Skip to main content

CBLB Antibody (PSH03-49)

Novus Biologicals, part of Bio-Techne | Catalog # NBP3-32113

Recombinant Monoclonal Antibody
Novus Biologicals, part of Bio-Techne
Catalog #
Availability
Size / Price
Qty
Loading...
NBP3-32113

Key Product Details

Species Reactivity

Human, Mouse, Rat

Applications

Immunohistochemistry, Immunohistochemistry-Paraffin, Western Blot

Label

Unconjugated

Antibody Source

Recombinant Monoclonal Rabbit IgG Clone # PSH03-49 expressed in HEK293

Concentration

1 mg/ml

Product Specifications

Immunogen

Recombinant protein within human CBLB aa 400-982 / 982. (Uniprot: Q13191)

Localization

Cytoplasm.

Clonality

Monoclonal

Host

Rabbit

Isotype

IgG

Theoretical MW

109 kDa.
Disclaimer note: The observed molecular weight of the protein may vary from the listed predicted molecular weight due to post translational modifications, post translation cleavages, relative charges, and other experimental factors.

Description

Novus Biologicals Rabbit CBLB Antibody (PSH03-49) (NBP3-32113) is a recombinant monoclonal antibody validated for use in IHC and WB. All Novus Biologicals antibodies are covered by our 100% guarantee.

Scientific Data Images for CBLB Antibody (PSH03-49)

CBLB Antibody (PSH03-49)

Western Blot: CBLB Antibody (PSH03-49) [NBP3-32113]

Western Blot: CBLB Antibody (PSH03-49) [NBP3-32113] - Western blot analysis of CBLB on different lysates with Rabbit anti-CBLB antibody (NBP3-32113) at 1/2,000 dilution.

Lane 1: Jurkat cell lysate (20 ug/Lane)
Lane 2: K-562 cell lysate (20 ug/Lane)
Lane 3: U-87 MG cell lysate (20 ug/Lane)
Lane 4: HeLa cell lysate (20 ug/Lane)
Lane 5: A431 cell lysate (20 ug/Lane)
Lane 6: A549 cell lysate (20 ug/Lane)
Lane 7: NIH/3T3 cell lysate (20 ug/Lane)
Lane 8: RAW264.7 cell lysate (20 ug/Lane)
Lane 9: PC-12 cell lysate (20 ug/Lane)
Lane 10: Mouse lung tissue lysate (40 ug/Lane)

Predicted band size: 109 kDa
Observed band size: 109 kDa

Exposure time: 24 seconds;

4-20% SDS-PAGE gel.

Proteins were transferred to a PVDF membrane and blocked with 5% NFDM/TBST for 1 hour at room temperature. The primary antibody (NBP3-32113) at 1/2,000 dilution was used in 5% NFDM/TBST at 4C overnight. Goat Anti-Rabbit IgG - HRP Secondary Antibody at 1/50,000 dilution was used for 1 hour at room temperature.
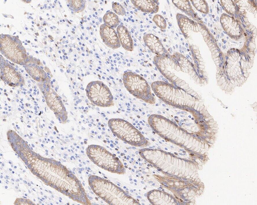
CBLB Antibody (PSH03-49)

Immunohistochemistry: CBLB Antibody (PSH03-49) [NBP3-32113]

Immunohistochemistry: CBLB Antibody (PSH03-49) [NBP3-32113] - Immunohistochemical analysis of paraffin-embedded human stomach tissue with Rabbit anti-CBLB antibody (NBP3-32113) at 1/200 dilution.

The section was pre-treated using heat mediated antigen retrieval with Tris-EDTA buffer (pH 9.0) for 20 minutes. The tissues were blocked in 1% BSA for 20 minutes at room temperature, washed with ddH2O and PBS, and then probed with the primary antibody (NBP3-32113) at 1/200 dilution for 1 hour at room temperature. The detection was performed using an HRP conjugated compact polymer system. DAB was used as the chromogen. Tissues were counterstained with hematoxylin and mounted with DPX.

Applications for CBLB Antibody (PSH03-49)

Application
Recommended Usage

Immunohistochemistry-Paraffin

1:200

Western Blot

1:2000

Formulation, Preparation, and Storage

Purification

Protein A purified

Formulation

PBS (pH7.4), 0.1% BSA and 40% Glycerol

Preservative

0.05% Sodium Azide

Concentration

1 mg/ml

Shipping

The product is shipped with polar packs. Upon receipt, store it immediately at the temperature recommended below.

Stability & Storage

Store at 4C short term. Aliquot and store at -20C long term. Avoid freeze-thaw cycles.

Background: Cbl-B

CBLB - Cas-Br-M (murine) ecotropic retroviral transforming sequence b

Long Name

Cbl Proto-Oncogene B

Alternate Names

CBLB, Nbla00127, RNF56

Gene Symbol

CBLB

Additional Cbl-B Products

Product Documents for CBLB Antibody (PSH03-49)

Certificate of Analysis

To download a Certificate of Analysis, please enter a lot number in the search box below.

Product Specific Notices for CBLB Antibody (PSH03-49)

This product is for research use only and is not approved for use in humans or in clinical diagnosis. Primary Antibodies are guaranteed for 1 year from date of receipt.

Loading...
Loading...
Loading...
Loading...