Skip to main content

Catalase Antibody (S01-8B2)

Novus Biologicals, part of Bio-Techne | Catalog # NBP3-19593

Recombinant Monoclonal Antibody
Novus Biologicals, part of Bio-Techne
Catalog #
Availability
Size / Price
Qty
Loading...
NBP3-19593-100ul
NBP3-19593-50ul

Key Product Details

Species Reactivity

Human, Mouse, Rat

Applications

Immunohistochemistry, Immunohistochemistry-Paraffin, Western Blot

Label

Unconjugated

Antibody Source

Recombinant Monoclonal Rabbit IgG Clone # S01-8B2 expressed in HEK293

Concentration

0.3 mg/ml

Product Specifications

Immunogen

A synthetic peptide of human Catalase (Uniprot # P04040)

Clonality

Monoclonal

Host

Rabbit

Isotype

IgG

Theoretical MW

60 kDa.
Disclaimer note: The observed molecular weight of the protein may vary from the listed predicted molecular weight due to post translational modifications, post translation cleavages, relative charges, and other experimental factors.

Description

Novus Biologicals Rabbit Catalase Antibody (S01-8B2) (NBP3-19593) is a recombinant monoclonal antibody validated for use in IHC and WB. All Novus Biologicals antibodies are covered by our 100% guarantee.

Scientific Data Images for Catalase Antibody (S01-8B2)

Western Blot: Catalase Antibody (S01-8B2) [NBP3-19593]

Western Blot: Catalase Antibody (S01-8B2) [NBP3-19593]

Western Blot: Catalase Antibody (S01-8B2) [NBP3-19593] - Western blot detection of Catalase in K562, Hela cell lysates using NBP3-19593 (1:1000 diluted). Predicted band size: 60kDa. Observed band size: 60kDa.
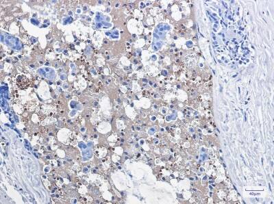
Immunohistochemistry-Paraffin: Catalase Antibody (S01-8B2) [NBP3-19593]

Immunohistochemistry-Paraffin: Catalase Antibody (S01-8B2) [NBP3-19593]

Immunohistochemistry-Paraffin: Catalase Antibody (S01-8B2) [NBP3-19593] - Immunohistochemistry of Catalase in paraffin-embedded Human breast cancer tissue using NBP3-19593 at dilution 1/100

Applications for Catalase Antibody (S01-8B2)

Application
Recommended Usage

Immunohistochemistry

1/20-1/100

Western Blot

1/1000

Formulation, Preparation, and Storage

Purification

Affinity purified

Formulation

50mM Tris-Glycine(pH 7.4), 0.15M NaCl, 40% Glycerol, 0.05% BSA

Preservative

0.01% Sodium Azide

Concentration

0.3 mg/ml

Shipping

The product is shipped with polar packs. Upon receipt, store it immediately at the temperature recommended below.

Stability & Storage

Store at 4C short term. Aliquot and store at -20C long term. Avoid freeze-thaw cycles.

Background: Catalase

Human catalase is an heme-containing peroxisomal enzyme that breaks down hydrogen peroxide to water and oxygen; it is implicated in ethanol metabolism, inflammation, apoptosis, aging and cancer. The 1.5A resolution human enzyme structure, both with and without bound NADPH, establishes the conserved features of mammalian catalase fold and assembly, implicates Tyr370 as the tyrosine radical, suggests the structural basis for redox-sensitive binding of cognate mRNA via the catalase NADPH binding site, and identifies an unexpectedly substantial number of water-mediated domain contacts (1). Because catalase has a low affinity for H2O2, it has been suggested that glutathione peroxidase clears most H2O2 within the erthrocyte and that catalase is of little import. It has been hypothesized that erythrocyte catalase might function to protect heterologous somatic cells against challenge by high levels of exogenous H2O2 (e.g., in areas of inflamation) (2).

Alternate Names

Cas1, CAT, Cs-1

Gene Symbol

CAT

Additional Catalase Products

Product Documents for Catalase Antibody (S01-8B2)

Certificate of Analysis

To download a Certificate of Analysis, please enter a lot number in the search box below.

Product Specific Notices for Catalase Antibody (S01-8B2)

This product is for research use only and is not approved for use in humans or in clinical diagnosis. Primary Antibodies are guaranteed for 1 year from date of receipt.

Loading...
Loading...
Loading...
Loading...