Skip to main content

CBX1 Antibody - BSA Free

Novus Biologicals, part of Bio-Techne | Catalog # NBP2-98756

Novus Biologicals, part of Bio-Techne

Key Product Details

Species Reactivity

Human, Mouse

Applications

Immunocytochemistry/ Immunofluorescence, Immunohistochemistry-Paraffin, Immunoprecipitation, Western Blot

Label

Unconjugated

Antibody Source

Polyclonal Rabbit IgG

Format

BSA Free

Concentration

Please see the vial label for concentration. If unlisted please contact technical services.

Product Specifications

Immunogen

Produced in rabbits immunized with a synthetic peptide corresponding to the center region of the Human CBX1.

Clonality

Polyclonal

Host

Rabbit

Isotype

IgG

Description

This antibody can be stored at 2C to 8C for one month without detectable loss of activity. Antibody products are stable for twelve months from date of receipt when stored at -20C to -80C. Avoid repeated freeze-thaw cycles.

Scientific Data Images for CBX1 Antibody - BSA Free

Western Blot: CBX1 Antibody [NBP2-98756]

Western Blot: CBX1 Antibody [NBP2-98756]

Western Blot: CBX1 Antibody [NBP2-98756] - Anti-CBX1 rabbit polyclonal antibody at 1:500 dilution. Lane A: HeLa Whole Cell Lysate. Lane B: MCF7 Whole Cell Lysate. Lane C: A431 Whole Cell Lysate. Lane D: 293T Whole Cell Lysate. Lysates/proteins at 30 ug per lane. Secondary Goat Anti-Rabbit IgG (H+L)/HRP at 1/10000 dilution. Developed using the ECL technique. Performed under reducing conditions. Predicted band size: 21 kDa
Immunohistochemistry-Paraffin: CBX1 Antibody [NBP2-98756]

Immunohistochemistry-Paraffin: CBX1 Antibody [NBP2-98756]

Immunohistochemistry-Paraffin: CBX1 Antibody [NBP2-98756] - Immunochemical staining CBX1 in mouse testis with rabbit polyclonal antibody at 1:1000 dilution, formalin-fixed paraffin embedded sections.
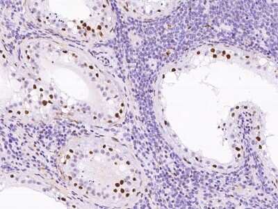
Immunohistochemistry-Paraffin: CBX1 Antibody [NBP2-98756]

Immunohistochemistry-Paraffin: CBX1 Antibody [NBP2-98756]

Immunohistochemistry-Paraffin: CBX1 Antibody [NBP2-98756] - Immunochemical staining CBX1 in human testis with rabbit polyclonal antibody at 1:1000 dilution, formalin-fixed paraffin embedded sections.

Applications for CBX1 Antibody - BSA Free

Application
Recommended Usage

Immunocytochemistry/ Immunofluorescence

1:300-1:10000

Immunohistochemistry-Paraffin

1:500-1:2000

Immunoprecipitation

5-10 uL/mg of lysate

Western Blot

1:500-1:2000

Formulation, Preparation, and Storage

Purification

Antigen and protein A Affinity-purified

Formulation

PBS

Format

BSA Free

Preservative

0.03% Proclin 300

Concentration

Please see the vial label for concentration. If unlisted please contact technical services.

Shipping

The product is shipped with polar packs. Upon receipt, store it immediately at the temperature recommended below.

Stability & Storage

Store at 4C short term. Aliquot and store at -20C long term. Avoid freeze-thaw cycles.

Background: CBX1

HP1 gamma appears to be involved in transcriptional silencing in heterochromatin-like complexes. It recognizes and binds histone H3 tails methylated at 'Lys-9', leading to epigenetic repression. HP1 gamma may contribute to the association of the heterochromatin with the inner nuclear membrane through its interaction with lamin B receptor (LBR) and involved in the formation of functional kinetochore through interaction with MIS12 complex proteins.

Alternate Names

CBXM31HP1-BETA, chromobox homolog 1, chromobox homolog 1 (Drosophila HP1 beta), chromobox homolog 1 (HP1 beta homolog Drosophila ), chromobox protein homolog 1, Heterochromatin protein 1 homolog beta, heterochromatin protein 1-beta, Heterochromatin protein p25, heterochromatin protein p25 beta, HP1 beta, HP1 beta homolog, HP1Hsbeta, HP1Hs-beta, MOD1, Modifier 1 protein, p25beta

Gene Symbol

CBX1

Additional CBX1 Products

Product Documents for CBX1 Antibody - BSA Free

Certificate of Analysis

To download a Certificate of Analysis, please enter a lot number in the search box below.

Product Specific Notices for CBX1 Antibody - BSA Free

This product is for research use only and is not approved for use in humans or in clinical diagnosis. Primary Antibodies are guaranteed for 1 year from date of receipt.

Loading...
Loading...
Loading...
Loading...