Skip to main content

Casein Kinase 1 epsilon Antibody (OTI5D4)

Novus Biologicals, part of Bio-Techne | Catalog # NBP2-46377

Novus Biologicals, part of Bio-Techne

Key Product Details

Species Reactivity

Human, Mouse, Rat

Applications

Immunohistochemistry, Immunohistochemistry-Paraffin, Western Blot

Label

Unconjugated

Antibody Source

Monoclonal Mouse IgG1 Clone # OTI5D4

Concentration

1 mg/ml

Product Specifications

Immunogen

Human recombinant protein fragment corresponding to amino acids 153-416 of human CSNK1E (NP_689407) produced in E.coli.

Reactivity Notes

Please note that this antibody is reactive to Mouse and derived from the same host, Mouse. Mouse-On-Mouse blocking reagent may be needed for IHC and ICC experiments to reduce high background signal. You can find these reagents under catalog numbers PK-2200-NB and MP-2400-NB. Please contact Technical Support if you have any questions.

Clonality

Monoclonal

Host

Mouse

Isotype

IgG1

Theoretical MW

47.1 kDa.
Disclaimer note: The observed molecular weight of the protein may vary from the listed predicted molecular weight due to post translational modifications, post translation cleavages, relative charges, and other experimental factors.

Description

Novus Biologicals Mouse Casein Kinase 1 epsilon Antibody (OTI5D4) (NBP2-46377) is a monoclonal antibody validated for use in IHC and WB. All Novus Biologicals antibodies are covered by our 100% guarantee.

Scientific Data Images for Casein Kinase 1 epsilon Antibody (OTI5D4)

Western Blot: Casein Kinase 1 epsilon Antibody (OTI5D4) [NBP2-46377]

Western Blot: Casein Kinase 1 epsilon Antibody (OTI5D4) [NBP2-46377]

Western Blot: Casein Kinase 1 epsilon Antibody (5D4) [NBP2-46377] - Analysis of HEK293T cells were transfected with the pCMV6-ENTRY control (Left lane) or pCMV6-ENTRY Casein Kinase 1 epsilon.
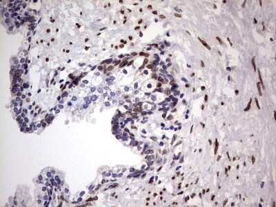
Immunohistochemistry: Casein Kinase 1 epsilon Antibody (OTI5D4) [NBP2-46377]

Immunohistochemistry: Casein Kinase 1 epsilon Antibody (OTI5D4) [NBP2-46377]

Immunohistochemistry: Casein Kinase 1 epsilon Antibody (5D4) [NBP2-46377] - Analysis of Carcinoma of Human prostate tissue. (Heat-induced epitope retrieval by 1 mM EDTA in 10mM Tris, pH8.5, 120C for 3min)
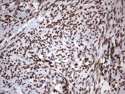
Immunohistochemistry: Casein Kinase 1 epsilon Antibody (OTI5D4) [NBP2-46377]

Immunohistochemistry: Casein Kinase 1 epsilon Antibody (OTI5D4) [NBP2-46377]

Immunohistochemistry: Casein Kinase 1 epsilon Antibody (5D4) [NBP2-46377] - Analysis of Human Ovary tissue. (Heat-induced epitope retrieval by 1 mM EDTA in 10mM Tris, pH8.5, 120C for 3min)

Applications for Casein Kinase 1 epsilon Antibody (OTI5D4)

Application
Recommended Usage

Immunohistochemistry

1:150

Immunohistochemistry-Paraffin

1:150

Western Blot

1:2000

Formulation, Preparation, and Storage

Purification

Immunogen affinity purified

Formulation

PBS (pH 7.3), 1.0% BSA and 50% Glycerol

Preservative

0.02% Sodium Azide

Concentration

1 mg/ml

Shipping

The product is shipped with polar packs. Upon receipt, store it immediately at the temperature recommended below.

Stability & Storage

Store at -20C. Avoid freeze-thaw cycles.

Background: Casein Kinase 1 epsilon

CKI epsilon is a member of the casein kinase 1 (CK1) serine/threonine kinase family of proteins. In mammals, there are seven distinct genes that represent the CK1 family: alpha, beta, gamma-1, gamma-2, gamma-3, delta, and epsilon. CKI epsilon phosphorylates a large number of proteins and is involved in pathways involving Wnt and AKT. CKI epsilon has been found to bind and phosphorylate the circadian protein, Period, and the Wnt signaling protein, Dsh. In the Wnt pathway, CKI epsilon activity is required for the full activation of Dsh and downstream signaling effects.

Alternate Names

CSNK1E

Gene Symbol

CSNK1E

Additional Casein Kinase 1 epsilon Products

Product Documents for Casein Kinase 1 epsilon Antibody (OTI5D4)

Certificate of Analysis

To download a Certificate of Analysis, please enter a lot number in the search box below.

Product Specific Notices for Casein Kinase 1 epsilon Antibody (OTI5D4)

This product is for research use only and is not approved for use in humans or in clinical diagnosis. Primary Antibodies are guaranteed for 1 year from date of receipt.

Loading...
Loading...
Loading...
Loading...