Skip to main content

Caspase-9 Antibody (SZ29-01) - (Pro and Active)

Novus Biologicals, part of Bio-Techne | Catalog # NBP2-67362

Recombinant Monoclonal Antibody.
Novus Biologicals, part of Bio-Techne
Catalog #
Availability
Size / Price
Qty
Loading...
NBP2-67362

Key Product Details

Species Reactivity

Validated:

Human, Mouse

Cited:

Mouse, Rat

Applications

Validated:

Immunohistochemistry, Immunohistochemistry-Paraffin, Western Blot, Immunocytochemistry/ Immunofluorescence, Immunoprecipitation

Cited:

Western Blot

Label

Unconjugated

Antibody Source

Recombinant Monoclonal Rabbit IgG Clone # SZ29-01 expressed in HEK293

Concentration

1 mg/ml

Product Specifications

Immunogen

Synthetic peptide within Human Caspase-9 aa 289-338 / 416. (SwissProt: P55211 Human; SwissProt: Q8C3Q9 Mouse)

Localization

Mitochondrion, cytoplasm, cytosol, nucleus.

Clonality

Monoclonal

Host

Rabbit

Isotype

IgG

Description

Novus Biologicals Rabbit Caspase-9 Antibody (SZ29-01) - (Pro and Active) (NBP2-67362) is a recombinant monoclonal antibody validated for use in IHC, WB, ICC/IF and IP. Anti-Caspase-9 Antibody: Cited in 2 publications. All Novus Biologicals antibodies are covered by our 100% guarantee.

Scientific Data Images for Caspase-9 Antibody (SZ29-01) - (Pro and Active)

Western Blot: Caspase-9 Antibody (SZ29-01)(Pro and Active) [NBP2-67362]

Western Blot: Caspase-9 Antibody (SZ29-01)(Pro and Active) [NBP2-67362]

Western Blot: Caspase-9 Antibody (SZ29-01) - (Pro and Active) [NBP2-67362] - Western blot analysis of Caspase-9 on different lysates. Proteins were transferred to a PVDF membrane and blocked with 5% BSA in PBS for 1 hour at room temperature. The primary antibody (1/500) was used in 5% BSA at room temperature for 2 hours. Goat Anti
Immunocytochemistry/ Immunofluorescence: Caspase-9 Antibody (SZ29-01) - (Pro and Active) [NBP2-67362]

Immunocytochemistry/ Immunofluorescence: Caspase-9 Antibody (SZ29-01) - (Pro and Active) [NBP2-67362]

Immunocytochemistry/Immunofluorescence: Caspase-9 Antibody (SZ29-01) - (Pro and Active) [NBP2-67362] - ICC staining of Caspase-9 in A549 cells (green). Formalin fixed cells were permeabilized with 0.1% Triton X-100 in TBS for 10 minutes at room temperature and blocked with 1% Blocker BSA for 15 minutes at room temperature. Cells were probed with the primar
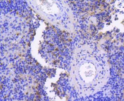
Immunohistochemistry-Paraffin: Caspase-9 Antibody (SZ29-01) - (Pro and Active) [NBP2-67362]

Immunohistochemistry-Paraffin: Caspase-9 Antibody (SZ29-01) - (Pro and Active) [NBP2-67362]

Immunohistochemistry-Paraffin: Caspase-9 Antibody (SZ29-01) - (Pro and Active) [NBP2-67362] - Analysis of paraffin-embedded mouse spleen tissue using anti-Caspase-9 antibody. Counter stained with hematoxylin.

Applications for Caspase-9 Antibody (SZ29-01) - (Pro and Active)

Application
Recommended Usage

Immunocytochemistry/ Immunofluorescence

1:100-1:500

Immunohistochemistry-Paraffin

1:50-1:200

Western Blot

1:500-1:5000

Formulation, Preparation, and Storage

Purification

Protein A purified

Formulation

TBS (pH7.4), 0.05% BSA, 40% Glycerol

Preservative

0.05% Sodium Azide

Concentration

1 mg/ml

Shipping

The product is shipped with polar packs. Upon receipt, store it immediately at the temperature recommended below.

Stability & Storage

Store at 4C short term. Aliquot and store at -20C long term. Avoid freeze-thaw cycles.

Background: Caspase-9

Caspase 9 (CASP9) is a member of the cysteine-aspartic acid protease (caspase) family that is involved in the execution-phase of cell apoptosis. Caspase 9 is expressed as an inactive proenzyme which then undergos proteolytic processing by upstream caspases, to form an active (cleaved) caspase 9 form.

There are two classes of caspases involved in apoptosis; initiators (activation by receptor cluster) and effectors (activation by mitochondrial permeability transition). Caspase 3 is considered an initiator, as initiated caspase-9 goes on to cleave the effector procaspase-3 and procaspase-7.

Caspase 9 antibodies are important tools for apoptosis studies and research on the caspase family mediated apoptosis signaling pathway.

Alternate Names

CASP9, Caspase9

Gene Symbol

CASP9

Additional Caspase-9 Products

Product Documents for Caspase-9 Antibody (SZ29-01) - (Pro and Active)

Certificate of Analysis

To download a Certificate of Analysis, please enter a lot number in the search box below.

Product Specific Notices for Caspase-9 Antibody (SZ29-01) - (Pro and Active)

This product is for research use only and is not approved for use in humans or in clinical diagnosis. Primary Antibodies are guaranteed for 1 year from date of receipt.

Loading...
Loading...
Loading...
Loading...
Loading...