Skip to main content

Caveolin-2 Antibody (5E9E2) - BSA Free

Novus Biologicals, part of Bio-Techne | Catalog # NBP2-52431

Novus Biologicals, part of Bio-Techne
Catalog #
Availability
Size / Price
Qty
Loading...
NBP2-52431-0.025mg
NBP2-52431

Key Product Details

Species Reactivity

Human

Applications

Immunohistochemistry, Immunohistochemistry-Paraffin, Western Blot, ELISA, Flow Cytometry, CyTOF-ready

Label

Unconjugated

Antibody Source

Monoclonal Mouse IgG1 Clone # 5E9E2

Format

BSA Free

Concentration

1 mg/ml

Product Specifications

Immunogen

Purified recombinant fragment of human Caveolin-2 (AA: 1-86) expressed in E. Coli.

Clonality

Monoclonal

Host

Mouse

Isotype

IgG1

Theoretical MW

18.3 kDa.
Disclaimer note: The observed molecular weight of the protein may vary from the listed predicted molecular weight due to post translational modifications, post translation cleavages, relative charges, and other experimental factors.

Description

Novus Biologicals Mouse Caveolin-2 Antibody (5E9E2) - BSA Free (NBP2-52431) is a monoclonal antibody validated for use in IHC, WB, ELISA and Flow. All Novus Biologicals antibodies are covered by our 100% guarantee.

Scientific Data Images for Caveolin-2 Antibody (5E9E2) - BSA Free

Western Blot: Caveolin-2 Antibody (5E9E2)BSA Free [NBP2-52431]

Western Blot: Caveolin-2 Antibody (5E9E2)BSA Free [NBP2-52431]

Western Blot: Caveolin-2 Antibody (5E9E2) [NBP2-52431] - Analysis using CAV2 mouse mAb against A549 (1), 3T3-L1 (2), A431 (3) cell lysate.
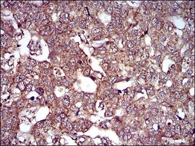
Immunohistochemistry-Paraffin: Caveolin-2 Antibody (5E9E2) - BSA Free [NBP2-52431]

Immunohistochemistry-Paraffin: Caveolin-2 Antibody (5E9E2) - BSA Free [NBP2-52431]

Immunohistochemistry-Paraffin: Caveolin-2 Antibody (5E9E2) [NBP2-52431] - Analysis of paraffin-embedded esophageal cancer tissues using CAV2 mouse mAb with DAB staining.
Flow Cytometry: Caveolin-2 Antibody (5E9E2) - BSA Free [NBP2-52431]

Flow Cytometry: Caveolin-2 Antibody (5E9E2) - BSA Free [NBP2-52431]

Flow Cytometry: Caveolin-2 Antibody (5E9E2) [NBP2-52431] - Analysis of A549 cells using CAV2 mouse mAb (green) and negative control (red).

Applications for Caveolin-2 Antibody (5E9E2) - BSA Free

Application
Recommended Usage

ELISA

1:10000

Flow Cytometry

1:200-1:400

Immunohistochemistry

1:200-1:1000

Western Blot

1:500-1:2000
Application Notes
This antibody is Cytof ready.

Formulation, Preparation, and Storage

Purification

Protein G purified

Formulation

PBS

Format

BSA Free

Preservative

0.05% Sodium Azide

Concentration

1 mg/ml

Shipping

The product is shipped with polar packs. Upon receipt, store it immediately at the temperature recommended below.

Stability & Storage

Store at 4C short term. Aliquot and store at -20C long term. Avoid freeze-thaw cycles.

Background: Caveolin-2

Caveolae are cholesterol/sphingolipid-rich microdomains of the plasma membrane that have been implicated in signal transduction and vesicular trafficking. Caveolins are a family of caveolae-associated integral membrane proteins (1). Caveolin, a 21- to 24-kDa integral membrane protein, is a principal component of caveolae membranes. Caveolin interacts directly with heterotrimeric guanine nucleotide binding proteins (G proteins) and can functionally regulate their activity. Caveolins 1 and 2 are similar in most respects, however, caveolin-1 and caveolin-2 differ in their functional interactions with heterotrimeric G proteins, possibly explaining why caveolin-1 and -2 are coexpressed within a single cell (2). Caveolin-2 is up-regulated in response to the mechanical injury of differentiated PC12 cells; up-regulation of caveolin-2 under these conditions is strictly dependent on continued treatment with NGF. Robust expression of caveolin-1 and -2 is also observed along the entire cell surface of DRG neurons, including high levels on growth cones. These findings demonstrate that neuronal cells express caveolins (1).

Alternate Names

CAV2, Caveolin2

Gene Symbol

CAV2

Additional Caveolin-2 Products

Product Documents for Caveolin-2 Antibody (5E9E2) - BSA Free

Certificate of Analysis

To download a Certificate of Analysis, please enter a lot number in the search box below.

Product Specific Notices for Caveolin-2 Antibody (5E9E2) - BSA Free

This product is for research use only and is not approved for use in humans or in clinical diagnosis. Primary Antibodies are guaranteed for 1 year from date of receipt.

Loading...
Loading...
Loading...
Loading...
Loading...