Skip to main content

CCDC17 Antibody - BSA Free

Novus Biologicals, part of Bio-Techne | Catalog # NBP1-93860

Novus Biologicals, part of Bio-Techne
Catalog #
Availability
Size / Price
Qty
Loading...
NBP1-93860
NBP1-93860-25ul

Key Product Details

Validated by

Orthogonal Validation

Species Reactivity

Human

Applications

Immunohistochemistry, Immunohistochemistry-Paraffin

Label

Unconjugated

Antibody Source

Polyclonal Rabbit IgG

Format

BSA Free

Concentration

Concentrations vary lot to lot. See vial label for concentration. If unlisted please contact technical services.

Product Specifications

Immunogen

This antibody was developed against Recombinant Protein corresponding to amino acids: REAELYSPVQKANPGTLAAEIRALREAYIRDGGRDPGVLGQIWQLQVEASALELQRSQTRRGRAGATSGELPVVEAENRRLEAEILALQMQR

Clonality

Polyclonal

Host

Rabbit

Isotype

IgG

Description

Novus Biologicals Rabbit CCDC17 Antibody - BSA Free (NBP1-93860) is a polyclonal antibody validated for use in IHC. All Novus Biologicals antibodies are covered by our 100% guarantee.

Scientific Data Images for CCDC17 Antibody - BSA Free

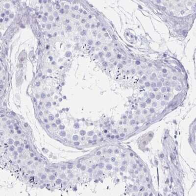
Immunohistochemistry-Paraffin: CCDC17 Antibody [NBP1-93860]

Immunohistochemistry-Paraffin: CCDC17 Antibody [NBP1-93860]

Immunohistochemistry-Paraffin: CCDC17 Antibody [NBP1-93860] - Staining in human fallopian tube and testis tissues using anti-CCDC17 antibody. Corresponding CCDC17 RNA-seq data are presented for the same tissues.
Immunohistochemistry-Paraffin: CCDC17 Antibody [NBP1-93860]

Immunohistochemistry-Paraffin: CCDC17 Antibody [NBP1-93860]

Immunohistochemistry-Paraffin: CCDC17 Antibody [NBP1-93860] - Staining of human breast shows strong cytoplasmic positivity in glandular cells.
Immunohistochemistry-Paraffin: CCDC17 Antibody [NBP1-93860]

Immunohistochemistry-Paraffin: CCDC17 Antibody [NBP1-93860]

Immunohistochemistry-Paraffin: CCDC17 Antibody [NBP1-93860] - Staining of human fallopian tube shows high expression.

Applications for CCDC17 Antibody - BSA Free

Application
Recommended Usage

Immunohistochemistry

1:50 - 1:200

Immunohistochemistry-Paraffin

1:50 - 1:200
Application Notes
For IHC-Paraffin, HIER pH 6 retrieval is recommended.

Formulation, Preparation, and Storage

Purification

Immunogen affinity purified

Formulation

PBS (pH 7.2) and 40% Glycerol

Format

BSA Free

Preservative

0.02% Sodium Azide

Concentration

Concentrations vary lot to lot. See vial label for concentration. If unlisted please contact technical services.

Shipping

The product is shipped with polar packs. Upon receipt, store it immediately at the temperature recommended below.

Stability & Storage

Store at 4C short term. Aliquot and store at -20C long term. Avoid freeze-thaw cycles.

Background: CCDC17

Alternate Names

coiled-coil domain containing 17

Gene Symbol

CCDC17

Additional CCDC17 Products

Product Documents for CCDC17 Antibody - BSA Free

Certificate of Analysis

To download a Certificate of Analysis, please enter a lot number in the search box below.

Product Specific Notices for CCDC17 Antibody - BSA Free

This product is for research use only and is not approved for use in humans or in clinical diagnosis. Primary Antibodies are guaranteed for 1 year from date of receipt.

Loading...
Loading...
Loading...
Loading...