Skip to main content

Cathepsin D Antibody (010) - Azide and BSA Free

Novus Biologicals, part of Bio-Techne | Catalog # NBP2-90119

Recombinant Monoclonal Antibody
Catalog #
Availability
Size / Price
Qty
Loading...
NBP2-90119-100ul
NBP2-90119-50ul
Conjugate
Catalog #

Key Product Details

Validated by

Knockout/Knockdown

Species Reactivity

Human

Applications

Immunohistochemistry, Immunohistochemistry-Paraffin, Western Blot

Label

Unconjugated

Antibody Source

Recombinant Monoclonal Rabbit IgG Clone # 010 expressed in HEK293

Format

Azide and BSA Free

Concentration

Please see the vial label for concentration. If unlisted please contact technical services.

Product Specifications

Immunogen

This antibody was obtained from a rabbit immunized with purified, recombinant Human Cathepsin D (Uniprot#: P07339; Met1-Leu412).

Specificity

No cross-reactivity in ELISA with: Mouse CTSDHuman CTSAHuman CTSBHuman CTSLHuman BACE1

Clonality

Monoclonal

Host

Rabbit

Isotype

IgG

Description

This antibody can be stored at 2C-8C for one month without detectable loss of activity. Antibody products are stable for twelve months from date of receipt when stored at -20C to -80C. Avoid repeated freeze-thaw cycles.

Scientific Data Images for Cathepsin D Antibody (010) - Azide and BSA Free

Western Blot: Cathepsin D Antibody (010) [NBP2-90119]

Western Blot: Cathepsin D Antibody (010) [NBP2-90119]

Western Blot: Cathepsin D Antibody (010) [NBP2-90119] - Anti-Cathepsin D rabbit monoclonal antibody at 1:500 dilution. Lane A: MCF7 Whole Cell Lysate. Lane B: A431 Whole Cell Lysate. Lane C: HepG2 Whole Cell Lysate. Lane D: SKBR3 Whole Cell Lysate. Lysates/proteins at 30 ug per lane. Secondary: Goat Anti-Rabbit IgG H&L (Dylight800) at 1/10000 dilution. Developed using the Odyssey technique. Performed under reducing conditions. Predicted band size:45 kDa. Observed band size:31 kDa.
Immunohistochemistry-Paraffin: Cathepsin D Antibody (010) [NBP2-90119]

Immunohistochemistry-Paraffin: Cathepsin D Antibody (010) [NBP2-90119]

Immunohistochemistry-Paraffin: Cathepsin D Antibody (010) [NBP2-90119] - Immunochemical staining of human CTSD in human cirrhosis with rabbit monoclonal antibody (1:300, formalin-fixed paraffin embedded sections).
Immunohistochemistry-Paraffin: Cathepsin D Antibody (010) [NBP2-90119]

Immunohistochemistry-Paraffin: Cathepsin D Antibody (010) [NBP2-90119]

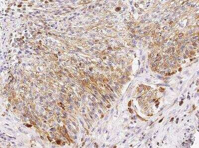
Immunohistochemistry-Paraffin: Cathepsin D Antibody (010) [NBP2-90119] - Immunochemical staining of human CTSD in human lung cancer with rabbit monoclonal antibody (1:300, formalin-fixed paraffin embedded sections).

Applications for Cathepsin D Antibody (010) - Azide and BSA Free

Application
Recommended Usage

Immunohistochemistry-Paraffin

1:100-1:500

Western Blot

1:500-1:2000

Formulation, Preparation, and Storage

Purification

Protein A purified

Formulation

0.2 um filtered solution in PBS

Format

Azide and BSA Free

Preservative

No Preservative

Concentration

Please see the vial label for concentration. If unlisted please contact technical services.

Shipping

The product is shipped with polar packs. Upon receipt, store it immediately at the temperature recommended below.

Stability & Storage

Store at 4C short term. Aliquot and store at -20C long term. Avoid freeze-thaw cycles.

Background: Cathepsin D

Cathepsin D has been reported to be involved in malignant tumour progression and with prognosis of various human cancers.

Alternate Names

CTSD

Gene Symbol

CTSD

Additional Cathepsin D Products

Product Documents for Cathepsin D Antibody (010) - Azide and BSA Free

Certificate of Analysis

To download a Certificate of Analysis, please enter a lot number in the search box below.

Product Specific Notices for Cathepsin D Antibody (010) - Azide and BSA Free

This product is for research use only and is not approved for use in humans or in clinical diagnosis. Primary Antibodies are guaranteed for 1 year from date of receipt.

Loading...
Loading...
Loading...
Loading...