Skip to main content

CCDC19 Antibody - BSA Free

Novus Biologicals, part of Bio-Techne | Catalog # NBP1-91758

Novus Biologicals, part of Bio-Techne
Catalog #
Availability
Size / Price
Qty
Loading...
NBP1-91758-25ul
NBP1-91758

Key Product Details

Validated by

Orthogonal Validation

Species Reactivity

Validated:

Human

Predicted:

Rat (90%). Backed by our 100% Guarantee.

Applications

Immunohistochemistry, Immunohistochemistry-Paraffin, Western Blot, Immunocytochemistry/ Immunofluorescence

Label

Unconjugated

Antibody Source

Polyclonal Rabbit IgG

Format

BSA Free

Concentration

Concentrations vary lot to lot. See vial label for concentration. If unlisted please contact technical services.

Product Specifications

Immunogen

This antibody was developed against Recombinant Protein corresponding to amino acids: KEATMDAVMTRKKIMKQKEMVWNNNKKLSDLEEVAKERAQNLLQRANKLRMEQEEELKDMSKIILNAKCHAIRDAQILEKQQI

Reactivity Notes

Immunogen displays the following percentage of sequence identity for non-tested species: Mouse (89%)

Clonality

Polyclonal

Host

Rabbit

Isotype

IgG

Description

Novus Biologicals Rabbit CCDC19 Antibody - BSA Free (NBP1-91758) is a polyclonal antibody validated for use in IHC, WB and ICC/IF. All Novus Biologicals antibodies are covered by our 100% guarantee.

Scientific Data Images for CCDC19 Antibody - BSA Free

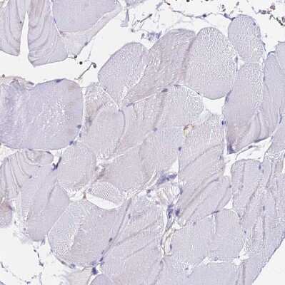
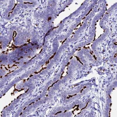
Immunohistochemistry-Paraffin: CCDC19 Antibody [NBP1-91758]

Immunohistochemistry-Paraffin: CCDC19 Antibody [NBP1-91758]

Immunohistochemistry-Paraffin: CCDC19 Antibody [NBP1-91758] - Staining in human fallopian tube and skeletal muscle tissues using NBP1-91758 antibody. Corresponding CFAP45 RNA-seq data are presented for the same tissues.
Western Blot: CCDC19 Antibody [NBP1-91758]

Western Blot: CCDC19 Antibody [NBP1-91758]

Western Blot: CCDC19 Antibody [NBP1-91758] - Analysis in human cell line U-87 MG.
Immunocytochemistry/ Immunofluorescence: CCDC19 Antibody [NBP1-91758]

Immunocytochemistry/ Immunofluorescence: CCDC19 Antibody [NBP1-91758]

Immunocytochemistry/Immunofluorescence: CCDC19 Antibody [NBP1-91758] - Immunofluorescent staining of human cell line A-431 shows localization to nucleoplasm.

Applications for CCDC19 Antibody - BSA Free

Application
Recommended Usage

Immunocytochemistry/ Immunofluorescence

0.25-2 ug/ml

Immunohistochemistry

1:200 - 1:500

Immunohistochemistry-Paraffin

1:200-1:500

Western Blot

0.04 - 0.4 ug/ml
Application Notes
For IHC-Paraffin, HIER pH 6 retrieval is recommended. ICC/IF, Fixation Permeabilization: Use PFA/Triton X-100.

Formulation, Preparation, and Storage

Purification

Immunogen affinity purified

Formulation

PBS (pH 7.2) and 40% Glycerol

Format

BSA Free

Preservative

0.02% Sodium Azide

Concentration

Concentrations vary lot to lot. See vial label for concentration. If unlisted please contact technical services.

Shipping

The product is shipped with polar packs. Upon receipt, store it immediately at the temperature recommended below.

Stability & Storage

Store at 4C short term. Aliquot and store at -20C long term. Avoid freeze-thaw cycles.

Background: CCDC19

Alternate Names

coiled-coil domain containing 19, coiled-coil domain-containing protein 19, mitochondrial, nasopharyngeal epithelium specific protein 1 (NESG1), NESG1Nasopharyngeal epithelium-specific protein 1

Gene Symbol

CCDC19

Additional CCDC19 Products

Product Documents for CCDC19 Antibody - BSA Free

Certificate of Analysis

To download a Certificate of Analysis, please enter a lot number in the search box below.

Product Specific Notices for CCDC19 Antibody - BSA Free

This product is for research use only and is not approved for use in humans or in clinical diagnosis. Primary Antibodies are guaranteed for 1 year from date of receipt.

Loading...
Loading...
Loading...
Loading...