Skip to main content

Cathepsin K Antibody (CTSK/2793)

Novus Biologicals, part of Bio-Techne | Catalog # NBP2-79765

Novus Biologicals, part of Bio-Techne
Catalog #
Availability
Size / Price
Qty
Loading...
NBP2-79765-100ug
NBP2-79765-20ug

Key Product Details

Species Reactivity

Human

Applications

Immunohistochemistry, Immunohistochemistry-Paraffin, Protein Array

Label

Unconjugated

Antibody Source

Monoclonal Mouse IgG1 kappa Clone # CTSK/2793

Concentration

0.2 mg/ml

Product Specifications

Immunogen

Recombinant fragment of human Cathepsin K protein (around aa 163-274) (exact sequence is proprietary) (Uniprot: P43235)

Localization

Cytoplasmic

Marker

Marker of Tumor Invasiveness

Clonality

Monoclonal

Host

Mouse

Isotype

IgG1 kappa

Theoretical MW

39 kDa.
Disclaimer note: The observed molecular weight of the protein may vary from the listed predicted molecular weight due to post translational modifications, post translation cleavages, relative charges, and other experimental factors.

Description

200ug/ml of antibody purified from Bioreactor Concentrate by Protein A or G. Prepared in 10 mM PBS with 0.05% BSA & 0.05% azide. Also available WITHOUT BSA & azide at 1.0 mg/ml. (NBP2-79900)

Antibody with azide - store at 2 to 8C. Antibody without azide - store at -20 to -80C.

Scientific Data Images for Cathepsin K Antibody (CTSK/2793)

Immunohistochemistry-Paraffin: Cathepsin K Antibody (CTSK/2793) [NBP2-79765]

Immunohistochemistry-Paraffin: Cathepsin K Antibody (CTSK/2793) [NBP2-79765]

Immunohistochemistry-Paraffin: Cathepsin K Antibody (CTSK/2793) [NBP2-79765] - Formalin-fixed, paraffin-embedded human Hepatocellular Carcinoma stained with Cathepsin K Antibody (CTSK/2793).
Immunohistochemistry-Paraffin: Cathepsin K Antibody (CTSK/2793) [NBP2-79765]

Immunohistochemistry-Paraffin: Cathepsin K Antibody (CTSK/2793) [NBP2-79765]

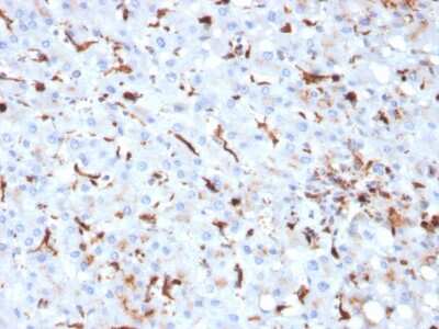
Immunohistochemistry-Paraffin: Cathepsin K Antibody (CTSK/2793) [NBP2-79765] - Formalin-fixed, paraffin-embedded human Liver stained with Cathepsin K Antibody (CTSK/2793).
Protein Array: Cathepsin K Antibody (CTSK/2793) [NBP2-79765]

Protein Array: Cathepsin K Antibody (CTSK/2793) [NBP2-79765]

Protein Array: Cathepsin K Antibody (CTSK/2793) [NBP2-79765] - Analysis of Protein Array containing more than 19,000 full-length human proteins using Cathepsin K Antibody (CTSK/2793) Z- and S- Score: The Z-score represents the strength of a signal that a monoclonal antibody (MAb) (in combination with a fluorescently-tagged anti-IgG secondary antibody) produces when binding to a particular protein on the HuProt(TM) array. Z-scores are described in units of standard deviations (SD's) above the mean value of all signals generated on that array. If targets on HuProt(TM) are arranged in descending order of the Z-score, the S-score is the difference (also in units of SD's) between the Z-score. S-score therefore represents the relative target specificity of a MAb to its intended target. A MAb is considered to specific to its intended target, if the MAb has an S-score of at least 2.5.

Applications for Cathepsin K Antibody (CTSK/2793)

Application
Recommended Usage

Immunohistochemistry

1-2 ug/ml

Immunohistochemistry-Paraffin

1-2 ug/ml
Application Notes
Immunohistochemistry (Formalin-fixed): 1-2ug/ml for 30 minutes at RT. Staining of formalin-fixed tissues requires heating tissue sections in 10mM Tris with 1mM EDTA, pH 9.0, for 45 min at 95C followed by cooling at RT for 20 minutes.
Optimal dilution for a specific application should be determined.

Formulation, Preparation, and Storage

Purification

Protein A or G purified

Formulation

10 mM PBS with 0.05% BSA

Preservative

0.05% Sodium Azide

Concentration

0.2 mg/ml

Shipping

The product is shipped with polar packs. Upon receipt, store it immediately at the temperature recommended below.

Stability & Storage

Store at 4C.

Background: Cathepsin K

Cathepsin K is encoded by this gene is a lysosomal cysteine proteinase involved in bone remodeling and resorption. This protein, which is a member of the peptidase C1 protein family, is predominantly expressed in osteoclasts. However, the encoded protein is also expressed in a significant fraction of human breast cancers, where it could contribute to tumor invasiveness. Mutations in this gene are the cause of pycnodysostosis, an autosomal recessive disease characterized by osteosclerosis and short stature. This gene may be subject to RNA editing. [provided by RefSeq]

Alternate Names

CTS02, CTSK, CTSO1, CTSO2, PKND, PYCD

Gene Symbol

CTSK

UniProt

Additional Cathepsin K Products

Product Documents for Cathepsin K Antibody (CTSK/2793)

Certificate of Analysis

To download a Certificate of Analysis, please enter a lot number in the search box below.

Product Specific Notices for Cathepsin K Antibody (CTSK/2793)

This product is for research use only and is not approved for use in humans or in clinical diagnosis. Primary Antibodies are guaranteed for 1 year from date of receipt.

Loading...
Loading...
Loading...
Loading...