Skip to main content

Calponin 1 Antibody (CNN1/832) - IHC-Prediluted

Novus Biologicals, part of Bio-Techne | Catalog # NBP2-48205

Novus Biologicals, part of Bio-Techne
Catalog #
Availability
Size / Price
Qty
Loading...
NBP2-48205

Key Product Details

Species Reactivity

Human, Rat

Applications

Immunohistochemistry, Immunohistochemistry-Paraffin

Label

Unconjugated

Antibody Source

Monoclonal Mouse IgG1 kappa Clone # CNN1/832

Format

IHC-Prediluted

Concentration

Please see the vial label for concentration. If unlisted please contact technical services.

Product Specifications

Immunogen

Recombinant full-length human Calponin 1 protein (Uniprot: P51911)

Localization

Cytoplasmic

Specificity

Multiple isoelectric variants of calponin have been identified, however only two molecular weight isoforms exist; a 34kDa form and a 29kDa form. Expression of the 29kDa form, I-calponin, is primarily restricted to muscle of the urogenital tract, whereas the higher molecular weight variant has been demonstrated in vascular and visceral smooth muscle. In Western blotting, this monoclonal antibody reacts with only the 34kDa form of calponin in extracts of human aortic medial smooth muscle and is unreactive with fibroblast extracts of cultivated human foreskin. Calponin is a calmodulin, F-actin and tropomyosin binding protein, which is thought to be involved in the regulation of smooth muscle contraction. Calponin expression is restricted to smooth muscle cells and has been shown to be a marker of the differentiated (contractile) phenotype of developing smooth muscle.

Marker

Smooth Muscle Marker

Clonality

Monoclonal

Host

Mouse

Isotype

IgG1 kappa

Theoretical MW

34 kDa.
Disclaimer note: The observed molecular weight of the protein may vary from the listed predicted molecular weight due to post translational modifications, post translation cleavages, relative charges, and other experimental factors.

Description

The prediluted antibody does not require any mixing, dilution, reconstitution, or titration; the antibody is ready-to-use and optimized for staining.

Scientific Data Images for Calponin 1 Antibody (CNN1/832) - IHC-Prediluted

Immunohistochemistry-Paraffin: Calponin 1 Antibody (CNN1/832) - IHC-Prediluted [NBP2-48205]

Immunohistochemistry-Paraffin: Calponin 1 Antibody (CNN1/832) - IHC-Prediluted [NBP2-48205]

Immunohistochemistry-Paraffin: Calponin 1 Antibody (CNN1/832) - IHC-Prediluted [NBP2-48205] - Formalin-fixed, paraffin-embedded Rat Uterus stained with Calponin-1 Mouse Monoclonal Antibody (CNN1/832).
Immunohistochemistry-Paraffin: Calponin 1 Antibody (CNN1/832) - IHC-Prediluted [NBP2-48205]

Immunohistochemistry-Paraffin: Calponin 1 Antibody (CNN1/832) - IHC-Prediluted [NBP2-48205]

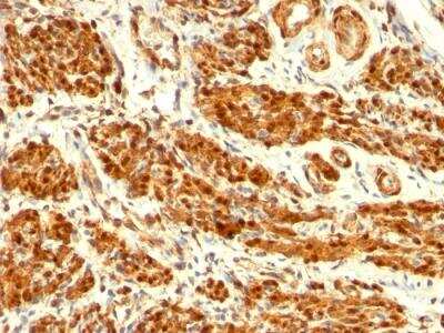
Immunohistochemistry-Paraffin: Calponin 1 Antibody (CNN1/832) - IHC-Prediluted [NBP2-48205] - Formalin-fixed, paraffin-embedded human Breast Carcinoma stained with Calponin-1 Mouse Monoclonal Antibody (CNN1/832).
Immunohistochemistry-Paraffin: Calponin 1 Antibody (CNN1/832) - IHC-Prediluted [NBP2-48205]

Immunohistochemistry-Paraffin: Calponin 1 Antibody (CNN1/832) - IHC-Prediluted [NBP2-48205]

Immunohistochemistry-Paraffin: Calponin 1 Antibody (CNN1/832) - IHC-Prediluted [NBP2-48205] - Formalin-fixed, paraffin-embedded human Uterus stained with Calponin-1 Mouse Monoclonal Antibody (CNN1/832).

Applications for Calponin 1 Antibody (CNN1/832) - IHC-Prediluted

Application
Recommended Usage

Immunohistochemistry

Optimal dilutions of this antibody should be experimentally determined.

Immunohistochemistry-Paraffin

Optimal dilutions of this antibody should be experimentally determined.
Application Notes
Immunohistochemistry (Formalin-fixed): 1-2ug/ml for 30 minutes at RT. Staining of formalin-fixed tissues requires heating tissue sections in 1mM EDTA, pH 7.5-8.5, for 45 min at 95C followed by cooling at RT for 20 minutes.
Optimal dilution for a specific application should be determined.

Formulation, Preparation, and Storage

Purification

Protein A or G purified

Formulation

10 mM PBS with 0.05% BSA

Format

IHC-Prediluted

Preservative

0.05% Sodium Azide

Concentration

Please see the vial label for concentration. If unlisted please contact technical services.

Shipping

The product is shipped with polar packs. Upon receipt, store it immediately at the temperature recommended below.

Stability & Storage

Store at 4C.

Background: Calponin 1

Calponin is a smooth muscle specific, actin-, tropomyosin- and calmodulin-binding protein thought to be involved in regulation of actomyosin as well as the regulation or modulation of contraction (1). Calponin binds filamentous actin (F-actin) through two distinct sites ABS1 and ABS2, with an affinity in the low micromolar range (2) Immunoreactivity for calponin, along with alpha-smooth muscle actin and smooth muscle myosin heavy chains, confirms the known neoplastic myoepithelial component of adenoid cystic carcinomas and epithelial-myoepithelial carcinomas. The consistently positive staining pattern in adenoid cystic carcinomas may be diagnostically useful in discriminating histologically similar but consistently negative polymorphous low-grade adenocarcinomas (3).

Alternate Names

Calponin H1, CNN1, Sm-Calp, SMCC

Gene Symbol

CNN1

Additional Calponin 1 Products

Product Documents for Calponin 1 Antibody (CNN1/832) - IHC-Prediluted

Certificate of Analysis

To download a Certificate of Analysis, please enter a lot number in the search box below.

Product Specific Notices for Calponin 1 Antibody (CNN1/832) - IHC-Prediluted

This product is for research use only and is not approved for use in humans or in clinical diagnosis. Primary Antibodies are guaranteed for 1 year from date of receipt.

Loading...
Loading...
Loading...
Loading...