Skip to main content

Calcitonin Antibody (CALCA/8639R) - Azide and BSA Free

Novus Biologicals, part of Bio-Techne | Catalog # NBP3-20778

Recombinant Monoclonal Antibody
Novus Biologicals, part of Bio-Techne

Key Product Details

Species Reactivity

Human

Applications

Immunohistochemistry-Paraffin

Label

Unconjugated

Antibody Source

Recombinant Monoclonal Rabbit IgG Kappa Clone # CALCA/8639R

Format

Azide and BSA Free

Concentration

1 mg/ml

Product Specifications

Immunogen

Recombinant fragment of human Calcitonin protein (around aa 1-141) (exact sequence is proprietary)

Localization

Cytoplasm. Secreted

Clonality

Monoclonal

Host

Rabbit

Isotype

IgG Kappa

Description

Positive Controls: Human thyroid.

Antibody with azide - store at 2 to 8C. Antibody without azide - store at -20 to -80C. Non-hazardous. No MSDS required.

Scientific Data Images for Calcitonin Antibody (CALCA/8639R) - Azide and BSA Free

Calcitonin Antibody (CALCA/8639R) - Azide and BSA Free

Calcitonin Antibody (CALCA/8639R)

Formalin-fixed, paraffin-embedded human thyroid stained with Calcitonin antibody (CALCA/8639R). Inset: PBS instead of primary antibody; secondary only negative control.
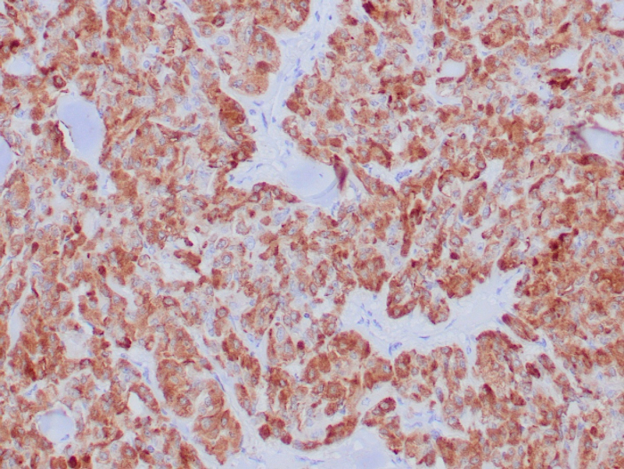
Calcitonin Antibody (CALCA/8639R) - Azide and BSA Free

Calcitonin Antibody (CALCA/8639R)

Formalin-fixed, paraffin-embedded human medullary carcinoma stained with Calcitonin antibody (CALCA/8639R). HIER: Tris/EDTA, pH9.0, 45min. Secondary: HRP-polymer, 30min. DAB, 5min.

Applications for Calcitonin Antibody (CALCA/8639R) - Azide and BSA Free

Application
Recommended Usage

Immunohistochemistry-Paraffin

1:10-1:20
Application Notes
Immunohistochemistry (Formalin-fixed): 1:10-1:20 for 30 minutes. at RT. Staining of formalin-fixed tissues requires heating tissue sections in 10mM Tris with 1mM EDTA, pH 9.0, for 45 min at 95C followed by cooling at RT for 20 minutes.

Optimal dilution for a specific application should be determined.

Formulation, Preparation, and Storage

Purification

Protein A or G purified

Formulation

10mM PBS

Format

Azide and BSA Free

Preservative

No Preservative

Concentration

1 mg/ml

Shipping

The product is shipped with polar packs. Upon receipt, store it immediately at the temperature recommended below.

Stability & Storage

Store at -20 to -70C. Avoid freeze-thaw cycles.

Background: Calcitonin

Calcitonin is a 32 amino acid peptide hormone synthesized by the parafollicular cells of the thyroid. It causes a rapid, but short lived, reduction in serum calcium and phosphate by promoting the incorporation of those ions in the bones. This effect is opposite to that of parathyroid hormone. Staining for calcitonin may be used for the identification of a spectrum of C cell proliferative abnormalities ranging from C cell hyperplasia to invasive tumors. Staining for calcitonin in medullary carcinoma of the thyroid produces a fine granular pattern in the cytoplasm. Amyloid deposits within the tumor may also exhibit varying degrees of calcitonin activity.

Long Name

Calcitonin Related Polypeptide Alpha

Alternate Names

CALC1, CALCA, Katacalcin, PCT

Gene Symbol

CALCA

Additional Calcitonin Products

Product Documents for Calcitonin Antibody (CALCA/8639R) - Azide and BSA Free

Certificate of Analysis

To download a Certificate of Analysis, please enter a lot number in the search box below.

Product Specific Notices for Calcitonin Antibody (CALCA/8639R) - Azide and BSA Free

This product is for research use only and is not approved for use in humans or in clinical diagnosis. Primary Antibodies are guaranteed for 1 year from date of receipt.

Loading...
Loading...
Loading...
Loading...