Skip to main content

Cathepsin S Antibody (HL2302) - Azide and BSA Free

Novus Biologicals, part of Bio-Techne | Catalog # NBP3-25398

Recombinant Monoclonal Antibody
Novus Biologicals, part of Bio-Techne
Catalog #
Availability
Size / Price
Qty
Loading...
NBP3-25398

Key Product Details

Validated by

Orthogonal Validation

Species Reactivity

Human, Mouse, Rat

Applications

Immunohistochemistry, Immunohistochemistry-Paraffin, Western Blot, Immunocytochemistry/ Immunofluorescence

Label

Unconjugated

Antibody Source

Recombinant Monoclonal Rabbit IgG Clone # HL2302 expressed in HEK293

Format

Azide and BSA Free

Concentration

Concentrations vary lot to lot. See vial label for concentration. If unlisted please contact technical services.

Product Specifications

Immunogen

Recombinant fragment of human Cathepsin S.

Clonality

Monoclonal

Host

Rabbit

Isotype

IgG

Theoretical MW

37 kDa.
Disclaimer note: The observed molecular weight of the protein may vary from the listed predicted molecular weight due to post translational modifications, post translation cleavages, relative charges, and other experimental factors.

Description

Novus Biologicals Rabbit Cathepsin S Antibody (HL2302) - Azide and BSA Free (NBP3-25398) is a recombinant monoclonal antibody validated for use in IHC, WB and ICC/IF. All Novus Biologicals antibodies are covered by our 100% guarantee.

Scientific Data Images for Cathepsin S Antibody (HL2302) - Azide and BSA Free

Cathepsin S Antibody (HL2302) - Azide and BSA Free

Western Blot: Cathepsin S Antibody (HL2302) - Azide and BSA Free [NBP3-25398] -

Western Blot: Cathepsin S Antibody (HL2302) - Azide and BSA Free [NBP3-25398] - Various whole cell extracts (30 ug) were separated by 12% SDS-PAGE, and the membrane was blotted with Cathepsin S antibody [HL2302] (NBP3-25398) diluted at 1:1000. The HRP-conjugated anti-rabbit IgG antibody was used to detect the primary antibody. Corresponding RNA expression data for the same cell lines are based on Human Protein Atlas program.
Cathepsin S Antibody (HL2302) - Azide and BSA Free

Immunohistochemistry-Paraffin: Cathepsin S Antibody (HL2302) - Azide and BSA Free [NBP3-25398] -

Immunohistochemistry-Paraffin: Cathepsin S Antibody (HL2302) - Azide and BSA Free [NBP3-25398] - Cathepsin S antibody [HL2302] detects Cathepsin S protein by immunohistochemical analysis. Sample: Paraffin-embedded mouse tissues. Cathepsin S stained by Cathepsin S antibody [HL2302] (NBP3-25398) diluted at 1:100. Antigen Retrieval: Citrate buffer, pH 6.0, 15 min
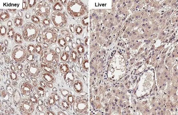
Cathepsin S Antibody (HL2302) - Azide and BSA Free

Immunohistochemistry-Paraffin: Cathepsin S Antibody (HL2302) - Azide and BSA Free [NBP3-25398] -

Immunohistochemistry-Paraffin: Cathepsin S Antibody (HL2302) - Azide and BSA Free [NBP3-25398] - Cathepsin S antibody [HL2302] detects Cathepsin S protein at cytoplasm by immunohistochemical analysis. Sample: Paraffin-embedded human tissue. Cathepsin S stained by Cathepsin S antibody [HL2302] (NBP3-25398) diluted at 1:100. Antigen Retrieval: Citrate buffer, pH 6.0, 15 min

Applications for Cathepsin S Antibody (HL2302) - Azide and BSA Free

Application
Recommended Usage

Immunocytochemistry/ Immunofluorescence

Assay dependent

Immunohistochemistry

Assay dependent

Immunohistochemistry-Paraffin

Assay dependent

Western Blot

1:500-1:3000

Formulation, Preparation, and Storage

Purification

Protein A purified

Formulation

PBS

Format

Azide and BSA Free

Preservative

No Preservative

Concentration

Concentrations vary lot to lot. See vial label for concentration. If unlisted please contact technical services.

Shipping

The product is shipped with polar packs. Upon receipt, store it immediately at the temperature recommended below.

Stability & Storage

Store at 4C short term. Aliquot and store at -20C long term. Avoid freeze-thaw cycles.

Background: Cathepsin S

Cathepsin S is encoded by this gene, a member of the peptidase C1 family, is a lysosomal cysteine proteinase that may participate in the degradation of antigenic proteins to peptides for presentation on MHC class II molecules. The encoded protein can function as an elastase over a broad pH range in alveolar macrophages. Transcript variants utilizing alternative polyadenylation signals exist for this gene.

Alternate Names

CTSS

Gene Symbol

CTSS

Additional Cathepsin S Products

Product Documents for Cathepsin S Antibody (HL2302) - Azide and BSA Free

Certificate of Analysis

To download a Certificate of Analysis, please enter a lot number in the search box below.

Product Specific Notices for Cathepsin S Antibody (HL2302) - Azide and BSA Free

This product is for research use only and is not approved for use in humans or in clinical diagnosis. Primary Antibodies are guaranteed for 1 year from date of receipt.

Loading...
Loading...
Loading...
Loading...