Skip to main content

Carbonic Anhydrase XII/CA12 Antibody (OTI2C6)

Novus Biologicals, part of Bio-Techne | Catalog # NBP2-46042

Novus Biologicals, part of Bio-Techne
Catalog #
Availability
Size / Price
Qty
Loading...
NBP2-46042

Key Product Details

Species Reactivity

Human

Applications

Immunohistochemistry, Immunohistochemistry-Paraffin, Western Blot

Label

Unconjugated

Antibody Source

Monoclonal Mouse IgG1 Clone # OTI2C6

Concentration

1 mg/ml

Product Specifications

Immunogen

Full length human recombinant protein of human CA12(NP_001209) produced in HEK293T cell.

Clonality

Monoclonal

Host

Mouse

Isotype

IgG1

Theoretical MW

36.8 kDa.
Disclaimer note: The observed molecular weight of the protein may vary from the listed predicted molecular weight due to post translational modifications, post translation cleavages, relative charges, and other experimental factors.

Description

Novus Biologicals Mouse Carbonic Anhydrase XII/CA12 Antibody (OTI2C6) (NBP2-46042) is a monoclonal antibody validated for use in IHC and WB. All Novus Biologicals antibodies are covered by our 100% guarantee.

Scientific Data Images for Carbonic Anhydrase XII/CA12 Antibody (OTI2C6)

Western Blot: Carbonic Anhydrase XII/CA12 Antibody (OTI2C6) [NBP2-46042]

Western Blot: Carbonic Anhydrase XII/CA12 Antibody (OTI2C6) [NBP2-46042]

Western Blot: Carbonic Anhydrase XII/CA12 Antibody (2C6) [NBP2-46042] - Analysis of HEK293T cells were transfected with the pCMV6-ENTRY control (Left lane) or pCMV6-ENTRY CA12.
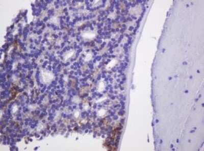
Immunohistochemistry: Carbonic Anhydrase XII/CA12 Antibody (OTI2C6) [NBP2-46042]

Immunohistochemistry: Carbonic Anhydrase XII/CA12 Antibody (OTI2C6) [NBP2-46042]

Immunohistochemistry: Carbonic Anhydrase XII/CA12 Antibody (2C6) [NBP2-46042] - Analysis of Human colon tissue. (Heat-induced epitope retrieval by 10mM citric buffer, pH6.0, 120C for 3min)
Western Blot: Carbonic Anhydrase XII/CA12 Antibody (OTI2C6) [NBP2-46042]

Western Blot: Carbonic Anhydrase XII/CA12 Antibody (OTI2C6) [NBP2-46042]

Western Blot: Carbonic Anhydrase XII/CA12 Antibody (2C6) [NBP2-46042] - Analysis of extracts (35ug) from 9 different cell lines. (HepG2: human; HeLa: human; SVT2: mouse; A549: human; COS7: monkey; Jurkat: human; MDCK: canine; PC12: rat; MCF7: human).

Applications for Carbonic Anhydrase XII/CA12 Antibody (OTI2C6)

Application
Recommended Usage

Immunohistochemistry

1:150

Immunohistochemistry-Paraffin

1:150

Western Blot

1:500

Formulation, Preparation, and Storage

Purification

Immunogen affinity purified

Formulation

PBS (pH 7.3), 1.0% BSA and 50% Glycerol

Preservative

0.02% Sodium Azide

Concentration

1 mg/ml

Shipping

The product is shipped with polar packs. Upon receipt, store it immediately at the temperature recommended below.

Stability & Storage

Store at -20C. Avoid freeze-thaw cycles.

Background: Carbonic Anhydrase XII/CA12

Carbonic anhydrases (CAs) are a large family of zinc metalloenzymes that catalyze the reversible hydration of carbon dioxide. They participate in a variety of biological processes, including respiration, calcification, acid-base balance, bone resorption, and the formation of aqueous humor, cerebrospinal fluid, saliva, and gastric acid. This gene product is a type I membrane protein that is highly expressed in normal tissues, such as kidney, colon and pancreas, and has been found to be overexpressed in 10% of clear cell renal carcinomas. Two transcript variants encoding different isoforms have been identified for this gene.

Alternate Names

CA12

Gene Symbol

CA12

Additional Carbonic Anhydrase XII/CA12 Products

Product Documents for Carbonic Anhydrase XII/CA12 Antibody (OTI2C6)

Certificate of Analysis

To download a Certificate of Analysis, please enter a lot number in the search box below.

Product Specific Notices for Carbonic Anhydrase XII/CA12 Antibody (OTI2C6)

This product is for research use only and is not approved for use in humans or in clinical diagnosis. Primary Antibodies are guaranteed for 1 year from date of receipt.

Loading...
Loading...
Loading...
Loading...