CBF2 Antibody - BSA Free
Novus Biologicals, part of Bio-Techne | Catalog # NBP2-47525
Key Product Details
Species Reactivity
Validated:
Human
Predicted:
Rat (90%). Backed by our 100% Guarantee.
Applications
Immunohistochemistry, Immunohistochemistry-Paraffin, Western Blot
Label
Unconjugated
Antibody Source
Polyclonal Rabbit IgG
Format
BSA Free
Concentration
Concentrations vary lot to lot. See vial label for concentration. If unlisted please contact technical services.
Product Specifications
Immunogen
This antibody was developed against a recombinant protein corresponding to amino acids: VTTKTRALTVAHELLCNKPEEEKALLVQVVNKLGDPQNRIATKASHLLETLLCKHPNMKGVVSGEVERLLFRSNISSKAQYYAICFLNQMALSHEESELAN
Reactivity Notes
Immunogen displays the following percentage of sequence identity for non-tested species: Mouse (89%)
Clonality
Polyclonal
Host
Rabbit
Isotype
IgG
Description
Novus Biologicals Rabbit CBF2 Antibody - BSA Free (NBP2-47525) is a polyclonal antibody validated for use in IHC and WB. All Novus Biologicals antibodies are covered by our 100% guarantee.
Scientific Data Images for CBF2 Antibody - BSA Free
Western Blot: CBF2 Antibody [NBP2-47525]
Western Blot: CBF2 Antibody [NBP2-47525] - Lane 1: Marker [kDa] 250, 130, 100, 70, 55, 35, 25, 15, 10Lane 2: Human cell line NTERA-2
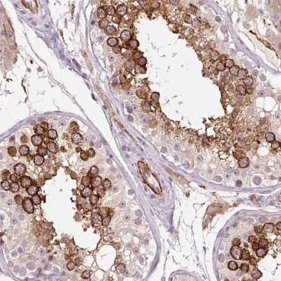
Immunohistochemistry: CBF2 Antibody [NBP2-47525]
Immunohistochemistry: CBF2 Antibody [NBP2-47525] - Analysis of human testis shows strong cytoplasmic positivity in cells in seminiferus ducts.Chromatin Immunoprecipitation ChIP: CBF2 Antibody - BSA Free
ChIP-Exo-Seq composite graph for Anti-CBF2 tested in K562 cells. Strand-specific reads (blue: forward, red: reverse) and IgG controls (black: forward, grey: reverse) are plotted against the distance from a composite set of reference binding sites. The antibody exhibits robust target enrichment compared to a non-specific IgG control and precisely reveals its structural organization around the binding site. Data generated by Prof. B. F. Pugh's Lab at Cornell University.Applications for CBF2 Antibody - BSA Free
Application
Recommended Usage
Immunohistochemistry
1:20 - 1:50
Immunohistochemistry-Paraffin
1:20 - 1:50
Western Blot
0.04-0.4 ug/ml
Application Notes
For IHC-Paraffin, HIER pH 6 retrieval is recommended.
Formulation, Preparation, and Storage
Purification
Affinity purified
Formulation
PBS (pH 7.2) and 40% Glycerol
Format
BSA Free
Preservative
0.02% Sodium Azide
Concentration
Concentrations vary lot to lot. See vial label for concentration. If unlisted please contact technical services.
Shipping
The product is shipped with polar packs. Upon receipt, store it immediately at the temperature recommended below.
Stability & Storage
Store at 4C short term. Aliquot and store at -20C long term. Avoid freeze-thaw cycles.
Background: CBF2
Alternate Names
CBF2CTF2, CBFHSP-CBF, CCAAT/enhancer binding protein (C/EBP), zeta, CCAAT/enhancer binding protein zeta, CCAAT/enhancer-binding protein zeta, CCAAT-binding factor, CCAAT-box-binding transcription factor, NOC1
Gene Symbol
CEBPZ
Additional CBF2 Products
Product Documents for CBF2 Antibody - BSA Free
Product Specific Notices for CBF2 Antibody - BSA Free
This product is for research use only and is not approved for use in humans or in clinical diagnosis. Primary Antibodies are guaranteed for 1 year from date of receipt.
Loading...
Loading...
Loading...
Loading...