Skip to main content

Caspase-6 Antibody - (cleaved) - BSA Free

Novus Biologicals, part of Bio-Techne | Catalog # NBP3-13380

Novus Biologicals, part of Bio-Techne
Catalog #
Availability
Size / Price
Qty
Loading...
NBP3-13380

Key Product Details

Validated by

Biological Validation

Species Reactivity

Human, Mouse, Rat

Applications

Immunohistochemistry, Immunohistochemistry-Paraffin, Western Blot

Label

Unconjugated

Antibody Source

Polyclonal Rabbit IgG

Format

BSA Free

Concentration

Concentrations vary lot to lot. See vial label for concentration. If unlisted please contact technical services.

Product Specifications

Immunogen

Carrier-protein conjugated synthetic peptide encompassing a sequence within the center region of human Caspase-6 (cleaved Asp162). The exact sequence is proprietary.

Clonality

Polyclonal

Host

Rabbit

Isotype

IgG

Description

Centrifuge briefly prior to opening.

Scientific Data Images for Caspase-6 Antibody - (cleaved) - BSA Free

Western Blot: Caspase-6 Antibody(cleaved) [NBP3-13380]

Western Blot: Caspase-6 Antibody(cleaved) [NBP3-13380]

Western Blot: Caspase-6 Antibody - (cleaved) [NBP3-13380] - Untreated (-) and treated (+) Jurkat whole cell extracts (30 ug) were separated by 12% SDS-PAGE, and the membrane was blotted with Caspase-6 (cleaved Asp162) antibody (NBP3-13380) diluted at 1:1000. The HRP-conjugated anti-rabbit IgG antibody (NBP2-19301) was used to detect the primary antibody, and the signal was developed with Trident ECL plus-Enhanced.
Immunohistochemistry-Paraffin: Caspase-6 Antibody - (cleaved) [NBP3-13380]

Immunohistochemistry-Paraffin: Caspase-6 Antibody - (cleaved) [NBP3-13380]

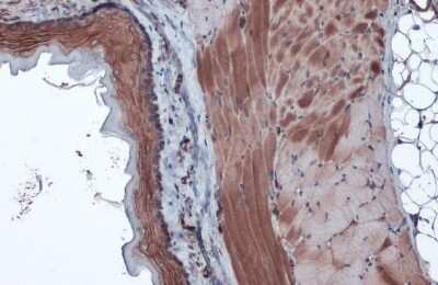
Immunohistochemistry-Paraffin: Caspase-6 Antibody - (cleaved) [NBP3-13380] - Caspase-6 (cleaved Asp162) antibody detects Caspase-6 (cleaved Asp162) protein at cytoplasm by immunohistochemical analysis. Sample: Paraffin-embedded rat esophagus. Caspase-6 (cleaved Asp162) stained by Caspase-6 (cleaved Asp162) antibody (NBP3-13380) diluted at 1:1000. Antigen Retrieval: Citrate buffer, pH 6.0, 15 min
Immunohistochemistry-Paraffin: Caspase-6 Antibody - (cleaved) [NBP3-13380]

Immunohistochemistry-Paraffin: Caspase-6 Antibody - (cleaved) [NBP3-13380]

Immunohistochemistry-Paraffin: Caspase-6 Antibody - (cleaved) [NBP3-13380] - Caspase-6 (cleaved Asp162) antibody detects Caspase-6 (cleaved Asp162) protein at cytoplasm by immunohistochemical analysis. Sample: Paraffin-embedded mouse liver. Caspase-6 (cleaved Asp162) stained by Caspase-6 (cleaved Asp162) antibody (NBP3-13380) diluted at 1:1000. Antigen Retrieval: Citrate buffer, pH 6.0, 15 min

Applications for Caspase-6 Antibody - (cleaved) - BSA Free

Application
Recommended Usage

Western Blot

1:1000

Formulation, Preparation, and Storage

Purification

Antigen Affinity-purified

Formulation

PBS, 20% Glycerol

Format

BSA Free

Preservative

0.025% Proclin 300

Concentration

Concentrations vary lot to lot. See vial label for concentration. If unlisted please contact technical services.

Shipping

The product is shipped with polar packs. Upon receipt, store it immediately at the temperature recommended below.

Stability & Storage

Store at 4C short term. Aliquot and store at -20C long term. Avoid freeze-thaw cycles.

Background: Caspase-6

Caspases are a family of cytosolic aspartate-specific cysteine proteases involved in the initiation and execution of apoptosis. Caspase-6 is a major apoptotic executioner (1,2). It exists as a pro-domain protein and is cleaved by caspase-3 into two active subunits, an 18 kDa and a 10 kDa subunit (3). Caspase-6 cleaves among many different intracellular proteins, nuclear lamins. Lamins play a significant role in maintaining the integrity of the cell membrane, and their cleavage results in subsequent cellular breakdown and death (4).

Alternate Names

CASP6, Caspase6, Mch2

Gene Symbol

CASP6

Additional Caspase-6 Products

Product Documents for Caspase-6 Antibody - (cleaved) - BSA Free

Certificate of Analysis

To download a Certificate of Analysis, please enter a lot number in the search box below.

Product Specific Notices for Caspase-6 Antibody - (cleaved) - BSA Free

This product is for research use only and is not approved for use in humans or in clinical diagnosis. Primary Antibodies are guaranteed for 1 year from date of receipt.

Loading...
Loading...
Loading...
Loading...