Calponin 1 Antibody - BSA Free
Novus Biologicals, part of Bio-Techne | Catalog # NBP1-87029
Key Product Details
Validated by
Orthogonal Validation
Species Reactivity
Human, Mouse, Rat
Applications
Immunohistochemistry, Immunohistochemistry-Paraffin, Western Blot
Label
Unconjugated
Antibody Source
Polyclonal Rabbit IgG
Format
BSA Free
Concentration
Concentrations vary lot to lot. See vial label for concentration. If unlisted please contact technical services.
Product Specifications
Immunogen
This antibody was developed against Recombinant Protein corresponding to amino acids: PLDQATISLQMGTNKGASQAGMTAPGTKRQIFEPGLGMEHCDTLNVSLQMGSNKGASQRGMTVYGLPRQVYDPKYCLTPEYPELGEPAHNHHAHNYYNS
Clonality
Polyclonal
Host
Rabbit
Isotype
IgG
Description
Novus Biologicals Rabbit Calponin 1 Antibody - BSA Free (NBP1-87029) is a polyclonal antibody validated for use in IHC and WB. Anti-Calponin 1 Antibody: Cited in 1 publication. All Novus Biologicals antibodies are covered by our 100% guarantee.
Scientific Data Images for Calponin 1 Antibody - BSA Free
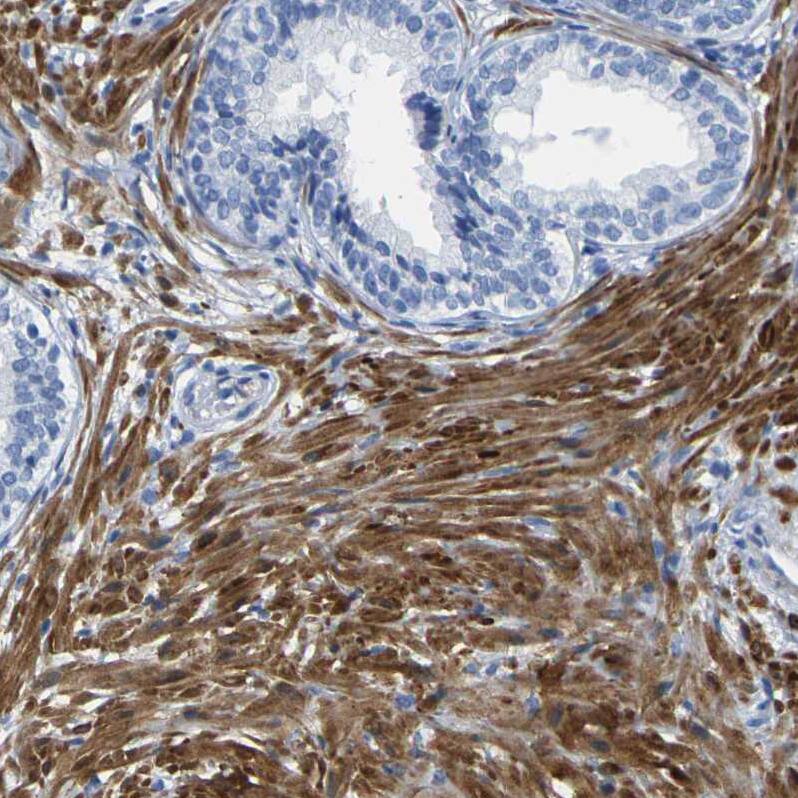
Immunohistochemistry-Paraffin: Calponin 1 Antibody - BSA Free [NBP1-87029]
Staining of human prostate shows strong cytoplasmic positivity in smooth muscle cells.Immunohistochemistry-Paraffin: Calponin 1 Antibody - BSA Free [NBP1-87029]
Staining of human tonsil shows no positivity in non-germinal center cells as expected.Applications for Calponin 1 Antibody - BSA Free
Application
Recommended Usage
Immunohistochemistry
1:200 - 1:500
Immunohistochemistry-Paraffin
1:200 - 1:500
Western Blot
0.04-0.4 ug/ml
Application Notes
For IHC-Paraffin, HIER pH 6 retrieval is recommended.
Formulation, Preparation, and Storage
Purification
Immunogen affinity purified
Formulation
PBS (pH 7.2) and 40% Glycerol
Format
BSA Free
Preservative
0.02% Sodium Azide
Concentration
Concentrations vary lot to lot. See vial label for concentration. If unlisted please contact technical services.
Shipping
The product is shipped with polar packs. Upon receipt, store it immediately at the temperature recommended below.
Stability & Storage
Store at 4C short term. Aliquot and store at -20C long term. Avoid freeze-thaw cycles.
Background: Calponin 1
Alternate Names
Calponin H1, CNN1, Sm-Calp, SMCC
Gene Symbol
CNN1
Additional Calponin 1 Products
Product Documents for Calponin 1 Antibody - BSA Free
Product Specific Notices for Calponin 1 Antibody - BSA Free
This product is for research use only and is not approved for use in humans or in clinical diagnosis. Primary Antibodies are guaranteed for 1 year from date of receipt.
Loading...
Loading...
Loading...
Loading...