Skip to main content

CBR3 Antibody (OTI1G6)

Novus Biologicals, part of Bio-Techne | Catalog # NBP2-00997

Novus Biologicals, part of Bio-Techne

Key Product Details

Species Reactivity

Human, Mouse, Rat, Canine, Monkey, Primate

Applications

Immunohistochemistry, Immunohistochemistry-Paraffin, Western Blot

Label

Unconjugated

Antibody Source

Monoclonal Mouse IgG1 Clone # OTI1G6

Concentration

0.43 mg/ml

Product Specifications

Immunogen

Full length human recombinant protein of human CBR3(NP_001227) produced in HEK293T cell.

Reactivity Notes

Please note that this antibody is reactive to Mouse and derived from the same host, Mouse. Mouse-On-Mouse blocking reagent may be needed for IHC and ICC experiments to reduce high background signal. You can find these reagents under catalog numbers PK-2200-NB and MP-2400-NB. Please contact Technical Support if you have any questions.

Clonality

Monoclonal

Host

Mouse

Isotype

IgG1

Theoretical MW

30.7 kDa.
Disclaimer note: The observed molecular weight of the protein may vary from the listed predicted molecular weight due to post translational modifications, post translation cleavages, relative charges, and other experimental factors.

Description

Novus Biologicals Mouse CBR3 Antibody (OTI1G6) (NBP2-00997) is a monoclonal antibody validated for use in IHC and WB. All Novus Biologicals antibodies are covered by our 100% guarantee.

Scientific Data Images for CBR3 Antibody (OTI1G6)

Western Blot: CBR3 Antibody (1G6) [NBP2-00997] Analysis of extracts (35ug) from 9 different cell lines by using anti-CBR3 monoclonal antibody.
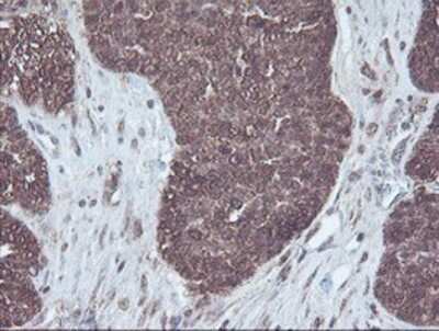
Immunohistochemistry-Paraffin: CBR3 Antibody (OTI1G6) [NBP2-00997]

Immunohistochemistry-Paraffin: CBR3 Antibody (OTI1G6) [NBP2-00997]

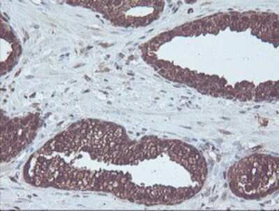
Immunohistochemistry-Paraffin: CBR3 Antibody (1G6) [NBP2-00997] - Staining of paraffin-embedded Human prostate tissue using anti-CBR3 mouse monoclonal antibody.
Western Blot: CBR3 Antibody (OTI1G6) [NBP2-00997]

Western Blot: CBR3 Antibody (OTI1G6) [NBP2-00997]

Western Blot: CBR3 Antibody (1G6) [NBP2-00997] - HEK293T cells were transfected with the pCMV6-ENTRY control (Left lane) or pCMV6-ENTRY CBR3 (Right lane) cDNA for 48 hrs and lysed. Equivalent amounts of cell lysates (5 ug per lane) were separated by SDS-PAGE and immunoblotted with anti-CBR3.

Applications for CBR3 Antibody (OTI1G6)

Application
Recommended Usage

Immunohistochemistry

1:150

Immunohistochemistry-Paraffin

1:150

Western Blot

1:500-2000

Formulation, Preparation, and Storage

Purification

Immunogen affinity purified

Formulation

PBS (pH 7.3), 1.0% BSA and 50% Glycerol

Preservative

0.02% Sodium Azide

Concentration

0.43 mg/ml

Shipping

The product is shipped with polar packs. Upon receipt, store it immediately at the temperature recommended below.

Stability & Storage

Store at -20C. Avoid freeze-thaw cycles.

Background: CBR3

Carbonyl reductase 3 catalyzes the reduction of a large number of biologically and pharmacologically active carbonyl compounds to their corresponding alcohols. The enzyme is classified as a monomeric NADPH-dependent oxidoreductase. CBR3 contains three exons spanning 11.2 kilobases and is closely linked to another carbonyl reductase gene - CBR1. [provided by RefSeq].

Alternate Names

carbonyl reductase (NADPH) 3, carbonyl reductase (NADPH) 3, EC 1.1.1.18410EC 1.1.1, carbonyl reductase [NADPH] 3, carbonyl reductase 3, EC 1.1.1.184, hCBR3, NADPH-dependent carbonyl reductase 3, SDR21C2, short chain dehydrogenase/reductase family 21C, member 2

Entrez Gene IDs

874 (Human)

Gene Symbol

CBR3

Additional CBR3 Products

Product Documents for CBR3 Antibody (OTI1G6)

Certificate of Analysis

To download a Certificate of Analysis, please enter a lot number in the search box below.

Product Specific Notices for CBR3 Antibody (OTI1G6)

This product is for research use only and is not approved for use in humans or in clinical diagnosis. Primary Antibodies are guaranteed for 1 year from date of receipt.

Loading...
Loading...
Loading...
Loading...