Skip to main content

Carboxypeptidase A2/CPA2 Antibody (OTI1C7)

Novus Biologicals, part of Bio-Techne | Catalog # NBP2-01992

Novus Biologicals, part of Bio-Techne
Catalog #
Availability
Size / Price
Qty
Loading...
NBP2-01992

Key Product Details

Species Reactivity

Human, Mouse, Rat

Applications

Flow Cytometry, Immunocytochemistry/ Immunofluorescence, Immunohistochemistry, Immunohistochemistry-Paraffin, Western Blot

Label

Unconjugated

Antibody Source

Monoclonal Mouse IgG2B Clone # OTI1C7

Concentration

0.89 mg/ml

Product Specifications

Immunogen

Full length human recombinant protein of human CPA2(NP_001860) produced in HEK293T cell.

Reactivity Notes

Please note that this antibody is reactive to Mouse and derived from the same host, Mouse. Mouse-On-Mouse blocking reagent may be needed for IHC and ICC experiments to reduce high background signal. You can find these reagents under catalog numbers PK-2200-NB and MP-2400-NB. Please contact Technical Support if you have any questions.

Clonality

Monoclonal

Host

Mouse

Isotype

IgG2B

Theoretical MW

44.9 kDa.
Disclaimer note: The observed molecular weight of the protein may vary from the listed predicted molecular weight due to post translational modifications, post translation cleavages, relative charges, and other experimental factors.

Description

Novus Biologicals Mouse Carboxypeptidase A2/CPA2 Antibody (OTI1C7) (NBP2-01992) is a monoclonal antibody validated for use in IHC, WB, Flow and ICC/IF. All Novus Biologicals antibodies are covered by our 100% guarantee.

Scientific Data Images for Carboxypeptidase A2/CPA2 Antibody (OTI1C7)

Western Blot: Carboxypeptidase A2/CPA2 Antibody (OTI1C7) [NBP2-01992]

Western Blot: Carboxypeptidase A2/CPA2 Antibody (OTI1C7) [NBP2-01992]

Western Blot: Carboxypeptidase A2 Antibody (1C7) [NBP2-01992] - HEK293T cells were transfected with the pCMV6-ENTRY control (Left lane) or pCMV6-ENTRY Carboxypeptidase A2 (Right lane) cDNA for 48 hrs and lysed. Equivalent amounts of cell lysates (5 ug per lane) were separated by SDS-PAGE and immunoblotted with anti-Carboxypeptidase A2.
Immunocytochemistry/Immunofluorescence: Carboxypeptidase A2 Antibody (1C7) [NBP2-01992] Staining of COS7 cells transiently transfected by pCMV6-ENTRY Carboxypeptidase A2.
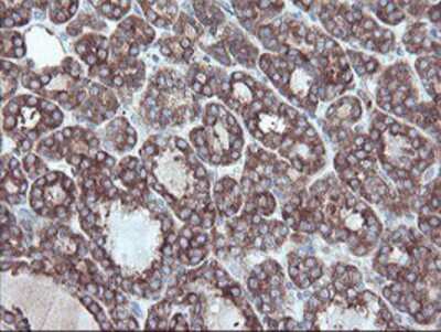
Immunohistochemistry-Paraffin: Carboxypeptidase A2/CPA2 Antibody (OTI1C7) [NBP2-01992]

Immunohistochemistry-Paraffin: Carboxypeptidase A2/CPA2 Antibody (OTI1C7) [NBP2-01992]

Immunohistochemistry-Paraffin: Carboxypeptidase A2 Antibody (1C7) [NBP2-01992] - Staining of paraffin-embedded Human pancreas tissue using anti-Carboxypeptidase A2 mouse monoclonal antibody.

Applications for Carboxypeptidase A2/CPA2 Antibody (OTI1C7)

Application
Recommended Usage

Flow Cytometry

1:100

Immunocytochemistry/ Immunofluorescence

1:100

Immunohistochemistry

1:150

Immunohistochemistry-Paraffin

1:150

Western Blot

1:500-2000

Formulation, Preparation, and Storage

Purification

Immunogen affinity purified

Formulation

PBS (pH 7.3), 1.0% BSA and 50% Glycerol

Preservative

0.02% Sodium Azide

Concentration

0.89 mg/ml

Shipping

The product is shipped with polar packs. Upon receipt, store it immediately at the temperature recommended below.

Stability & Storage

Store at -20C. Avoid freeze-thaw cycles.

Background: Carboxypeptidase A2/CPA2

Three different forms of human pancreatic procarboxypeptidase A have been isolated. The encoded protein represents the A2 form, which is a monomeric protein with different biochemical properties from the A1 and A3 forms. The A2 form of pancreatic procarboxypeptidase acts on aromatic C-terminal residues and is a secreted protein. [provided by RefSeq].

Alternate Names

CPA2

Entrez Gene IDs

1358 (Human)

Gene Symbol

CPA2

Additional Carboxypeptidase A2/CPA2 Products

Product Documents for Carboxypeptidase A2/CPA2 Antibody (OTI1C7)

Certificate of Analysis

To download a Certificate of Analysis, please enter a lot number in the search box below.

Product Specific Notices for Carboxypeptidase A2/CPA2 Antibody (OTI1C7)

This product is for research use only and is not approved for use in humans or in clinical diagnosis. Primary Antibodies are guaranteed for 1 year from date of receipt.

Loading...
Loading...
Loading...
Loading...
Loading...