunohistochemistry

1:1000 - 1:5000

Immunohistochemistry-Paraffin

1:1000 - 1:5000

Immunoprecipitation

2 -10 ug/mg lysate

Western Blot

1:2000-1:10000
Application Notes
Epitope retrieval with citrate buffer pH6.0 is recommended for FFPE tissue sections.

Formulation, Preparation, and Storage

Purification

Immunogen affinity purified

Formulation

Tris-Citrate/Phosphate (pH 7.0 - 8.0)

Format

BSA Free

Preservative

0.09% Sodium Azide

Concentration

1.0 mg/ml

Shipping

The product is shipped with polar packs. Upon receipt, store it immediately at the temperature recommended below.

Stability & Storage

Store at 4C. Do not freeze.

Background: Cyclin K/CCNK

The protein encoded by this gene is a member of the transcription cyclin family. These cyclins may regulate transcription through their association with and activation of cyclin-dependent kinases (CDK) that phosphorylate the C-terminal domain (CTD) of the large subunit of RNA polymerase II. This gene product may play a dual role in regulating CDK and RNA polymerase II activities. [provided by RefSeq]

Long Name

Cyclin K

Alternate Names

CCNK, CPR4, IDDHDF

Entrez Gene IDs

8812 (Human)

Gene Symbol

CCNK

UniProt

Additional Cyclin K/CCNK Products

Product Documents for CCNK Antibody - BSA Free

Certificate of Analysis

To download a Certificate of Analysis, please enter a lot number in the search box below.

Product Specific Notices for CCNK Antibody - BSA Free

This product is for research use only and is not approved for use in humans or in clinical diagnosis. Primary Antibodies are guaranteed for 1 year from date of receipt.

Loading...
Loading...
Loading...
Loading...