Skip to main content

CCDC76 Antibody - BSA Free

Novus Biologicals, part of Bio-Techne | Catalog # NBP1-84643

Novus Biologicals, part of Bio-Techne
Catalog #
Availability
Size / Price
Qty
Loading...
NBP1-84643
NBP1-84643-25ul

Key Product Details

Species Reactivity

Human

Applications

Immunohistochemistry, Immunohistochemistry-Paraffin, Western Blot

Label

Unconjugated

Antibody Source

Polyclonal Rabbit IgG

Format

BSA Free

Concentration

Concentrations vary lot to lot. See vial label for concentration. If unlisted please contact technical services.

Product Specifications

Immunogen

This antibody was developed against Recombinant Protein corresponding to amino acids: NSVFERLQIDIQHLCLNKIPVLREEKLPVVGIGKHLCGMATDLALRCLVETYAASFEERNEEPLAKRIKNDKTEKEIYTLAKEGNEKNVPEKWNPVAGIVIAL

Reactivity Notes

Immunogen displays the following percentage of sequence identity for non-tested species: Mouse (85%), Rat (84%)

Clonality

Polyclonal

Host

Rabbit

Isotype

IgG

Description

Novus Biologicals Rabbit CCDC76 Antibody - BSA Free (NBP1-84643) is a polyclonal antibody validated for use in IHC and WB. All Novus Biologicals antibodies are covered by our 100% guarantee.

Scientific Data Images for CCDC76 Antibody - BSA Free

Western Blot: CCDC76 Antibody [NBP1-84643]

Western Blot: CCDC76 Antibody [NBP1-84643]

Western Blot: CCDC76 Antibody [NBP1-84643] - Lane 1: Marker [kDa] 230, 130, 95, 72, 56, 36, 28, 17, 11. Lane 2: Human cell line RT-4. Lane 3: Human cell line U-251MG sp
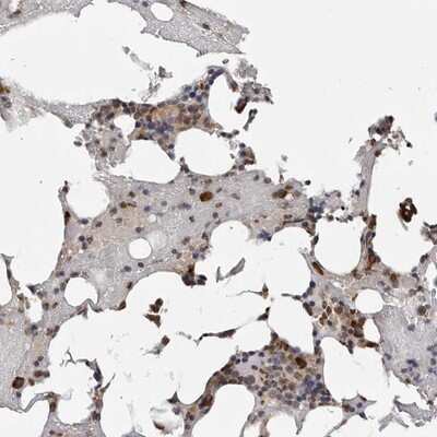
Immunohistochemistry-Paraffin: CCDC76 Antibody [NBP1-84643]

Immunohistochemistry-Paraffin: CCDC76 Antibody [NBP1-84643]

Immunohistochemistry-Paraffin: CCDC76 Antibody [NBP1-84643] - Staining of human bone marrow shows strong cytoplasmic and nuclear positivity in bone marrow poietic cells.

Applications for CCDC76 Antibody - BSA Free

Application
Recommended Usage

Immunohistochemistry

1:50 - 1:200

Immunohistochemistry-Paraffin

1:50 - 1:200

Western Blot

0.04-0.4 ug/ml
Application Notes
For IHC-Paraffin, HIER pH 6 retrieval is recommended.

Formulation, Preparation, and Storage

Purification

Immunogen affinity purified

Formulation

PBS (pH 7.2) and 40% Glycerol

Format

BSA Free

Preservative

0.02% Sodium Azide

Concentration

Concentrations vary lot to lot. See vial label for concentration. If unlisted please contact technical services.

Shipping

The product is shipped with polar packs. Upon receipt, store it immediately at the temperature recommended below.

Stability & Storage

Store at 4C short term. Aliquot and store at -20C long term. Avoid freeze-thaw cycles.

Background: CCDC76

Specifically methylates guanosine-4 in various tRNAs with a Gly(CCG), His or Pro signature

Alternate Names

coiled-coil domain containing 76, Coiled-coil domain-containing protein 76, EC 2.1.1.-, FLJ10287, FLJ11219, tRNA [Gm4] methyltransferase, tRNA guanosine-2'-O-methyltransferase TRM13 homolog

Gene Symbol

TRMT13

Additional CCDC76 Products

Product Documents for CCDC76 Antibody - BSA Free

Certificate of Analysis

To download a Certificate of Analysis, please enter a lot number in the search box below.

Product Specific Notices for CCDC76 Antibody - BSA Free

This product is for research use only and is not approved for use in humans or in clinical diagnosis. Primary Antibodies are guaranteed for 1 year from date of receipt.

Loading...
Loading...
Loading...
Loading...