Skip to main content

Calsequestrin 2 Antibody - BSA Free

Novus Biologicals, part of Bio-Techne | Catalog # NBP2-33747

Novus Biologicals, part of Bio-Techne
Catalog #
Availability
Size / Price
Qty
Loading...
NBP2-33747
NBP2-33747-25ul

Key Product Details

Validated by

Orthogonal Validation, Independent Antibodies

Species Reactivity

Human

Applications

Immunohistochemistry, Immunohistochemistry-Paraffin

Label

Unconjugated

Antibody Source

Polyclonal Rabbit IgG

Format

BSA Free

Concentration

Concentrations vary lot to lot. See vial label for concentration. If unlisted please contact technical services.

Product Specifications

Immunogen

This antibody was developed against a recombinant protein corresponding to amino acids: LEHKAIGFVMVDAKKEAKLAKKLGFDEEGSLY

Reactivity Notes

Immunogen displays the following percentage of sequence identity for non-tested species: Mouse (84%), Rat (84%)

Clonality

Polyclonal

Host

Rabbit

Isotype

IgG

Description

Novus Biologicals Rabbit Calsequestrin 2 Antibody - BSA Free (NBP2-33747) is a polyclonal antibody validated for use in IHC. All Novus Biologicals antibodies are covered by our 100% guarantee.

Scientific Data Images for Calsequestrin 2 Antibody - BSA Free

Immunohistochemistry-Paraffin: Calsequestrin 2 Antibody [NBP2-33747]

Immunohistochemistry-Paraffin: Calsequestrin 2 Antibody [NBP2-33747]

Immunohistochemistry-Paraffin: Calsequestrin 2 Antibody [NBP2-33747] - Staining of human skeletal muscle.
Immunohistochemistry-Paraffin: Calsequestrin 2 Antibody [NBP2-33747]

Immunohistochemistry-Paraffin: Calsequestrin 2 Antibody [NBP2-33747]

Immunohistochemistry-Paraffin: Calsequestrin 2 Antibody [NBP2-33747] - Staining of human heart muscle shows strong cytoplasmic positivity in myocytes.
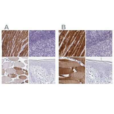
Immunohistochemistry-Paraffin: Calsequestrin 2 Antibody [NBP2-33747]

Immunohistochemistry-Paraffin: Calsequestrin 2 Antibody [NBP2-33747]

Immunohistochemistry-Paraffin: Calsequestrin 2 Antibody [NBP2-33747] - Staining of human heart muscle shows high expression.

Applications for Calsequestrin 2 Antibody - BSA Free

Application
Recommended Usage

Immunohistochemistry

1:20 - 1:50

Immunohistochemistry-Paraffin

1:20 - 1:50
Application Notes
For IHC-Paraffin, HIER pH 6 retrieval is recommended.

Formulation, Preparation, and Storage

Purification

Affinity purified

Formulation

PBS (pH 7.2) and 40% Glycerol

Format

BSA Free

Preservative

0.02% Sodium Azide

Concentration

Concentrations vary lot to lot. See vial label for concentration. If unlisted please contact technical services.

Shipping

The product is shipped with polar packs. Upon receipt, store it immediately at the temperature recommended below.

Stability & Storage

Store at 4C short term. Aliquot and store at -20C long term. Avoid freeze-thaw cycles.

Background: Calsequestrin 2

Calsequestrin 2 is encoded by this gene specifies the cardiac muscle family member of the calsequestrin family. Calsequestrin is localized to the sarcoplasmic reticulum in cardiac and slow skeletal muscle cells. The protein is a calcium binding protein that stores calcium for muscle function. Mutations in this gene cause stress-induced polymorphic ventricular tachycardia, also referred to as catecholaminergic polymorphic ventricular tachycardia 2 (CPVT2), a disease characterized by bidirectional ventricular tachycardia that may lead to cardiac arrest.

Alternate Names

calsequestrin 2 (cardiac muscle), calsequestrin 2, fast-twitch, cardiac muscle, Calsequestrin, cardiac muscle isoform, calsequestrin-2, FLJ26321, FLJ93514, PDIB2

Gene Symbol

CASQ2

UniProt

Additional Calsequestrin 2 Products

Product Documents for Calsequestrin 2 Antibody - BSA Free

Certificate of Analysis

To download a Certificate of Analysis, please enter a lot number in the search box below.

Product Specific Notices for Calsequestrin 2 Antibody - BSA Free

This product is for research use only and is not approved for use in humans or in clinical diagnosis. Primary Antibodies are guaranteed for 1 year from date of receipt.

Loading...
Loading...
Loading...
Loading...