Skip to main content

Calmodulin Antibody (SJ16-09)

Novus Biologicals, part of Bio-Techne | Catalog # NBP2-67413

Recombinant Monoclonal Antibody.
Novus Biologicals, part of Bio-Techne
Catalog #
Availability
Size / Price
Qty
Loading...
NBP2-67413

Key Product Details

Species Reactivity

Validated:

Human, Mouse, Rat

Cited:

Human

Applications

Validated:

Immunohistochemistry, Immunohistochemistry-Paraffin, Western Blot, Immunocytochemistry/ Immunofluorescence, Immunoprecipitation

Cited:

Proximity Ligation Assay

Label

Unconjugated

Antibody Source

Recombinant Monoclonal Rabbit IgG Clone # SJ16-09 expressed in HEK293

Concentration

1 mg/ml

Product Specifications

Immunogen

Synthetic peptide within Human Calmodulin aa 100-149 / 149. (SwissProt: P0DP23 Human; SwissProt: P0DP24 Human; SwissProt: P0DP25 Human)

Localization

Cytoplasm.

Clonality

Monoclonal

Host

Rabbit

Isotype

IgG

Description

Novus Biologicals Rabbit Calmodulin Antibody (SJ16-09) (NBP2-67413) is a recombinant monoclonal antibody validated for use in IHC, WB, ICC/IF and IP. Anti-Calmodulin Antibody: Cited in 3 publications. All Novus Biologicals antibodies are covered by our 100% guarantee.

Scientific Data Images for Calmodulin Antibody (SJ16-09)

Western Blot: Calmodulin Antibody (SJ16-09) [NBP2-67413]

Western Blot: Calmodulin Antibody (SJ16-09) [NBP2-67413]

Western Blot: Calmodulin Antibody (SJ16-09) [NBP2-67413] - Analysis of Calmodulin on rat brain lysates using anti-Calmodulin antibody at 1/1,000 dilution.
Immunocytochemistry/ Immunofluorescence: Calmodulin Antibody (SJ16-09) [NBP2-67413]

Immunocytochemistry/ Immunofluorescence: Calmodulin Antibody (SJ16-09) [NBP2-67413]

Immunocytochemistry/Immunofluorescence: Calmodulin Antibody (SJ16-09) [NBP2-67413] - NIH/3T3 cells (green). Cells were fixed in paraformaldehyde, permeabilised with 0.25% Triton X100/PBS.
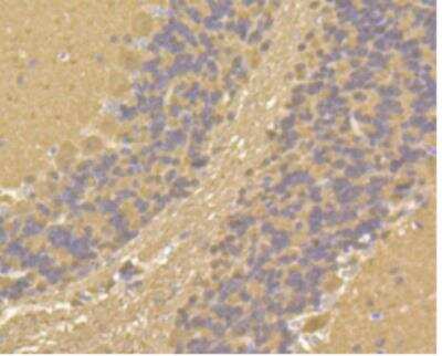
Immunohistochemistry-Paraffin: Calmodulin Antibody (SJ16-09) [NBP2-67413]

Immunohistochemistry-Paraffin: Calmodulin Antibody (SJ16-09) [NBP2-67413]

Immunohistochemistry-Paraffin: Calmodulin Antibody (SJ16-09) [NBP2-67413] - Analysis of paraffin-embedded mouse cerebellum tissue using anti-Calmodulin antibody. Counter stained with hematoxylin.

Applications for Calmodulin Antibody (SJ16-09)

Application
Recommended Usage

Immunocytochemistry/ Immunofluorescence

1:50-1:200

Immunohistochemistry-Paraffin

1:50-1:200

Western Blot

1:1000

Formulation, Preparation, and Storage

Purification

Protein A purified

Formulation

TBS (pH7.4), 0.05% BSA, 40% Glycerol

Preservative

0.05% Sodium Azide

Concentration

1 mg/ml

Shipping

The product is shipped with polar packs. Upon receipt, store it immediately at the temperature recommended below.

Stability & Storage

Store at 4C short term. Aliquot and store at -20C long term. Avoid freeze-thaw cycles.

Background: Calmodulin 1

Calmoduin (CaM) is a calcium modulator protein and a transducer of calcium signals (1-2). Upon calcium binding, calmodulin undergoes conformational changes and binds and modulates a diverse array of proteins. Calcium-bound CaM (Ca2+-CaM) can assume a variety of shapes depending on the target (3). Ca2+-CaM binds many kinases, phosphatases, signaling proteins, and structural proteins affecting a wide variety of processes including neurotransmitter release, muscle contraction, metabolism, apoptosis, inflammation, membrane protein organization, and cytoskeleton movement (2, 4-5).

Alternate Names

CALM1, CALML2, CaM, CAM1, CAMI, CPVT4, DD132

Gene Symbol

CALM1

Additional Calmodulin 1 Products

Product Documents for Calmodulin Antibody (SJ16-09)

Certificate of Analysis

To download a Certificate of Analysis, please enter a lot number in the search box below.

Product Specific Notices for Calmodulin Antibody (SJ16-09)

This product is for research use only and is not approved for use in humans or in clinical diagnosis. Primary Antibodies are guaranteed for 1 year from date of receipt.

Loading...
Loading...
Loading...
Loading...
Loading...