Skip to main content

CBP/KAT3A Antibody - BSA Free

Novus Biologicals, part of Bio-Techne | Catalog # NB100-382

Novus Biologicals, part of Bio-Techne
Catalog #
Availability
Size / Price
Qty
Loading...
NB100-382

Key Product Details

Validated by

Independent Antibodies

Species Reactivity

Validated:

Human

Cited:

Human

Applications

Immunohistochemistry, Immunohistochemistry-Paraffin, Western Blot, Immunoprecipitation

Label

Unconjugated

Antibody Source

Polyclonal Rabbit IgG

Format

BSA Free

Concentration

1.0 mg/ml

Product Specifications

Immunogen

The immunogen recognized by this antibody maps to a region between residues 2375 and 2425 of human CREB Binding Protein using the numbering given in entry NP_004371.1 (GeneID 1387).

Clonality

Polyclonal

Host

Rabbit

Isotype

IgG

Scientific Data Images for CBP/KAT3A Antibody - BSA Free

Western Blot: CBP/KAT3A Antibody [NB100-382]

Western Blot: CBP/KAT3A Antibody [NB100-382]

Western Blot: CBP/KAT3A Antibody [NB100-382] - Detection of Human CBP by Western Blot. Samples: Whole cell lysate (5, 15 and 50 ug) from HeLa cells. Antibodies: Affinity purified rabbit anti-CBP antibody NB100-382 used for WB at 0.4 ug/ml. Detection: Chemiluminescence with an exposure time of 3 minutes.
Immunohistochemistry: CBP/KAT3A Antibody [NB100-382]

Immunohistochemistry: CBP/KAT3A Antibody [NB100-382]

Immunohistochemistry: CBP/KAT3A Antibody [NB100-382] - Sample: FFPE section of human prostate carcinoma. Antibody: Affinity purified rabbit anti-CBP used at a dilution of 1:500 (2ug/ml). Detection: DAB staining using Immunohistochemistry Accessory Kit.
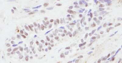
Immunohistochemistry: CBP/KAT3A Antibody [NB100-382]

Immunohistochemistry: CBP/KAT3A Antibody [NB100-382]

Immunohistochemistry: CBP/KAT3A Antibody [NB100-382] - FFPE section of human prostate adenocarcinoma. Antibody used at a dilution of 1:250. Detection: DAB.

Applications for CBP/KAT3A Antibody - BSA Free

Application
Recommended Usage

Immunohistochemistry

1:200 - 1:1000

Immunohistochemistry-Paraffin

1:200 - 1:1000

Immunoprecipitation

1-4 ug/mg of lysate

Western Blot

1:1000 - 1:25000
Application Notes
By immunoprecipitation, this antibody recognizes a band at ~240 kDa, representing CBP. The investigator should determine the optimal working dilution for a specific application. Epitope retreival with citrate buffer pH6.0 is recommended.

Formulation, Preparation, and Storage

Purification

Immunogen affinity purified

Formulation

Tris-Citrate/Phosphate (pH 7.0 - 8.0)

Format

BSA Free

Preservative

0.09% Sodium Azide

Concentration

1.0 mg/ml

Shipping

The product is shipped with polar packs. Upon receipt, store it immediately at the temperature recommended below.

Stability & Storage

Store at 4C. Do not freeze.

Background: CBP

CREB-binding protein (CBP) and p300 contain modular domains that mediate protein-protein interactions with a wide variety of nuclear factors. C-terminal domain is responsible for interaction with specific coactivators and other transcriptional regulators.

Long Name

CREB-binding Protein

Alternate Names

CREBBP, RTS

Entrez Gene IDs

1387 (Human)

Gene Symbol

CREBBP

Additional CBP Products

Product Documents for CBP/KAT3A Antibody - BSA Free

Certificate of Analysis

To download a Certificate of Analysis, please enter a lot number in the search box below.

Product Specific Notices for CBP/KAT3A Antibody - BSA Free

This product is for research use only and is not approved for use in humans or in clinical diagnosis. Primary Antibodies are guaranteed for 1 year from date of receipt.

Loading...
Loading...
Loading...
Loading...