Calnexin Antibody (AF18) - BSA Free
Novus Biologicals, part of Bio-Techne | Catalog # NB300-518
Conjugate
Catalog #
Key Product Details
Species Reactivity
Validated:
Human, Mouse, Rat, Monkey
Cited:
Human, Mouse, Primate - Macaca mulatta (Rhesus Macaque)
Applications
Validated:
Immunohistochemistry, Immunohistochemistry-Paraffin, Western Blot, Immunocytochemistry/ Immunofluorescence, Immunoprecipitation
Cited:
Western Blot, Immunocytochemistry/ Immunofluorescence
Label
Unconjugated
Antibody Source
Monoclonal Mouse IgG1 Clone # AF18
Format
BSA Free
Concentration
1 mg/ml
Product Specifications
Immunogen
Focus human hepatoma cell lysate.
Localization
Endoplasmic reticulum
Specificity
Calnexin (AF18)
Marker
Endoplasmic Reticulum Membrane Marker
Clonality
Monoclonal
Host
Mouse
Isotype
IgG1
Description
Novus Biologicals Mouse Calnexin Antibody (AF18) - BSA Free (NB300-518) is a monoclonal antibody validated for use in IHC, WB, ICC/IF and IP. Anti-Calnexin Antibody: Cited in 15 publications. All Novus Biologicals antibodies are covered by our 100% guarantee.
Scientific Data Images for Calnexin Antibody (AF18) - BSA Free
Western Blot: Calnexin Antibody (AF18)BSA Free [NB300-518]
Western Blot: Calnexin Antibody (AF18) [NB300-518] - Analysis of 25 ug of HepG2 lysate.Immunocytochemistry/ Immunofluorescence: Calnexin Antibody (AF18) - BSA Free [NB300-518]
Immunocytochemistry/Immunofluorescence: Calnexin Antibody (AF18) [NB300-518] - Staining of calnexin (red) in U87 cells.Immunohistochemistry-Paraffin: Calnexin Antibody (AF18) - BSA Free [NB300-518]
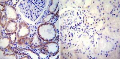
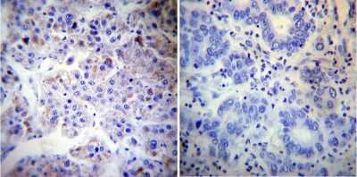
Immunohistochemistry-Paraffin: Calnexin Antibody (AF18) [NB300-518] - Both normal and cancer biopsies of deparaffinized Human hepatocarcinoma tissues.Applications for Calnexin Antibody (AF18) - BSA Free
Application
Recommended Usage
Immunocytochemistry/ Immunofluorescence
1:50 - 1:500
Immunohistochemistry
1:20
Immunohistochemistry-Paraffin
1:20
Immunoprecipitation
5 ug
Western Blot
1:100-1:1000
Application Notes
Detects an approx. 90 kDa band representing calnexin in human liver, skin, adrenal gland, kidney, heart, colon, testes and ovary extracts. ICC: Staining of calnexin in Huh-7 cells yields a pattern consistent with specific endoplasmic reticulum staining.
Formulation, Preparation, and Storage
Purification
Protein A purified
Formulation
PBS
Format
BSA Free
Preservative
0.05% Sodium Azide
Concentration
1 mg/ml
Shipping
The product is shipped with polar packs. Upon receipt, store it immediately at the temperature recommended below.
Stability & Storage
Store at -20C. Avoid freeze-thaw cycles.
Background: Calnexin
Alternate Names
calnexin, CNX, IP90FLJ26570, Major histocompatibility complex class I antigen-binding protein p88, P90
Entrez Gene IDs
821 (Human)
Gene Symbol
CANX
Additional Calnexin Products
Product Documents for Calnexin Antibody (AF18) - BSA Free
Product Specific Notices for Calnexin Antibody (AF18) - BSA Free
This product is for research use only and is not approved for use in humans or in clinical diagnosis. Primary Antibodies are guaranteed for 1 year from date of receipt.
Loading...
Loading...
Loading...
Loading...