Skip to main content

Calpain S1 Antibody - BSA Free

Novus Biologicals, part of Bio-Techne | Catalog # NBP3-38281

Novus Biologicals, part of Bio-Techne
Catalog #
Availability
Size / Price
Qty
Loading...
NBP3-38281-20ul
NBP3-38281-100ul

Key Product Details

Species Reactivity

Human, Mouse, Rat

Applications

ELISA, Immunohistochemistry, Immunohistochemistry-Paraffin, Western Blot

Label

Unconjugated

Antibody Source

Polyclonal Rabbit IgG

Format

BSA Free

Concentration

Please see the vial label for concentration. If unlisted please contact technical services.

Product Specifications

Immunogen

Recombinant fusion protein containing a sequence corresponding to amino acids 69-268 of human Calpain S1 (NP_001740.1).

Sequence:
ISEAAAQYNPEPPPPRTHYSNIEANESEEVRQFRRLFAQLAGDDMEVSATELMNILNKVVTRHPDLKTDGFGIDTCRSMVAVMDSDTTGKLGFEEFKYLWNNIKRWQAIYKQFDTDRSGTICSSELPGAFEAAGFHLNEHLYNMIIRRYSDESGNMDFDNFISCLVRLDAMFRAFKSLDKDGTGQIQVNIQEWLQLTMYS

Clonality

Polyclonal

Host

Rabbit

Isotype

IgG

Theoretical MW

28 kDa.
Disclaimer note: The observed molecular weight of the protein may vary from the listed predicted molecular weight due to post translational modifications, post translation cleavages, relative charges, and other experimental factors.

Description

Novus Biologicals Rabbit Calpain S1 Antibody - BSA Free (NBP3-38281) is a polyclonal antibody validated for use in IHC, WB and ELISA. All Novus Biologicals antibodies are covered by our 100% guarantee.

Scientific Data Images for Calpain S1 Antibody - BSA Free

Calpain S1 Antibody

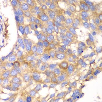
Immunohistochemistry: Calpain S1 Antibody [NBP3-38281] -

Immunohistochemistry: Calpain S1 Antibody [NBP3-38281] - Immunohistochemistry analysis of paraffin-embedded Human colon using Calpain S1 Rabbit pAb at dilution of 1:100 (40x lens). Microwave antigen retrieval performed with 0.01M PBS Buffer (pH 7.2) prior to IHC staining.
Calpain S1 Antibody

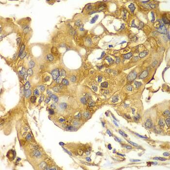
Immunohistochemistry: Calpain S1 Antibody [NBP3-38281] -

Immunohistochemistry: Calpain S1 Antibody [NBP3-38281] - Immunohistochemistry analysis of paraffin-embedded Human esophageal cancer using Calpain S1 Rabbit pAb at dilution of 1:100 (40x lens). Microwave antigen retrieval performed with 0.01M PBS Buffer (pH 7.2) prior to IHC staining.
Calpain S1 Antibody

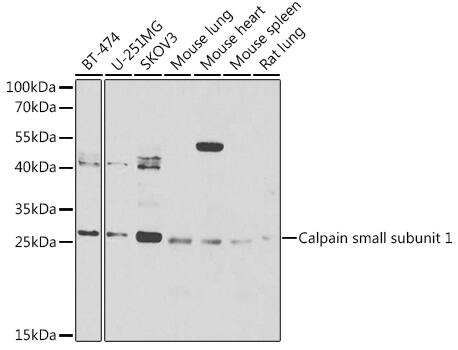
Western Blot: Calpain S1 Antibody [NBP3-38281] -

Western Blot: Calpain S1 Antibody [NBP3-38281] - Western blot analysis of various lysates using Calpain S1 Rabbit pAb at 1:1000 dilution.
Secondary antibody: HRP-conjugated Goat anti-Rabbit IgG (H+L) at 1:10000 dilution.
Lysates/proteins: 25ug per lane.
Blocking buffer: 3% nonfat dry milk in TBST.
Detection: ECL Basic Kit.
Exposure time: 90s.

Applications for Calpain S1 Antibody - BSA Free

Application
Recommended Usage

Immunohistochemistry-Paraffin

1:50 - 1:100

Western Blot

1:500 - 1:2000

Formulation, Preparation, and Storage

Purification

Affinity purified

Formulation

PBS (pH 7.3), 50% glycerol

Format

BSA Free

Preservative

0.02% Sodium Azide

Concentration

Please see the vial label for concentration. If unlisted please contact technical services.

Shipping

The product is shipped with polar packs. Upon receipt, store it immediately at the temperature recommended below.

Stability & Storage

Store at -20C. Avoid freeze-thaw cycles.

Background: Calpain S1

This gene is a member of the calpain small subunit family. Calpains are calcium-dependent cysteine proteinases that are widely distributed in mammalian cells. Calpains operate as heterodimers, comprising a specific large catalytic subunit (calpain 1 subunit in Calpain I, and calpain 2 subunit in Calpain II), and a common small regulatory subunit encoded by this gene. This encoded protein is essential for the stability and function of both calpain heterodimers, whose proteolytic activities influence various cellular functions including apoptosis, proliferation, migration, adhesion, and autophagy. Calpains have been implicated in neurodegenerative processes, such as myotonic dystrophy. A pseudogene of this gene has been defined on chromosome 1. Alternative splicing results in multiple transcript variants. [provided by RefSeq, Oct 2014]

Alternate Names

Calcium-activated neutral proteinase small subunit, Calcium-dependent protease small subunit 1, calcium-dependent protease, small subunit, calpain 4, small subunit (30K), Calpain regulatory subunit, calpain small subunit 1, calpain, small polypeptide, CALPAIN4, CANP, CANPS, CAPN4, CDPS, CSS1, epididymis secretory sperm binding protein

Gene Symbol

CAPNS1

Additional Calpain S1 Products

Product Documents for Calpain S1 Antibody - BSA Free

Certificate of Analysis

To download a Certificate of Analysis, please enter a lot number in the search box below.

Product Specific Notices for Calpain S1 Antibody - BSA Free

This product is for research use only and is not approved for use in humans or in clinical diagnosis. Primary Antibodies are guaranteed for 1 year from date of receipt.

Loading...
Loading...
Loading...
Loading...