Skip to main content

Caspase-3 Antibody - BSA Free

Novus Biologicals, part of Bio-Techne | Catalog # NBP1-90125

Novus Biologicals, part of Bio-Techne
Catalog #
Availability
Size / Price
Qty
Loading...
NBP1-90125
NBP1-90125-25ul

Key Product Details

Validated by

Orthogonal Validation

Species Reactivity

Validated:

Human, Rat

Cited:

Rat

Applications

Validated:

Immunohistochemistry, Immunohistochemistry-Paraffin, Western Blot, Immunocytochemistry/ Immunofluorescence

Cited:

Western Blot

Label

Unconjugated

Antibody Source

Polyclonal Rabbit IgG

Format

BSA Free

Concentration

Concentrations vary lot to lot. See vial label for concentration. If unlisted please contact technical services.

Product Specifications

Immunogen

This Caspase-3 Antibody was developed against a recombinant Protein corresponding to amino acids: HGSESMDSGISLDNSYKMDYPEMGLCIIINNKNFHKSTGMTSRSGTDVDAANLRETFRNLKYEVRNKNDLTREEIVELMRDVSKEDHSKRSSFVCVLLSHGEEGIIFGTNGPVDL

Reactivity Notes

Rat reactivity reported in scientific literature (PMID: 23901245). Mouse (84%).

Clonality

Polyclonal

Host

Rabbit

Isotype

IgG

Theoretical MW

31.7 kDa.
Disclaimer note: The observed molecular weight of the protein may vary from the listed predicted molecular weight due to post translational modifications, post translation cleavages, relative charges, and other experimental factors.

Description

Novus Biologicals Rabbit Caspase-3 Antibody - BSA Free (NBP1-90125) is a polyclonal antibody validated for use in IHC, WB and ICC/IF. Anti-Caspase-3 Antibody: Cited in 2 publications. All Novus Biologicals antibodies are covered by our 100% guarantee.

Scientific Data Images for Caspase-3 Antibody - BSA Free

Immunocytochemistry/ Immunofluorescence: Caspase-3 Antibody [NBP1-90125]

Immunocytochemistry/ Immunofluorescence: Caspase-3 Antibody [NBP1-90125]

Immunocytochemistry/Immunofluorescence: Caspase-3 Antibody [NBP1-90125] - Staining of human cell line U-251 MG shows localization to nucleoplasm and mitochondria. Antibody staining is shown in green.
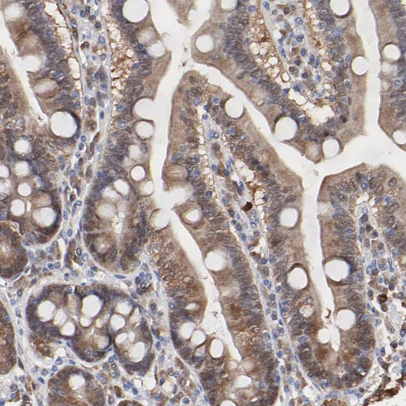
Caspase-3 Antibody - BSA Free Immunohistochemistry: Caspase-3 Antibody - BSA Free [NBP1-90125]

Immunohistochemistry: Caspase-3 Antibody - BSA Free [NBP1-90125]

Analysis in human lymph node and skeletal muscle tissues using NBP1-90125 antibody. Corresponding CASP3 RNA-seq data are presented for the same tissues.
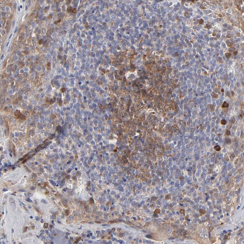
Caspase-3 Antibody - BSA Free Immunohistochemistry: Caspase-3 Antibody - BSA Free [NBP1-90125]

Immunohistochemistry: Caspase-3 Antibody - BSA Free [NBP1-90125]

Staining of human lymph node shows moderate to strong cytoplasmic positivity in germinal center cells.

