Skip to main content

CAMLG Antibody (OTI1A3)

Novus Biologicals, part of Bio-Techne | Catalog # NBP2-01801

Novus Biologicals, part of Bio-Techne
Catalog #
Availability
Size / Price
Qty
Loading...
NBP2-01801

Key Product Details

Species Reactivity

Human, Mouse, Rat

Applications

Immunohistochemistry, Immunohistochemistry-Paraffin, Western Blot, Flow Cytometry, Immunocytochemistry/ Immunofluorescence

Label

Unconjugated

Antibody Source

Monoclonal Mouse IgG1 Clone # OTI1A3

Concentration

0.58 mg/ml

Product Specifications

Immunogen

Full length human recombinant protein of human CAMLG(NP_001736) produced in HEK293T cell.

Reactivity Notes

Please note that this antibody is reactive to Mouse and derived from the same host, Mouse. Mouse-On-Mouse blocking reagent may be needed for IHC and ICC experiments to reduce high background signal. You can find these reagents under catalog numbers PK-2200-NB and MP-2400-NB. Please contact Technical Support if you have any questions.

Clonality

Monoclonal

Host

Mouse

Isotype

IgG1

Theoretical MW

32.8 kDa.
Disclaimer note: The observed molecular weight of the protein may vary from the listed predicted molecular weight due to post translational modifications, post translation cleavages, relative charges, and other experimental factors.

Description

Novus Biologicals Mouse CAMLG Antibody (OTI1A3) (NBP2-01801) is a monoclonal antibody validated for use in IHC, WB, Flow and ICC/IF. All Novus Biologicals antibodies are covered by our 100% guarantee.

Scientific Data Images for CAMLG Antibody (OTI1A3)

Western Blot: CAMLG Antibody (OTI1A3) [NBP2-01801]

Western Blot: CAMLG Antibody (OTI1A3) [NBP2-01801]

Western Blot: CAMLG Antibody (1A3) [NBP2-01801] - HEK293T cells were transfected with the pCMV6-ENTRY control (Left lane) or pCMV6-ENTRY CAMLG (Right lane) cDNA for 48 hrs and lysed. Equivalent amounts of cell lysates (5 ug per lane) were separated by SDS-PAGE and immunoblotted with anti-CAMLG.
Immunocytochemistry/Immunofluorescence: CAMLG Antibody (1A3) [NBP2-01801] Staining of COS7 cells transiently transfected by pCMV6-ENTRY CAMLG.
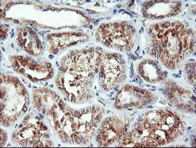
Immunohistochemistry-Paraffin: CAMLG Antibody (OTI1A3) [NBP2-01801]

Immunohistochemistry-Paraffin: CAMLG Antibody (OTI1A3) [NBP2-01801]

Immunohistochemistry-Paraffin: CAMLG Antibody (1A3) [NBP2-01801] - Staining of paraffin-embedded Human Kidney tissue using anti-CAMLG mouse monoclonal antibody.

Applications for CAMLG Antibody (OTI1A3)

Application
Recommended Usage

Flow Cytometry

1:100

Immunocytochemistry/ Immunofluorescence

1:100

Immunohistochemistry

1:150

Immunohistochemistry-Paraffin

1:150

Western Blot

1:2000

Formulation, Preparation, and Storage

Purification

Immunogen affinity purified

Formulation

PBS (pH 7.3), 1.0% BSA and 50% Glycerol

Preservative

0.02% Sodium Azide

Concentration

0.58 mg/ml

Shipping

The product is shipped with polar packs. Upon receipt, store it immediately at the temperature recommended below.

Stability & Storage

Store at -20C. Avoid freeze-thaw cycles.

Background: CAMLG

The immunosuppressant drug cyclosporin A blocks a calcium-dependent signal from the T-cell receptor (TCR) that normally leads to T-cell activation. When bound to cyclophilin B, cyclosporin A binds and inactivates the key signaling intermediate calcineurin. The protein encoded by this gene functions similarly to cyclosporin A, binding to cyclophilin B and acting downstream of the TCR and upstream of calcineurin by causing an influx of calcium. This integral membrane protein appears to be a new participant in the calcium signal transduction pathway, implicating cyclophilin B in calcium signaling, even in the absence of cyclosporin. [provided by RefSeq].

Alternate Names

calcium modulating ligand, calcium signal-modulating cyclophilin ligand, calcium-signal modulating cyclophilin ligand, CAMLcalcium-modulating cyclophilin ligand, cyclophilin B-binding protein, MGC163197

Entrez Gene IDs

819 (Human)

Gene Symbol

CAMLG

Additional CAMLG Products

Product Documents for CAMLG Antibody (OTI1A3)

Certificate of Analysis

To download a Certificate of Analysis, please enter a lot number in the search box below.

Product Specific Notices for CAMLG Antibody (OTI1A3)

This product is for research use only and is not approved for use in humans or in clinical diagnosis. Primary Antibodies are guaranteed for 1 year from date of receipt.

Loading...
Loading...
Loading...
Loading...
Loading...