Skip to main content

CCDC43 Antibody - BSA Free

Novus Biologicals, part of Bio-Techne | Catalog # NBP1-83536

Novus Biologicals, part of Bio-Techne
Catalog #
Availability
Size / Price
Qty
Loading...
NBP1-83536-25ul
NBP1-83536

Key Product Details

Species Reactivity

Human

Applications

Immunohistochemistry, Immunohistochemistry-Paraffin, Western Blot, Immunocytochemistry/ Immunofluorescence, Knockdown Validated

Label

Unconjugated

Antibody Source

Polyclonal Rabbit IgG

Format

BSA Free

Concentration

Concentrations vary lot to lot. See vial label for concentration. If unlisted please contact technical services.

Product Specifications

Immunogen

This antibody was developed against Recombinant Protein corresponding to amino acids: SGATTMNIGSDKLLFRNTNVEDVLNARKLERDSLRDESQRKKEQDKLQRERDKLAKQERKE

Clonality

Polyclonal

Host

Rabbit

Isotype

IgG

Description

Novus Biologicals Rabbit CCDC43 Antibody - BSA Free (NBP1-83536) is a polyclonal antibody validated for use in IHC, WB and ICC/IF. All Novus Biologicals antibodies are covered by our 100% guarantee.

Scientific Data Images for CCDC43 Antibody - BSA Free

Immunocytochemistry/ Immunofluorescence: CCDC43 Antibody [NBP1-83536]

Immunocytochemistry/ Immunofluorescence: CCDC43 Antibody [NBP1-83536]

Immunocytochemistry/Immunofluorescence: CCDC43 Antibody [NBP1-83536] - Staining of human cell line U-2 OS shows localization to cytosol. Antibody staining is shown in green.
CCDC43 Antibody - BSA Free Western Blot: CCDC43 Antibody - BSA Free [NBP1-83536]

Western Blot: CCDC43 Antibody - BSA Free [NBP1-83536]

Analysis in human cell line RH-30.
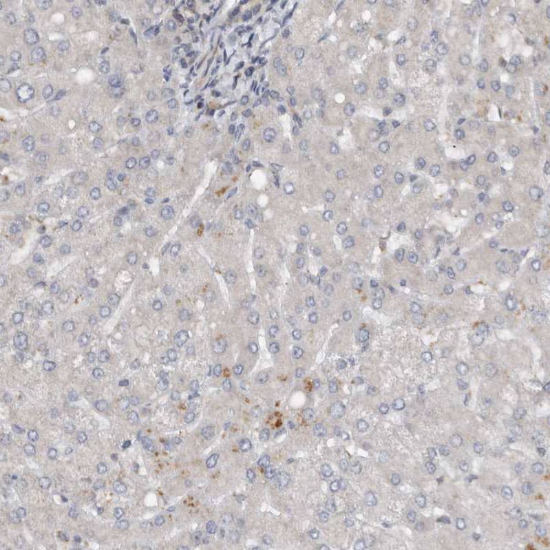
CCDC43 Antibody - BSA Free Immunohistochemistry-Paraffin: CCDC43 Antibody - BSA Free [NBP1-83536]

Immunohistochemistry-Paraffin: CCDC43 Antibody - BSA Free [NBP1-83536]

Staining of human liver shows no positivity in hepatocytes as expected.

Applications for CCDC43 Antibody - BSA Free

Application
Recommended Usage

Immunocytochemistry/ Immunofluorescence

0.25-2 ug/ml

Immunohistochemistry

1:500 - 1:1000

Immunohistochemistry-Paraffin

1:500 - 1:1000

Western Blot

0.04-0.4 ug/ml
Application Notes
For IHC-Paraffin, HIER pH 6 retrieval is recommended. ICC/IF Fixation Permeabilization: Use PFA/Triton X-100.

Formulation, Preparation, and Storage

Purification

Immunogen affinity purified

Formulation

PBS (pH 7.2) and 40% Glycerol

Format

BSA Free

Preservative

0.02% Sodium Azide

Concentration

Concentrations vary lot to lot. See vial label for concentration. If unlisted please contact technical services.

Shipping

The product is shipped with polar packs. Upon receipt, store it immediately at the temperature recommended below.

Stability & Storage

Store at 4C short term. Aliquot and store at -20C long term. Avoid freeze-thaw cycles.

Background: CCDC43

CCDC43 is a coiled-coil domain containing protein of unknown function.

Alternate Names

coiled-coil domain containing 43, coiled-coil domain-containing protein 43, FLJ31795

Gene Symbol

CCDC43

Additional CCDC43 Products

Product Documents for CCDC43 Antibody - BSA Free

Certificate of Analysis

To download a Certificate of Analysis, please enter a lot number in the search box below.

Product Specific Notices for CCDC43 Antibody - BSA Free

This product is for research use only and is not approved for use in humans or in clinical diagnosis. Primary Antibodies are guaranteed for 1 year from date of receipt.

Loading...
Loading...
Loading...
Loading...