Skip to main content

Calpain 9 Antibody (OTI3G10)

Novus Biologicals, part of Bio-Techne | Catalog # NBP2-01305

Novus Biologicals, part of Bio-Techne
Catalog #
Availability
Size / Price
Qty
Loading...
NBP2-01305

Key Product Details

Species Reactivity

Human, Mouse, Rat, Canine, Monkey

Applications

Immunohistochemistry, Immunohistochemistry-Paraffin, Western Blot

Label

Unconjugated

Antibody Source

Monoclonal Mouse IgG2B Clone # OTI3G10

Concentration

0.8 mg/ml

Product Specifications

Immunogen

Full length human recombinant protein of human CAPN9(NP_006606) produced in HEK293T cell.

Reactivity Notes

Please note that this antibody is reactive to Mouse and derived from the same host, Mouse. Mouse-On-Mouse blocking reagent may be needed for IHC and ICC experiments to reduce high background signal. You can find these reagents under catalog numbers PK-2200-NB and MP-2400-NB. Please contact Technical Support if you have any questions.

Clonality

Monoclonal

Host

Mouse

Isotype

IgG2B

Theoretical MW

78.9 kDa.
Disclaimer note: The observed molecular weight of the protein may vary from the listed predicted molecular weight due to post translational modifications, post translation cleavages, relative charges, and other experimental factors.

Description

Novus Biologicals Mouse Calpain 9 Antibody (OTI3G10) (NBP2-01305) is a monoclonal antibody validated for use in IHC and WB. All Novus Biologicals antibodies are covered by our 100% guarantee.

Scientific Data Images for Calpain 9 Antibody (OTI3G10)

Western Blot: Calpain 9 Antibody (3G10) [NBP2-01305] Analysis of extracts (35ug) from 9 different cell lines by using anti-Calpain 9 monoclonal antibody.
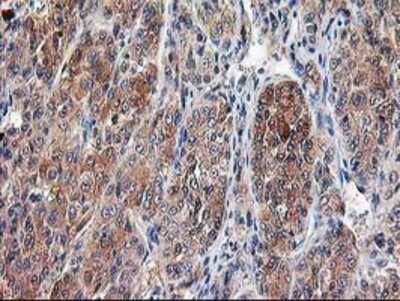
Immunohistochemistry-Paraffin: Calpain 9 Antibody (OTI3G10) [NBP2-01305]

Immunohistochemistry-Paraffin: Calpain 9 Antibody (OTI3G10) [NBP2-01305]

Immunohistochemistry-Paraffin: Calpain 9 Antibody (3G10) [NBP2-01305] - Staining of paraffin-embedded Human pancreas tissue using anti-Calpain 9 mouse monoclonal antibody.
Western Blot: Calpain 9 Antibody (OTI3G10) [NBP2-01305]

Western Blot: Calpain 9 Antibody (OTI3G10) [NBP2-01305]

Western Blot: Calpain 9 Antibody (3G10) [NBP2-01305] - HEK293T cells were transfected with the pCMV6-ENTRY control (Left lane) or pCMV6-ENTRY Calpain 9 (Right lane) cDNA for 48 hrs and lysed. Equivalent amounts of cell lysates (5 ug per lane) were separated by SDS-PAGE and immunoblotted with anti-Calpain 9.

Applications for Calpain 9 Antibody (OTI3G10)

Application
Recommended Usage

Immunohistochemistry

1:150

Immunohistochemistry-Paraffin

1:150

Western Blot

1:500-2000

Formulation, Preparation, and Storage

Purification

Immunogen affinity purified

Formulation

PBS (pH 7.3), 1.0% BSA and 50% Glycerol

Preservative

0.02% Sodium Azide

Concentration

0.8 mg/ml

Shipping

The product is shipped with polar packs. Upon receipt, store it immediately at the temperature recommended below.

Stability & Storage

Store at -20C. Avoid freeze-thaw cycles.

Background: Calpain 9

Calpains are ubiquitous, well-conserved family of calcium-dependent, cysteine proteases. The calpain proteins are heterodimers consisting of an invariant small subunit and variable large subunits. The large subunit possesses a cysteine protease domain, and both subunits possess calcium-binding domains. Calpains have been implicated in neurodegenerative processes, as their activation can be triggered by calcium influx and oxidative stress. The protein encoded by this gene is expressed predominantly in stomach and small intestine and may have specialized functions in the digestive tract. This gene is thought to be associated with gastric cancer. Multiple alternatively spliced transcript variants encoding different isoforms have been found for this gene. [provided by RefSeq].

Alternate Names

calpain 9, calpain 9 (nCL-4), calpain-9, Digestive tract-specific calpain, EC 3.4.22, EC 3.4.22.54, GC36, NCL4, nCL-4EC 3.4.22.-, New calpain 4, novel calpain large subunit-4, Protein CG36

Entrez Gene IDs

10753 (Human)

Gene Symbol

CAPN9

Additional Calpain 9 Products

Product Documents for Calpain 9 Antibody (OTI3G10)

Certificate of Analysis

To download a Certificate of Analysis, please enter a lot number in the search box below.

Product Specific Notices for Calpain 9 Antibody (OTI3G10)

This product is for research use only and is not approved for use in humans or in clinical diagnosis. Primary Antibodies are guaranteed for 1 year from date of receipt.

Loading...
Loading...
Loading...
Loading...