Skip to main content

Cathepsin B Antibody (6I5D7)

Novus Biologicals, part of Bio-Techne | Catalog # NBP3-15614

Recombinant Monoclonal Antibody
Novus Biologicals, part of Bio-Techne
Catalog #
Availability
Size / Price
Qty
Loading...
NBP3-15614-100ul
NBP3-15614-20ul

Key Product Details

Species Reactivity

Human

Applications

Immunohistochemistry, Immunohistochemistry-Paraffin, Western Blot

Label

Unconjugated

Antibody Source

Recombinant Monoclonal Rabbit IgG Clone # 6I5D7 expressed in HEK293

Concentration

Please see the vial label for concentration. If unlisted please contact technical services.

Product Specifications

Immunogen

Recombinant fusion protein containing a sequence corresponding to amino acids 27-156 of human Cathepsin B (P07858). SDELVNYVNKRNTTWQAGHNFYNVDMSYLKRLCGTFLGGPKPPQRVMFTEDLKLPASFDAREQWPQCPTIKEIRDQGSCGSCWAFGAVEAISDRICIHTNAHVSVEVSAEDLLTCCGSMCGDGCNGGYPA

Clonality

Monoclonal

Host

Rabbit

Isotype

IgG

Description

Novus Biologicals Rabbit Cathepsin B Antibody (6I5D7) (NBP3-15614) is a recombinant monoclonal antibody validated for use in IHC and WB. All Novus Biologicals antibodies are covered by our 100% guarantee.

Scientific Data Images for Cathepsin B Antibody (6I5D7)

Western Blot: Cathepsin B Antibody (6I5D7) [NBP3-15614]

Western Blot: Cathepsin B Antibody (6I5D7) [NBP3-15614]

Western Blot: Cathepsin B Antibody (6I5D7) [NBP3-15614] - Western blot analysis of extracts of HepG2 cells, using Cathepsin B antibody (NBP3-15614) at 1:1000 dilution. Secondary antibody: HRP Goat Anti-Rabbit IgG (H+L) at 1:10000 dilution. Lysates/proteins: 25ug per lane. Blocking buffer: 3% nonfat dry milk in TBST. Detection: ECL Basic Kit. Exposure time: 1min.
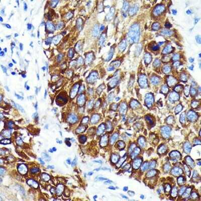
Immunohistochemistry-Paraffin: Cathepsin B Antibody (6I5D7) [NBP3-15614]

Immunohistochemistry-Paraffin: Cathepsin B Antibody (6I5D7) [NBP3-15614]

Immunohistochemistry-Paraffin: Cathepsin B Antibody (6I5D7) [NBP3-15614] - Immunohistochemistry of paraffin-embedded human lung cancer using Cathepsin B Rabbit mAb (NBP3-15614) at dilution of 1:100 (40x lens).Perform microwave antigen retrieval with 10 mM PBS buffer pH 7.2 before commencing with IHC staining protocol.

Applications for Cathepsin B Antibody (6I5D7)

Application
Recommended Usage

Immunohistochemistry

1:50 - 1:200

Western Blot

1:500 - 1:2000

Formulation, Preparation, and Storage

Purification

Affinity purified

Formulation

PBS (pH 7.3), 50% glycerol, 0.05% BSA

Preservative

0.02% Sodium Azide

Concentration

Please see the vial label for concentration. If unlisted please contact technical services.

Shipping

The product is shipped with polar packs. Upon receipt, store it immediately at the temperature recommended below.

Stability & Storage

Store at -20C. Avoid freeze-thaw cycles.

Background: Cathepsin B

The cathepsin family of proteolytic enzymes contains several diverse classes of proteases. The cysteine protease class comprises cathepsins B, L, H, K, S and O. The aspartyl protease class is composed of cathepsins D and E. cathepsin G is in the serine protease class. Most cathepsins are lysosomal and each is involved in cellular metabolism, participating in various events such as peptide biosynthesis and protein degradation. cathepsin B is expressed in luminal epithelial cells, indicating that cathepsin B is a marker for secretory cell death.

Alternate Names

CTSB

Gene Symbol

CTSB

Additional Cathepsin B Products

Product Documents for Cathepsin B Antibody (6I5D7)

Certificate of Analysis

To download a Certificate of Analysis, please enter a lot number in the search box below.

Product Specific Notices for Cathepsin B Antibody (6I5D7)

This product is for research use only and is not approved for use in humans or in clinical diagnosis. Primary Antibodies are guaranteed for 1 year from date of receipt.

Loading...
Loading...
Loading...
Loading...