Skip to main content

Caspase-3 Antibody

Novus Biologicals, part of Bio-Techne | Catalog # NB600-1235

Novus Biologicals, part of Bio-Techne
Catalog #
Availability
Size / Price
Qty
Loading...
NB600-1235-0.1ml
NB600-1235

Key Product Details

Species Reactivity

Validated:

Human, Fish

Cited:

Human, Mouse, Rat, Bovine, Canine, Fish, Insect - Drosophila melanogaster, Primate, Rabbit

Applications

Validated:

Immunohistochemistry, Immunohistochemistry-Paraffin, Immunohistochemistry-Frozen, Immunohistochemistry Free-Floating, Western Blot, Immunocytochemistry/ Immunofluorescence

Cited:

Immunohistochemistry, Immunohistochemistry-Paraffin, Immunohistochemistry Free-Floating, Western Blot, Immunocytochemistry/ Immunofluorescence, IF/IHC

Label

Unconjugated

Antibody Source

Polyclonal Rabbit IgG

Concentration

1.0 mg/ml

Product Specifications

Immunogen

This Caspase-3 Antibody was developed against a synthetic peptide corresponding to the cleavage site of human caspase 3 (amino acids 167-175), conjugated to KLH.

Reactivity Notes

Fish reactivity reported in scientific literature (PMID: 28675853).

Localization

Cytoplasmic and some nuclear.

Specificity

This reacts with the active form of Caspase 3 (17 kDa protein).

Clonality

Polyclonal

Host

Rabbit

Isotype

IgG

Theoretical MW

31.7 kDa.
Disclaimer note: The observed molecular weight of the protein may vary from the listed predicted molecular weight due to post translational modifications, post translation cleavages, relative charges, and other experimental factors.

Description

Novus Biologicals Rabbit Caspase-3 Antibody (NB600-1235) is a polyclonal antibody validated for use in IHC, WB and ICC/IF. Anti-Caspase-3 Antibody: Cited in 39 publications. All Novus Biologicals antibodies are covered by our 100% guarantee.

Scientific Data Images for Caspase-3 Antibody

Immunohistochemistry-Paraffin: Caspase-3 Antibody [NB600-1235]

Immunohistochemistry-Paraffin: Caspase-3 Antibody [NB600-1235]

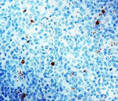
Immunohistochemistry-Paraffin: Caspase-3 Antibody [NB600-1235] - Formalin fixed paraffin embedded human tonsil stained with Caspase-3 Antibody (NB600-1235).
Immunohistochemistry-Paraffin: Caspase-3 Antibody [NB600-1235]

Immunohistochemistry-Paraffin: Caspase-3 Antibody [NB600-1235]

Immunohistochemistry-Paraffin: Caspase-3 Antibody [NB600-1235] - Human tonsil.
Caspase-3 Antibody

Immunohistochemistry: Caspase-3 Antibody [NB600-1235] -

nb600-1235_rabbit-polyclonal-caspase-3-antibody-imgenex-img-80432-20920231721154.jpg

Applications for Caspase-3 Antibody

Application
Recommended Usage

Immunocytochemistry/ Immunofluorescence

1:10-1:500

Immunohistochemistry

1:10-1:500

Immunohistochemistry-Paraffin

1:50-1:100
Application Notes
IHC-P: recommended pretreatment of citrate buffer, pH 6.0. Recommended incubation time of 30 min at RT. Use in ICC/IF was reported in the scientific literature (PMID: 23813946). Use in Western blot reported in scientific literature (PMID: 29977195). Use in IHC-FrFl reported in secitific publication PMID: 32651317. This Caspase-3 Antibody is validated for IHC-Fr from a verified customer review.

Reviewed Applications

Read 1 review rated 4 using NB600-1235 in the following applications:

Formulation, Preparation, and Storage

Purification

Affinity purified

Formulation

PBS (pH 7.4), 0.2% BSA, Tween-20

Preservative

0.05% Sodium Azide

Concentration

1.0 mg/ml

Shipping

The product is shipped with polar packs. Upon receipt, store it immediately at the temperature recommended below.

Stability & Storage

Store at 4C. Do not freeze.

Background: Caspase-3

CPP32 encodes a member of the cysteine-aspartic acid protease (caspase) family that plays a key role in apoptosis. Caspase 3 (also known as CPP32, Apopain, Yama, and PARP cleavage protease) is the most extensively studied apoptotic protein among caspase family members (1-2). Caspase 3 is synthesized as an inactive proenzyme that is processed in cells undergoing apoptosis by self-proteolysis and/or cleavage by other upstream proteases (e.g. Caspases 8, 9 and 10). Alternative splicing of CPP32 results in two transcript variants which encode the same protein. The processed form of Caspase 3 consists of large (theoretical molecular weight 17kD) and small (theoretical molecular weight 12kD) subunits which associate to form an active enzyme. Caspase 3 is cleaved at Asp28/Ser29 and Asp175/Ser176. The active Caspase 3 proteolytically cleaves and activates other caspases (e.g. Caspases 6, 7 and 9), as well as relevant targets in the cells (e.g. PARP and DFF). Variations in levels of Caspase 3 have been reported in cells of short-lived nature and those with a longer life cycle. Caspase 3 is the predominant caspase involved in the cleavage of amyloid beta 4A precursor protein, which is associated with neuronal death in Alzheimer's disease (3).

References

1.Mu, N., Lei, Y., Wang, Y., Wang, Y., Duan, Q., Ma, G., . . . Su, L. (2019). Inhibition of SIRT1/2 upregulates HSPA5 acetylation and induces pro-survival autophagy via ATF4-DDIT4-mTORC1 axis in human lung cancer cells. Apoptosis, 24(9-10), 798-811. doi:10.1007/s10495-019-01559-3

2.Sun, C. M., Enkhjargal, B., Reis, C., Zhou, K. R., Xie, Z. Y., Wu, L. Y., . . . Zhang, J. H. (2019). Osteopontin attenuates early brain injury through regulating autophagy-apoptosis interaction after subarachnoid hemorrhage in rats. CNS Neurosci Ther, 25(10), 1162-1172. doi:10.1111/cns.13199

3.Louneva, N., Cohen, J. W., Han, L. Y., Talbot, K., Wilson, R. S., Bennett, D. A., . . . Arnold, S. E. (2008). Caspase-3 is enriched in postsynaptic densities and increased in Alzheimer's disease. Am J Pathol, 173(5), 1488-1495. doi:10.2353/ajpath.2008.080434

Alternate Names

Apopain, CASP3, Caspase3, CPP32, LICE-1, YAMA

Entrez Gene IDs

836 (Human); 12367 (Mouse); 25402 (Rat)

Gene Symbol

CASP3

UniProt

Additional Caspase-3 Products

Product Documents for Caspase-3 Antibody

Certificate of Analysis

To download a Certificate of Analysis, please enter a lot number in the search box below.

Product Specific Notices for Caspase-3 Antibody

This product is for research use only and is not approved for use in humans or in clinical diagnosis. Primary Antibodies are guaranteed for 1 year from date of receipt.

Loading...
Loading...
Loading...
Loading...
Loading...