Skip to main content

CASK Antibody (A1C5-R)

Novus Biologicals, part of Bio-Techne | Catalog # NBP3-32108

Recombinant Monoclonal Antibody
Novus Biologicals, part of Bio-Techne
Catalog #
Availability
Size / Price
Qty
Loading...
NBP3-32108

Key Product Details

Species Reactivity

Human, Mouse, Rat

Applications

Immunohistochemistry, Immunohistochemistry-Paraffin, Western Blot

Label

Unconjugated

Antibody Source

Recombinant Monoclonal Mouse IgG1 Clone # A1C5-R expressed in HEK293

Concentration

1 mg/ml

Product Specifications

Immunogen

Recombinant protein within Human CASK aa 311-513 / 926. (Uniprot: O14936)

Localization

Nucleus, Cytoplasm, Cell membrane.

Clonality

Monoclonal

Host

Mouse

Isotype

IgG1

Theoretical MW

105 kDa.
Disclaimer note: The observed molecular weight of the protein may vary from the listed predicted molecular weight due to post translational modifications, post translation cleavages, relative charges, and other experimental factors.

Description

Novus Biologicals Mouse CASK Antibody (A1C5-R) (NBP3-32108) is a recombinant monoclonal antibody validated for use in IHC and WB. All Novus Biologicals antibodies are covered by our 100% guarantee.

Scientific Data Images for CASK Antibody (A1C5-R)

CASK Antibody (A1C5-R)

Western Blot: CASK Antibody (A1C5-R) [NBP3-32108]

Western Blot: CASK Antibody (A1C5-R) [NBP3-32108] - Western blot analysis of CASK on different lysates with Mouse anti-CASK antibody (NBP3-32108) at 1/2,000 dilution.

Lane 1: SiHa cell lysate
Lane 2: A549 cell lysate
Lane 3: U-87 MG cell lysate
Lane 4: Neuro-2a cell lysate
Lane 5: Human brain tissue lysate
Lane 6: Mouse brain tissue lysate
Lane 7: Rat brain tissue lysate

Lysates/proteins at 30 ug/Lane.

Predicted band size: 105 kDa
Observed band size: 105 kDa

Exposure time: 1 minute;

4-20% SDS-PAGE gel.

Proteins were transferred to a PVDF membrane and blocked with 5% NFDM/TBST for 1 hour at room temperature. The primary antibody (NBP3-32108) at 1/2,000 dilution was used in 5% NFDM/TBST at 4C overnight. Goat Anti-Mouse IgG - HRP Secondary Antibody at 1/50,000 dilution was used for 1 hour at room temperature.
CASK Antibody (A1C5-R)

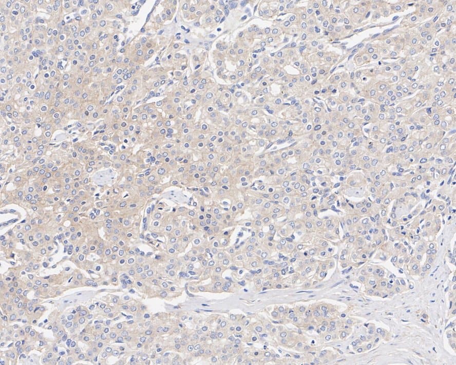
Immunohistochemistry: CASK Antibody (A1C5-R) [NBP3-32108]

Immunohistochemistry: CASK Antibody (A1C5-R) [NBP3-32108] - Immunohistochemical analysis of paraffin-embedded human prostate cancer tissue with Mouse anti-CASK antibody (NBP3-32108) at 1/500 dilution.

The section was pre-treated using heat mediated antigen retrieval with Tris-EDTA buffer (pH 9.0) for 20 minutes. The tissues were blocked in 1% BSA for 20 minutes at room temperature, washed with ddH2O and PBS, and then probed with the primary antibody (NBP3-32108) at 1/500 dilution for 1 hour at room temperature. The detection was performed using an HRP conjugated compact polymer system. DAB was used as the chromogen. Tissues were counterstained with hematoxylin and mounted with DPX.

Applications for CASK Antibody (A1C5-R)

Application
Recommended Usage

Immunohistochemistry-Paraffin

1:500-1:2000

Western Blot

1:2000

Formulation, Preparation, and Storage

Purification

Protein A purified

Formulation

PBS (pH7.4), 0.1% BSA and 40% Glycerol

Preservative

0.05% Sodium Azide

Concentration

1 mg/ml

Shipping

The product is shipped with polar packs. Upon receipt, store it immediately at the temperature recommended below.

Stability & Storage

Store at 4C short term. Aliquot and store at -20C long term. Avoid freeze-thaw cycles.

Background: CASK

Calmodulin sensitive kinase (CASK/mLIN-2) is a ~112-kDa member of the membrane associated quanylate kinase (MAGUK) protein family with multiple protein binding domains. These include an N-terminal calmodulin kinase (CaMKII) domain and C-terminal PDZ, SH3-, and quanylate kinase domains. CASK possesses both tyrosine kinase and serine/threonine kinase activity. In addition, CASK can form a heterotrimeric complex with Mint (X11or mLIN-10) and Veli (mLIN-7) proteins which is predicted to participate in plasma membrane receptor localization. CASK is localized to neuronal synapses and also interacts with syndecan and neurexin. The guanylate kinase domain of CASK has been shown to interact with the T-box transcription factor, Tbr-1, as a coactivator to induce transcription of genes that contain T-elements.

Alternate Names

Calcium/calmodulin-dependent serine protein kinase, calcium/calmodulin-dependent serine protein kinase (MAGUK family), calcium/calmodulin-dependent serine protein kinase membrane-associatedguanylate kinase, CAMGUK, CMG, EC 2.7.11, EC 2.7.11.1, FGS4CAGH39, FLJ22219, hCASK, LIN2FLJ31914, MICPCH, peripheral plasma membrane protein CASK, Protein lin-2 homolog, TNRC8, trinucleotide repeat containing 8

Gene Symbol

CASK

Additional CASK Products

Product Documents for CASK Antibody (A1C5-R)

Certificate of Analysis

To download a Certificate of Analysis, please enter a lot number in the search box below.

Product Specific Notices for CASK Antibody (A1C5-R)

This product is for research use only and is not approved for use in humans or in clinical diagnosis. Primary Antibodies are guaranteed for 1 year from date of receipt.

Loading...
Loading...
Loading...
Loading...