Applications for Caspase-3 Antibody - BSA Free

Application
Recommended Usage

Immunocytochemistry/ Immunofluorescence

0.25-2 ug/ml

Immunohistochemistry

1:1000 - 1:2500

Immunohistochemistry-Paraffin

1:1000 - 1:2500

Western Blot

0.04 - 0.4 ug/ml
Application Notes
For IHC-Paraffin, HIER pH 6 retrieval is recommended. ICC/IF Fixation Permeabilization: Use PFA/Triton X-100.

Formulation, Preparation, and Storage

Purification

Immunogen affinity purified

Formulation

PBS (pH 7.2) and 40% Glycerol

Format

BSA Free

Preservative

0.02% Sodium Azide

Concentration

Concentrations vary lot to lot. See vial label for concentration. If unlisted please contact technical services.

Shipping

The product is shipped with polar packs. Upon receipt, store it immediately at the temperature recommended below.

Stability & Storage

Store at 4C short term. Aliquot and store at -20C long term. Avoid freeze-thaw cycles.

Background: Caspase-3

CPP32 encodes a member of the cysteine-aspartic acid protease (caspase) family that plays a key role in apoptosis. Caspase 3 (also known as CPP32, Apopain, Yama, and PARP cleavage protease) is the most extensively studied apoptotic protein among caspase family members (1-2). Caspase 3 is synthesized as an inactive proenzyme that is processed in cells undergoing apoptosis by self-proteolysis and/or cleavage by other upstream proteases (e.g. Caspases 8, 9 and 10). Alternative splicing of CPP32 results in two transcript variants which encode the same protein. The processed form of Caspase 3 consists of large (theoretical molecular weight 17kD) and small (theoretical molecular weight 12kD) subunits which associate to form an active enzyme. Caspase 3 is cleaved at Asp28/Ser29 and Asp175/Ser176. The active Caspase 3 proteolytically cleaves and activates other caspases (e.g. Caspases 6, 7 and 9), as well as relevant targets in the cells (e.g. PARP and DFF). Variations in levels of Caspase 3 have been reported in cells of short-lived nature and those with a longer life cycle. Caspase 3 is the predominant caspase involved in the cleavage of amyloid beta 4A precursor protein, which is associated with neuronal death in Alzheimer's disease (3).

References

1.Mu, N., Lei, Y., Wang, Y., Wang, Y., Duan, Q., Ma, G., . . . Su, L. (2019). Inhibition of SIRT1/2 upregulates HSPA5 acetylation and induces pro-survival autophagy via ATF4-DDIT4-mTORC1 axis in human lung cancer cells. Apoptosis, 24(9-10), 798-811. doi:10.1007/s10495-019-01559-3

2.Sun, C. M., Enkhjargal, B., Reis, C., Zhou, K. R., Xie, Z. Y., Wu, L. Y., . . . Zhang, J. H. (2019). Osteopontin attenuates early brain injury through regulating autophagy-apoptosis interaction after subarachnoid hemorrhage in rats. CNS Neurosci Ther, 25(10), 1162-1172. doi:10.1111/cns.13199

3.Louneva, N., Cohen, J. W., Han, L. Y., Talbot, K., Wilson, R. S., Bennett, D. A., . . . Arnold, S. E. (2008). Caspase-3 is enriched in postsynaptic densities and increased in Alzheimer's disease. Am J Pathol, 173(5), 1488-1495. doi:10.2353/ajpath.2008.080434

Alternate Names

Apopain, CASP3, Caspase3, CPP32, LICE-1, YAMA

Gene Symbol

CASP3

Additional Caspase-3 Products

Product Documents for Caspase-3 Antibody - BSA Free

Certificate of Analysis

To download a Certificate of Analysis, please enter a lot number in the search box below.

Product Specific Notices for Caspase-3 Antibody - BSA Free

This product is for research use only and is not approved for use in humans or in clinical diagnosis. Primary Antibodies are guaranteed for 1 year from date of receipt.

Loading...
Loading...
Loading...
Loading...