Skip to main content

Cathepsin D Antibody (2H4H5) - BSA Free

Novus Biologicals, part of Bio-Techne | Catalog # NBP2-52451

Novus Biologicals, part of Bio-Techne
Catalog #
Availability
Size / Price
Qty
Loading...
NBP2-52451
NBP2-52451-0.025mg

Key Product Details

Species Reactivity

Human

Applications

CyTOF-ready, ELISA, Immunohistochemistry, Immunohistochemistry-Paraffin, Western Blot

Label

Unconjugated

Antibody Source

Monoclonal Mouse IgG1 Clone # 2H4H5

Format

BSA Free

Concentration

1 mg/ml

Product Specifications

Immunogen

Purified recombinant fragment of human Cathepsin D (AA: 1-100) expressed in E. Coli.

Clonality

Monoclonal

Host

Mouse

Isotype

IgG1

Theoretical MW

44.6 kDa.
Disclaimer note: The observed molecular weight of the protein may vary from the listed predicted molecular weight due to post translational modifications, post translation cleavages, relative charges, and other experimental factors.

Description

Novus Biologicals Mouse Cathepsin D Antibody (2H4H5) - BSA Free (NBP2-52451) is a monoclonal antibody validated for use in IHC, WB and ELISA. All Novus Biologicals antibodies are covered by our 100% guarantee.

Scientific Data Images for Cathepsin D Antibody (2H4H5) - BSA Free

Western Blot: Cathepsin D Antibody (2H4H5)BSA Free [NBP2-52451]

Western Blot: Cathepsin D Antibody (2H4H5)BSA Free [NBP2-52451]

Western Blot: Cathepsin D Antibody (2H4H5) [NBP2-52451] - Analysis using CTSD mAb against human CTSD(AA: 1-100) recombinant protein. (Expected MW is 36.6 kDa)
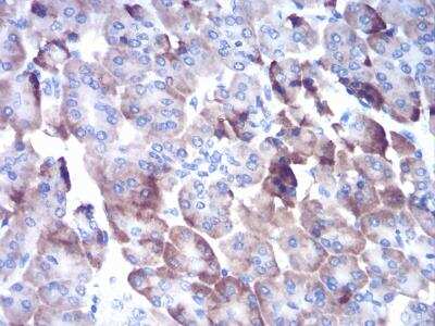
Immunohistochemistry-Paraffin: Cathepsin D Antibody (2H4H5) - BSA Free [NBP2-52451]

Immunohistochemistry-Paraffin: Cathepsin D Antibody (2H4H5) - BSA Free [NBP2-52451]

Immunohistochemistry-Paraffin: Cathepsin D Antibody (2H4H5) [NBP2-52451] - Analysis of paraffin-embedded pancreas tissues using CTSD mouse mAb with DAB staining.
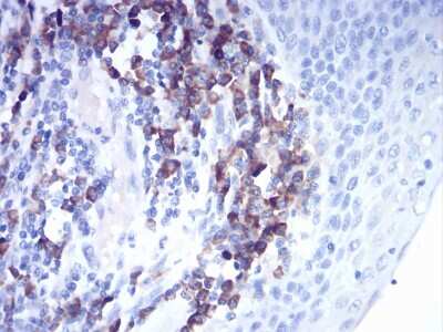
Immunohistochemistry: Cathepsin D Antibody (2H4H5) - BSA Free [NBP2-52451]

Immunohistochemistry: Cathepsin D Antibody (2H4H5) - BSA Free [NBP2-52451]

Immunohistochemistry: Cathepsin D Antibody (2H4H5) [NBP2-52451] - Analysis of paraffin-embedded esophagus tissues using CTSD mouse mAb with DAB staining.

Applications for Cathepsin D Antibody (2H4H5) - BSA Free

Application
Recommended Usage

ELISA

1:10000

Immunohistochemistry

1:200-1:1000

Immunohistochemistry-Paraffin

1:200-1:1000

Western Blot

1:500-1:2000
Application Notes
This antibody is Cytof ready.

Formulation, Preparation, and Storage

Purification

Protein G purified

Formulation

PBS

Format

BSA Free

Preservative

0.05% Sodium Azide

Concentration

1 mg/ml

Shipping

The product is shipped with polar packs. Upon receipt, store it immediately at the temperature recommended below.

Stability & Storage

Store at 4C short term. Aliquot and store at -20C long term. Avoid freeze-thaw cycles.

Background: Cathepsin D

Cathepsin D has been reported to be involved in malignant tumour progression and with prognosis of various human cancers.

Alternate Names

CTSD

Gene Symbol

CTSD

Additional Cathepsin D Products

Product Documents for Cathepsin D Antibody (2H4H5) - BSA Free

Certificate of Analysis

To download a Certificate of Analysis, please enter a lot number in the search box below.

Product Specific Notices for Cathepsin D Antibody (2H4H5) - BSA Free

This product is for research use only and is not approved for use in humans or in clinical diagnosis. Primary Antibodies are guaranteed for 1 year from date of receipt.

Loading...
Loading...
Loading...
Loading...