Skip to main content

CCDC144A Antibody - BSA Free

Novus Biologicals, part of Bio-Techne | Catalog # NBP3-17075

Novus Biologicals, part of Bio-Techne
Catalog #
Availability
Size / Price
Qty
Loading...
NBP3-17075-100ul
NBP3-17075-25ul

Key Product Details

Species Reactivity

Human

Applications

Immunohistochemistry, Immunohistochemistry-Paraffin

Label

Unconjugated

Antibody Source

Polyclonal Rabbit IgG

Format

BSA Free

Concentration

Concentrations vary lot to lot. See vial label for concentration. If unlisted please contact technical services.

Product Specifications

Immunogen

This antibody was developed against Recombinant Protein corresponding to amino acids: ACPEEEPLLDNSTRGTDVKDIPFNLTNNIPGCEEEDASEISVSVVFETFPEQKEPSLKNIIHPYYHPYSGSQEHVCQSSSK

Clonality

Polyclonal

Host

Rabbit

Isotype

IgG

Description

Novus Biologicals Rabbit CCDC144A Antibody - BSA Free (NBP3-17075) is a polyclonal antibody validated for use in IHC. All Novus Biologicals antibodies are covered by our 100% guarantee.

Scientific Data Images for CCDC144A Antibody - BSA Free

Immunocytochemistry/ Immunofluorescence: CCDC144A Antibody [NBP3-17075]

Immunocytochemistry/ Immunofluorescence: CCDC144A Antibody [NBP3-17075]

Immunocytochemistry/Immunofluorescence: CCDC144A Antibody [NBP3-17075] - Analysis in human testis and duodenum tissues using Anti-CCDC144A antibody. Corresponding CCDC144A RNA-seq data are presented for the same tissues.
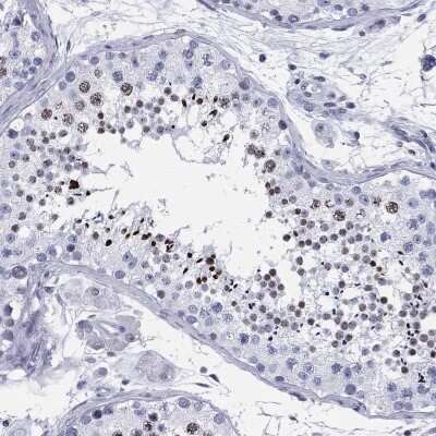
Immunohistochemistry-Paraffin: CCDC144A Antibody [NBP3-17075]

Immunohistochemistry-Paraffin: CCDC144A Antibody [NBP3-17075]

Immunohistochemistry-Paraffin: CCDC144A Antibody [NBP3-17075] - Staining of human duodenum shows low expression as expected.
Immunohistochemistry-Paraffin: CCDC144A Antibody [NBP3-17075]

Immunohistochemistry-Paraffin: CCDC144A Antibody [NBP3-17075]

Immunohistochemistry-Paraffin: CCDC144A Antibody [NBP3-17075] - Staining of human testis shows high expression.

Applications for CCDC144A Antibody - BSA Free

Application
Recommended Usage

Immunohistochemistry

1:1000 - 1:2500

Immunohistochemistry-Paraffin

1:1000 - 1:2500
Application Notes
For IHC-Paraffin, HIER pH 6 retrieval is recommended.

Formulation, Preparation, and Storage

Purification

Affinity purified

Formulation

PBS, pH 7.2, 40% glycerol

Format

BSA Free

Preservative

0.02% Sodium Azide

Concentration

Concentrations vary lot to lot. See vial label for concentration. If unlisted please contact technical services.

Shipping

The product is shipped with polar packs. Upon receipt, store it immediately at the temperature recommended below.

Stability & Storage

Store at 4C short term. Aliquot and store at -20C long term. Avoid freeze-thaw cycles.

Background: CCDC144A

Alternate Names

coiled-coil domain containing 144A, coiled-coil domain-containing protein 144A, FLJ43983

Gene Symbol

CCDC144A

Additional CCDC144A Products

Product Documents for CCDC144A Antibody - BSA Free

Certificate of Analysis

To download a Certificate of Analysis, please enter a lot number in the search box below.

Product Specific Notices for CCDC144A Antibody - BSA Free

This product is for research use only and is not approved for use in humans or in clinical diagnosis. Primary Antibodies are guaranteed for 1 year from date of receipt.

Loading...
Loading...
Loading...
Loading...